Distension Of Bladder

Distension Of Bladder

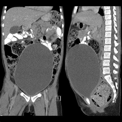
The distension of bladder is a medical condition characterized by the stretching and enlargement of the urinary bladder due to the accumulation of urine that the body cannot naturally expel. While the bladder is designed to be an elastic organ, it has a functional capacity; once that limit is reached or exceeded due to an obstruction or neurological issue, the walls become thin and distended. Understanding this condition is crucial for recognizing the symptoms early, as chronic distension can lead to severe complications, including kidney damage and permanent loss of bladder function.

Understanding the Causes of Bladder Distension

The primary driver behind the distension of bladder is urinary retention, which can be acute or chronic. In many cases, an anatomical obstruction prevents the flow of urine, forcing the organ to hold more volume than it can comfortably manage. Identifying the underlying cause is the first step toward effective management.

Common causes include:

  • Benign Prostatic Hyperplasia (BPH): An enlarged prostate in men is the most frequent cause of bladder outlet obstruction.
  • Neurological Disorders: Conditions such as multiple sclerosis, spinal cord injuries, or strokes can disrupt the nerve signals responsible for bladder contraction and sphincter relaxation.
  • Medications: Certain classes of drugs, including anticholinergics, antihistamines, and some antidepressants, can weaken the bladder muscle or increase sphincter tone.
  • Pelvic Organ Prolapse: In women, conditions like cystocele (bladder prolapse) can distort the anatomy, causing difficulty with complete emptying.
  • Strictures and Stones: Narrowing of the urethra (strictures) or stones blocking the bladder neck act as physical dams.

Recognizing Symptoms and Diagnostic Indicators

The physical manifestation of a distended bladder can often be seen and felt as a rounded, firm mass in the lower abdomen, known as a suprapubic mass. Patients often report an uncomfortable sense of fullness, yet they may struggle to initiate urination or maintain a steady stream. In cases of chronic distension of bladder, the patient might experience overflow incontinence, where small amounts of urine leak out because the bladder is simply too full to hold any more.

Symptom Type Clinical Presentation
Acute Retention Sudden inability to void, severe lower abdominal pain, extreme distress.
Chronic Retention Weak stream, frequency, urgency, nocturia, overflow leakage.
Physical Findings Palpable suprapubic mass, dullness to percussion over the bladder.

Diagnostic Procedures and Assessment

To confirm the distension of bladder, healthcare providers employ several diagnostic techniques. Physical examination is usually the starting point, where the physician palpates the abdomen to locate the bladder dome. If a large, firm mass is present that disappears after catheterization, the diagnosis is confirmed.

Common diagnostic methods include:

  • Bladder Ultrasound: A non-invasive method to measure the volume of urine remaining in the bladder (Post-Void Residual or PVR).
  • Catheterization: Often used as both a diagnostic and therapeutic tool to drain the bladder and confirm the volume of retained urine.
  • Cystoscopy: Used to visualize the interior of the bladder and urethra to identify stones, tumors, or anatomical strictures.
  • Urodynamic Testing: Evaluates how well the bladder and urethra are performing their job of storing and releasing urine.

💡 Note: A post-void residual (PVR) volume greater than 300 mL is typically considered a significant indicator of urinary retention and potential bladder distension, necessitating further investigation.

Management and Treatment Strategies

The strategy for addressing the distension of bladder focuses on immediate relief followed by long-term management of the underlying obstruction or dysfunction. Immediate decompression is usually achieved through the insertion of a urinary catheter. This provides instant relief to the patient and prevents further pressure damage to the bladder wall and upper urinary tract.

Ongoing treatment paths include:

  • Medical Therapy: Alpha-blockers are commonly prescribed for men with BPH to relax the smooth muscles of the bladder neck and prostate.
  • Intermittent Self-Catheterization (ISC): For patients with neurogenic bladders, teaching them to perform self-catheterization is often the gold standard for maintaining bladder health.
  • Surgical Intervention: Procedures such as Transurethral Resection of the Prostate (TURP) or surgical correction of pelvic floor defects may be required to permanently resolve the obstruction.
  • Bladder Retraining: In specific cases of dysfunction, physical therapy and behavioral modification can help regain some level of voluntary control.

💡 Note: Rapid decompression of a severely distended bladder can sometimes cause hematuria (blood in the urine) or hypotension; therefore, some clinicians prefer a gradual drainage approach.

Complications of Untreated Distension

Failure to address distension of bladder timely can lead to severe health consequences. One of the most dangerous complications is hydronephrosis, where urine backs up into the kidneys, potentially leading to renal failure. Furthermore, a chronically overstretched bladder may lose its elasticity and contractile ability—a condition known as "detrusor decompensation." Once the muscle fibers are permanently stretched beyond a certain point, the bladder may never regain its ability to empty effectively without medical intervention.

In addition to physiological damage, patients may face secondary issues such as frequent urinary tract infections (UTIs) because the stagnant urine serves as a breeding ground for bacteria. Long-term management often requires a multidisciplinary approach, involving urologists, neurologists, and physical therapists to ensure both the bladder and the kidneys are protected from long-term damage.

Addressing the distension of bladder requires a prompt clinical response to prevent lasting damage to the urinary system. Whether triggered by an acute obstruction or a slow-progressing neurological condition, the primary goal remains the restoration of normal bladder drainage. By identifying symptoms early and utilizing diagnostic tools like ultrasounds or residual volume assessments, medical professionals can effectively mitigate the risks of kidney involvement or chronic muscle weakness. Recovery success depends heavily on adherence to the recommended treatment plan, which may range from medication and lifestyle adjustments to surgical intervention, ensuring that the patient regains bladder control and prevents future episodes of retention.

Related Terms:

  • distended bladder symptoms and treatment
  • bladder is not well distended
  • urinary bladder not well distended
  • treatment for under distended bladder
  • treatment for distended bladder
  • distended bladder symptoms in women