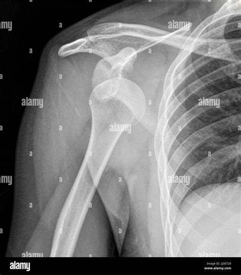
Dislocated Shoulder X Ray

Dislocated Shoulder X Ray

Experiencing a sudden, sharp pain in your shoulder after a fall or a sports-related impact is a distressing ordeal. Often, the first thing medical professionals will order to assess the situation is a Dislocated Shoulder X Ray. Understanding why this imaging is critical, what it reveals, and how it guides your recovery journey is essential for anyone dealing with this common orthopedic injury. A dislocated shoulder occurs when the ball of your upper arm bone (the humerus) pops out of the shoulder socket (the glenoid). Because this area is complex, precise imaging is the gold standard for confirming the diagnosis and ruling out associated complications.

Why Is a Dislocated Shoulder X Ray Necessary?

When you arrive at the emergency room or urgent care with a suspected shoulder dislocation, your primary concern is pain relief, but the clinician's priority is diagnostic accuracy. A physical examination can suggest a dislocation, but an X-ray provides the definitive visual proof required to move forward safely.

The primary reasons for obtaining a Dislocated Shoulder X Ray include:

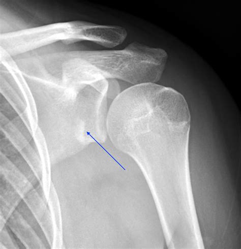
  • Visualizing the position of the bones: It confirms whether the humerus is truly out of the socket or if there is a partial dislocation (subluxation).
  • Detecting fractures: Intense trauma can break the humerus, the glenoid rim, or the acromion. These fractures change the treatment plan significantly.
  • Assessing alignment: It helps doctors identify the specific type of dislocation—whether it is anterior (forward), posterior (backward), or inferior (downward).
  • Planning for reduction: Knowing the exact position allows the medical team to perform the "reduction" (moving the bone back into place) safely, minimizing further injury to nerves or blood vessels.

Never attempt to "pop" a shoulder back into place yourself. Relying on a professional assessment and the appropriate imaging is the only safe path to recovery.

What to Expect During the Imaging Process

The process of getting a Dislocated Shoulder X Ray is generally quick and straightforward, though it can be uncomfortable given the nature of the injury. When you are in acute pain, moving the arm into different positions for various angles can be challenging. However, these angles are necessary to get a complete picture of the joint.

Typically, the technician will request at least two or three different views of the shoulder to ensure a comprehensive diagnosis:

  • Anteroposterior (AP) View: Taken from the front, this view helps doctors see the general relationship between the humerus and the socket.
  • Axillary View: This view captures the shoulder from underneath, which is crucial for identifying if the bone has moved forward or backward.
  • Scapular Y View: This provides a lateral perspective, allowing the radiologist to see if the humeral head is centered in the socket of the scapula.

⚠️ Note: If you are in severe pain, inform the X-ray technician immediately. They may be able to adjust the positioning or utilize supportive techniques to minimize discomfort while still capturing the necessary diagnostic views.

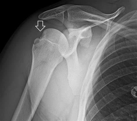
Understanding Common Findings

Once the images are captured, a radiologist or the treating physician will analyze them. It is important not to panic if you see terms in the report that you do not understand. Many associated injuries are common with shoulder dislocations.

The following table outlines common findings that may be noted on a Dislocated Shoulder X Ray report:

Finding Description
Hill-Sachs Lesion A small indentation or "dent" on the back of the humeral head, often caused by the bone hitting the rim of the socket during dislocation.
Bankart Lesion A tear or fracture of the labrum (cartilage) at the front of the glenoid socket.
Greater Tuberosity Fracture A small break in the bone where tendons attach, commonly seen in elderly patients with shoulder dislocations.
Shoulder Subluxation A partial dislocation where the humeral head is only partially out of the socket.

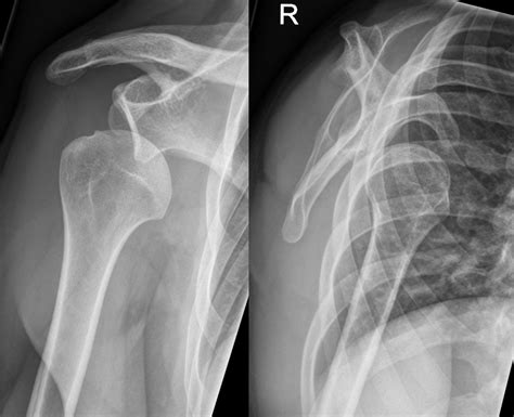
What Happens After the X-Ray?

Following the confirmation provided by the Dislocated Shoulder X Ray, the medical team will proceed with reduction. Once the shoulder is back in its proper position, the doctor will often order a post-reduction X-ray. This second round of imaging is vital to confirm that the bone is correctly seated and that no new fractures were created during the reduction procedure.

After successful reduction, your treatment plan will likely include:

  • Immobilization: Wearing a sling for a prescribed period to allow the soft tissues to begin healing.
  • Pain management: Using over-the-counter or prescription anti-inflammatories to control pain and swelling.
  • Physical therapy: This is arguably the most important step for long-term recovery. Exercises will focus on strengthening the rotator cuff muscles, which help hold the shoulder joint stable.

Recovery time varies depending on the severity of the dislocation and whether there were any fractures or severe soft tissue damage. Adhering to the guidance provided by your healthcare provider after your initial imaging is the best way to prevent future dislocations.

When Further Imaging is Required

While a Dislocated Shoulder X Ray is excellent for bone visualization, it has limitations when assessing soft tissues like tendons, ligaments, and the labrum. If you continue to experience pain, instability, or if the doctor suspects significant soft tissue damage, they may order additional imaging.

Specifically, an MRI (Magnetic Resonance Imaging) may be ordered if:

  • The shoulder continues to feel unstable after the healing period.
  • There is concern about a significant tear in the rotator cuff or labrum that might require surgical intervention.
  • The physical examination suggests complex soft tissue damage that is not visible on standard X-rays.

It is important to remember that X-rays and MRIs serve different purposes. Your doctor will use the initial X-ray to handle the immediate crisis, and any follow-up imaging will be used to map out your long-term rehabilitation or surgical needs.

💡 Note: Always keep a copy of your imaging reports and the actual images themselves, either on a CD or via a secure online portal provided by your clinic, for future appointments with orthopedists or physical therapists.

The journey from the moment of injury through diagnosis and treatment requires patience and adherence to medical advice. By understanding the role and importance of a Dislocated Shoulder X Ray, you can approach your treatment with confidence, knowing that this vital diagnostic tool is the foundation for an effective recovery plan. Prioritizing rest, following through with physical therapy, and attending all follow-up appointments are the best ways to ensure your shoulder regains its full range of motion and strength, ultimately reducing the risk of this painful event happening again. Stay diligent with your rehabilitation exercises, and you will be well on your way to restoring function to your shoulder joint.

Related Terms:

  • will xray show dislocated shoulder
  • shoulder joint dislocation x ray
  • right shoulder dislocation on xray
  • shoulder dislocation xray view
  • shoulder dislocation x ray treatment
  • shoulder dislocation x ray radiology