Early Periodontal Disease

Early Periodontal Disease

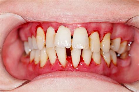
Many individuals overlook the subtle warnings their mouth provides until the situation escalates into a painful dental emergency. One of the most common yet often ignored conditions is early periodontal disease, also known as gingivitis. This stage of gum disease is characterized by inflammation and irritation of the gingiva, the part of your gum around the base of your teeth. Because it is often painless in the beginning, it is easy to dismiss bleeding gums or slight redness as insignificant. However, recognizing these symptoms early is the single most effective way to prevent permanent damage to your gums, bones, and the connective tissues that support your teeth.

Understanding the Stages of Periodontal Disease

Periodontal disease is a progressive condition. If you ignore the initial signs of early periodontal disease, the bacteria trapped in plaque will continue to produce toxins that irritate the gum tissue. Over time, this causes the gums to pull away from the teeth, forming "pockets" that become infected. As the body’s immune system fights the infection, the bone and tissue that hold the teeth in place begin to break down.

To help you distinguish between a healthy mouth and one suffering from the early stages of disease, consider the following progression table:

Stage Key Characteristics Reversibility
Gingivitis Red, swollen, bleeding gums Highly Reversible
Slight Periodontitis Bone loss begins, pockets deepen Manageable
Moderate Periodontitis Increased mobility, deeper infection Manageable with surgery
Advanced Periodontitis Severe tissue loss, tooth loss likely Requires intensive therapy

Common Symptoms to Watch Out For

The challenge with early periodontal disease is that it rarely causes acute pain. Instead, the symptoms are often chronic and low-level. By paying attention to minor changes in your oral hygiene routine, you can catch the disease before it advances. Look for these specific indicators:

  • Bleeding gums: Noticeable blood on your toothbrush or dental floss after cleaning is a classic sign of inflammation.
  • Persistent bad breath: If halitosis doesn't go away after brushing, it may indicate trapped bacteria below the gum line.
  • Swollen or puffy gums: Healthy gums should look firm and pale pink; inflammation often makes them look red, shiny, or swollen.
  • Gum recession: If your teeth appear longer than they used to, your gums may be pulling away due to irritation.
  • Sensitivity: Cold or hot food may trigger discomfort as the roots of your teeth become exposed.

⚠️ Note: While these symptoms are common indicators of periodontal issues, they can occasionally point toward other systemic health conditions; always consult a dental professional for a definitive diagnosis.

The Role of Plaque and Tartar

The primary culprit behind early periodontal disease is dental plaque—a sticky, colorless film of bacteria that constantly forms on your teeth. When you eat, the sugars and starches in food feed these bacteria, which then release acids and toxins. If plaque is not removed through daily brushing and flossing, it hardens into tartar (calculus). Tartar cannot be removed by a standard toothbrush and requires professional cleaning tools. Once tartar forms, it acts as a permanent shield for bacteria, making it much easier for early periodontal disease to take root.

Prevention Strategies for Healthy Gums

Prevention is vastly superior to treatment when it comes to oral health. Adopting a proactive approach can stop the cycle of inflammation. Focus on these essential habits to maintain your periodontal health:

  • Effective Brushing: Use a soft-bristled toothbrush and brush at a 45-degree angle toward the gum line to disrupt bacteria at the source.
  • Daily Flossing: Flossing isn't optional; it is the only way to clean the tight spaces between teeth where plaque thrives.
  • Antiseptic Mouthwash: Incorporating an ADA-approved antimicrobial rinse can help reduce the overall bacterial load in your mouth.
  • Dietary Choices: Limit sugary snacks and acidic beverages that nourish the bacteria responsible for plaque buildup.
  • Consistent Checkups: Even if your mouth feels fine, professional cleanings every six months are essential to remove hidden tartar deposits.

Professional Treatment Options

If your dentist confirms that you are experiencing early periodontal disease, do not panic. Because it is in the early stages, the damage is often fully reversible. The most common treatment is a professional deep cleaning, often referred to as scaling and root planing.

Scaling involves removing all the plaque and tartar from above and below the gum line. Root planing involves smoothing out the root surfaces, which helps the gums reattach to the tooth more securely. In many cases, following this professional cleaning with an improved at-home hygiene routine is enough to bring the gums back to a state of perfect health.

💡 Note: Lifestyle factors such as smoking or uncontrolled diabetes can significantly complicate your recovery from periodontal disease; managing these factors is essential for long-term success.

Taking Control of Your Oral Future

Maintaining a healthy smile is not just about aesthetics; it is a critical component of your overall physical wellbeing. Chronic inflammation in the mouth has been linked to numerous systemic issues, including cardiovascular problems and metabolic disorders. By taking the time to address early periodontal disease at the first sign of redness or bleeding, you are investing in your long-term health. Remember that consistency is your greatest ally. By combining diligent daily care with regular professional evaluations, you ensure that your teeth and gums remain strong, functional, and infection-free for years to come. Do not wait for discomfort to force your hand; be proactive in your oral health journey today.

Related Terms:

  • early periodontal disease pictures
  • what is periodontal disease
  • periodontal disease early stages
  • moderate periodontal disease
  • different stages of periodontal disease
  • chronic periodontal disease