Eczema Vs Ringworm

Eczema Vs Ringworm

If you have ever noticed an itchy, red patch of skin appearing out of nowhere, your first instinct might be to panic or search for answers online. Two of the most common culprits for persistent skin rashes are eczema and ringworm. While both can cause discomfort and share some superficial similarities, they are fundamentally different conditions that require completely opposite treatment approaches. Understanding the nuances of eczema vs ringworm is essential because using the wrong medication—such as applying a steroid cream to a fungal infection—can actually make the problem significantly worse. Navigating these skin concerns can be frustrating, but by learning how to distinguish between the two, you can make informed decisions about your health and seek the right professional care.

What is Eczema?

Eczema, also known as atopic dermatitis, is a chronic, non-contagious skin condition characterized by inflammation, redness, and intense itching. It is often linked to an overactive immune system and a compromised skin barrier, which makes it difficult for the skin to retain moisture and keep out irritants. Eczema is not caused by a fungus or bacteria; instead, it is often triggered by environmental factors, allergens, or stress.

Common symptoms of eczema include:

  • Dry, scaly patches of skin.
  • Redness and inflammation, especially in skin folds like the elbows and knees.
  • Intense itching that can lead to raw, bleeding skin from scratching.
  • Small, fluid-filled bumps that may crust over.
  • Episodes of "flare-ups" followed by periods of relative dormancy.

Understanding Ringworm

Despite its misleading name, ringworm has absolutely nothing to do with worms. It is actually a highly contagious fungal infection of the skin caused by dermatophytes—microscopic organisms that live on the surface of the skin. Ringworm is medically referred to as tinea corporis, and it thrives in warm, moist environments. Unlike eczema, which is an internal immune response, ringworm is an external infection that can be spread through direct skin-to-skin contact or contact with contaminated surfaces like gym mats, towels, or pets.

Key characteristics of ringworm include:

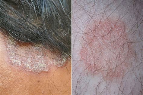
  • A distinct ring-shaped rash with a clear or scaly center.
  • Raised, red, and sometimes bumpy borders around the ring.
  • Itching that is generally localized to the ring area.
  • The lesion tends to slowly expand outward while the center appears to heal.
  • Can appear anywhere on the body, including the scalp, feet (athlete's foot), or groin (jock itch).

Key Differences: Eczema Vs Ringworm

Distinguishing between these two conditions requires observing the appearance, duration, and behavior of the rash. While eczema tends to be diffuse and can change based on environmental triggers, ringworm usually presents as a well-defined circular lesion. The following table provides a quick reference to help you compare the two:

Feature Eczema Ringworm
Cause Immune system/Allergic response Fungal infection
Contagious? No Yes
Appearance Diffuse, dry, red, irregular patches Defined ring with a clear center
Itching Severe, often widespread Mild to moderate, localized
Primary Treatment Moisturizers and Corticosteroids Antifungal creams

⚠️ Note: If you have a rash that is spreading rapidly, oozing, or accompanied by a fever, please consult a healthcare professional immediately, as these may be signs of a bacterial secondary infection.

Diagnostic Approaches

Because these conditions can look very similar to the untrained eye, a definitive diagnosis is often best left to a dermatologist. A doctor will typically perform a visual examination and take a thorough medical history to determine if you have a family history of allergies or asthma (common in eczema patients). In cases of suspected ringworm, a doctor may perform a skin scraping to examine the cells under a microscope or use a Wood’s lamp (a special UV light) to detect fungal activity.

Treatment Considerations

Treating eczema vs ringworm correctly is vital. For eczema, the focus is on repairing the skin barrier through the use of fragrance-free emollients, moisturizers, and sometimes topical corticosteroids to reduce inflammation. Lifestyle adjustments, such as avoiding harsh soaps and using humidifiers, play a large role in managing chronic eczema.

Conversely, ringworm treatment focuses on killing the fungus. This typically involves the application of over-the-counter or prescription-strength antifungal creams containing ingredients like clotrimazole or terbinafine. It is critical to continue the application of these creams for the full duration recommended by your doctor, even if the rash appears to have vanished, to ensure the fungal spores are completely eradicated.

💡 Note: Applying topical steroids to a fungal infection like ringworm can mask the symptoms and allow the fungus to thrive and spread, a condition known as tinea incognito. Always verify your diagnosis before starting treatment.

Preventative Strategies

Preventing these conditions involves different lifestyle habits. For eczema, focus on keeping your skin hydrated and identifying triggers, such as specific laundry detergents, fabrics, or dietary allergies. Using lukewarm water during showers and applying moisturizer within minutes of stepping out of the bath can help lock in moisture.

To prevent ringworm, focus on hygiene:

  • Avoid sharing personal items like towels, hats, or combs.
  • Wear shower shoes in public locker rooms and communal bathing areas.
  • Keep your skin clean and dry, especially in areas where skin folds touch.
  • If you have a pet that is shedding, ensure they are checked by a veterinarian for fungal infections, as pets are a common carrier of ringworm.

Effectively managing skin health starts with knowing what you are dealing with. While the confusion between eczema and ringworm is common, the differences in their causes and necessary treatments are significant. Eczema is a chronic condition that requires consistent maintenance and barrier protection, whereas ringworm is an acute, contagious infection that requires specific antifungal therapy. By paying attention to the specific shape, spread, and behavior of the rash, you can take the first step toward relief. If a rash persists despite your best efforts at home care, or if it begins to spread across your body, reaching out to a dermatologist is the most reliable way to clear up your symptoms and regain healthy, comfortable skin.

Related Terms:

  • discoid eczema vs ringworm
  • ringworm vs psoriasis
  • pictures of ringworm healing stages
  • nummular eczema vs ringworm
  • eczema vs ringworm treatment
  • ringworm pictures on humans