Didelphic Uterus Images

Didelphic Uterus Images

Uterine anomalies are often discovered incidentally during routine gynecological exams or imaging studies, and among the most intriguing anatomical variations is Uterus Didelphys. When individuals seek visual clarity or diagnostic understanding regarding this condition, they often search for Didelphic Uterus Images to better comprehend how this internal anatomy differs from the typical uterine structure. Understanding the physical layout of a didelphic uterus is essential for those diagnosed with this condition, as it provides peace of mind and helps in navigating reproductive health discussions with medical professionals.

What is Uterus Didelphys?

Anatomical representation of reproductive health

Uterus didelphys, commonly referred to as a “double uterus,” is a congenital condition where the uterus is present as two separate organs, each with its own cervix and often a duplicated vagina. This anomaly occurs during fetal development when the Müllerian ducts—the structures that eventually form the female reproductive tract—fail to fuse together completely. Instead of forming a single, pear-shaped uterus, they develop into two separate, smaller uterine cavities.

For those viewing Didelphic Uterus Images, it is important to realize that this condition is relatively rare and often asymptomatic. Many individuals live their entire lives without ever knowing they have a double uterus, as the condition does not typically impact daily hormonal cycles, menstruation, or general health.

Identifying Symptoms and Diagnostic Methods

Because many people with this condition do not experience symptoms, diagnosis usually happens during a pelvic exam or during imaging performed for other reasons. However, when symptoms do occur, they may include:

  • Dysmenorrhea: Severe cramping that may feel more intense on one side.
  • Irregular Bleeding: Sometimes related to the anatomy if there is a vaginal septum.
  • Painful Intercourse: If a vaginal septum is present, it may cause discomfort during sexual activity.
  • Obstetric Complications: Difficulty with conception or an increased risk of preterm labor, which is often why imaging is ordered.

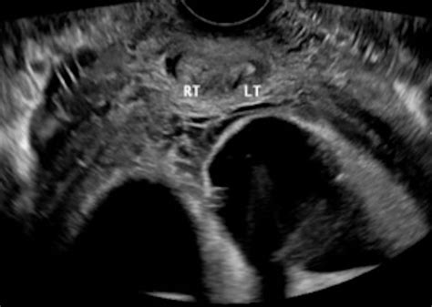
Physicians use advanced imaging to confirm the diagnosis. If you are looking at Didelphic Uterus Images for reference, you will notice the clear separation of the two uterine horns. Common diagnostic tools include:

Imaging Method Purpose Effectiveness
Transvaginal Ultrasound Initial screening and visualization High for initial detection
MRI (Magnetic Resonance Imaging) Detailed anatomical mapping Gold standard for diagnosis
Hysterosalpingogram (HSG) Viewing the internal cavity shape Excellent for confirming structure

⚠️ Note: Always consult with a reproductive endocrinologist or gynecologist for interpretation of your specific medical imaging, as anatomical variations can differ significantly from person to person.

The Impact on Pregnancy and Fertility

One of the most frequent concerns surrounding this diagnosis is how it affects fertility. When searching for Didelphic Uterus Images, many individuals are looking for reassurance regarding their ability to carry a pregnancy. While having two uteri can present unique challenges, it does not necessarily prevent pregnancy.

The primary considerations for pregnancy with uterus didelphys include:

  • Uterine Space: Because each uterus is smaller than a single, fused uterus, there may be limited space for fetal growth, potentially increasing the risk of preterm birth.
  • Fetal Positioning: Breech presentations are slightly more common due to the shape of the uterine cavity.
  • Monitoring: Patients with this condition are often categorized as “high-risk” during pregnancy, meaning they will require more frequent ultrasounds to monitor fetal development and cervical length.

Surgical Interventions and Management

In most cases, treatment for a didelphic uterus is not necessary. The body is often perfectly capable of functioning normally without surgical intervention. However, surgery might be considered in specific scenarios:

  1. Vaginal Septum Removal: If a longitudinal vaginal septum is causing pain or discomfort during intercourse or menstruation, a simple surgical procedure can remove it.
  2. Reproductive Support: While metroplasty (surgery to fuse the two uteri) was performed in the past, it is very rare today as it does not guarantee improved pregnancy outcomes and carries surgical risks.

When analyzing Didelphic Uterus Images in a medical context, notice how the dual cervixes are positioned. This is a critical detail for healthcare providers during cervical cancer screenings (Pap smears) or during labor and delivery, as each side needs to be assessed independently.

💡 Note: Modern medical literature emphasizes that most individuals with a didelphic uterus have successful, healthy pregnancies and are capable of natural childbirth without extensive surgical intervention.

Living with Uterus Didelphys

Living with this condition is entirely possible with a high quality of life. The psychological impact of being told one has a “double uterus” can sometimes be more significant than the physical reality. It is helpful to understand that this is simply a variation in human anatomy, much like having different organ sizes or slight deviations in bone structure. Advocacy for one’s own health involves keeping thorough records of all imaging reports and discussing any future pregnancy plans early with an OB-GYN who has experience with Müllerian duct anomalies.

If you have recently received a diagnosis, take comfort in the fact that thousands of people manage this condition successfully. Education is your best tool, and utilizing resources provided by certified medical professionals will help clear up any misconceptions you might have gathered from generalized internet searches.

The journey of understanding a uterine anomaly begins with acknowledging that it is a naturally occurring structural difference. While Didelphic Uterus Images provide the necessary visual aid to demystify the condition, they should always be interpreted through the lens of a professional medical consultation. By maintaining regular gynecological check-ups and open communication with your healthcare team, you can navigate your reproductive health with confidence. The clinical outlook for those with this condition remains overwhelmingly positive, with the majority of individuals living healthy, fulfilling lives with minimal disruption to their daily routines or long-term fertility goals.

Related Terms:

  • didelphys uterus ultrasound images
  • uterus didelphys external pictures
  • women with uterus didelphys
  • uterus didelphys real pictures
  • women with two uterus
  • complete uterus didelphys