Dentinogenesis Imperfecta 2

Dentinogenesis Imperfecta 2

Dentinogenesis Imperfecta 2, often referred to as DI type II, is a hereditary developmental disorder of the teeth that affects the dentin—the calcified tissue beneath the enamel. Unlike more severe forms of the condition, type II is typically isolated, meaning it occurs without the presence of osteogenesis imperfecta (brittle bone disease). Understanding this condition is crucial for patients, parents, and dental professionals alike, as early intervention and consistent management are essential for preserving both the structural integrity and the aesthetic appearance of the affected teeth.

Understanding the Genetics of Dentinogenesis Imperfecta 2

The root cause of Dentinogenesis Imperfecta 2 lies within a mutation of the DSPP (dentin sialophosphoprotein) gene. This gene is responsible for providing the instructions necessary to create proteins vital for tooth mineralization. When this gene is faulty, the dentin does not develop properly, leading to structural weaknesses that make teeth more susceptible to wear, fractures, and discoloration.

Because it follows an autosomal dominant inheritance pattern, a person with the condition has a 50% chance of passing it on to their offspring. This makes it a significant concern for families with a history of dental anomalies. The condition affects both primary (baby) teeth and permanent (adult) teeth, though the severity can vary significantly even within the same family.

Key Clinical Manifestations

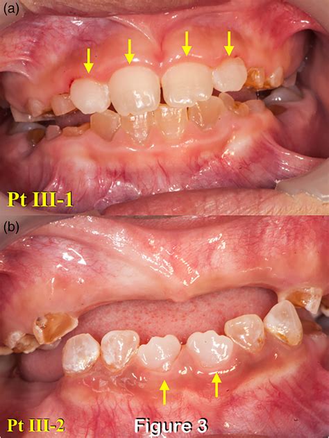
Identifying the condition early allows for better management. Patients often present with several distinct characteristics that distinguish DI type II from other forms of enamel hypoplasia or dentin issues. The primary signs include:

  • Discoloration: Teeth often appear translucent, opalescent, or exhibit a blue-gray to yellow-brown hue.
  • Structural Fragility: Because the dentin is soft and disorganized, the enamel often chips away easily, exposing the underlying dentin to rapid attrition.
  • Radiographic Features: X-rays typically reveal bulbous crowns, a constricted cervical area, and abnormally thin roots. In some cases, pulp chambers may appear small or completely obliterated by secondary dentin formation.
Feature Description in DI Type II
Tooth Color Opalescent, blue-gray, or amber-brown
Enamel Integrity Prone to rapid fracturing due to lack of dentin support
Pulp Chamber Often obliterated or significantly reduced in size
Inheritance Autosomal Dominant

Diagnostic and Treatment Pathways

Diagnosis is usually performed by a pediatric dentist or an orthodontist through a combination of clinical examination and radiographic imaging. Since the dentin is structurally compromised, traditional dental procedures may require modifications. For instance, the enamel-dentin junction in Dentinogenesis Imperfecta 2 is abnormally smooth, which makes standard adhesive dentistry more challenging.

Treatment strategies focus on protecting the teeth from excessive wear and improving cosmetic outcomes:

  • Stainless Steel Crowns (Primary Teeth): Often the best option for children to maintain the space for permanent teeth and prevent further loss of tooth structure.
  • Porcelain-Fused-to-Metal or Zirconia Crowns (Permanent Teeth): Used in older children and adults to provide long-term protection and aesthetic restoration.
  • Composite Bonding: Sometimes used in mild cases, though it may require frequent replacement due to the underlying weakness of the dentin.
  • Overdentures: In severe cases where extensive wear has occurred, removable prosthodontics or implant-supported dentures may be necessary.

⚠️ Note: It is vital to consult with a specialist who has experience with hereditary dentin disorders. Because the dentin is structurally inferior, procedures like standard fillings or bridge work carry a higher risk of failure compared to non-affected teeth.

Management and Long-term Oral Hygiene

Long-term maintenance for those with Dentinogenesis Imperfecta 2 requires a proactive approach to oral hygiene. Because the enamel is prone to chipping, even when covered by crowns, patients must be diligent. Regular check-ups every three to six months are recommended to monitor the rate of tooth wear and the integrity of any restorations.

Incorporating fluoride treatments and specific desensitizing toothpastes can help manage sensitivity, which is common as the enamel wears thin. Furthermore, avoiding abrasive whitening products is essential, as these can further irritate the already compromised dentin and will not effectively change the intrinsic color of the teeth.

Living with the Condition

Psychologically, the aesthetic impact of having discolored or translucent teeth can be significant, especially during school-age years. Open communication with dental providers about options for veneers, crowns, or internal bleaching (when applicable) can significantly boost a patient's confidence. While the genetic nature of the condition means it cannot be "cured" in the traditional sense, modern dental technology offers robust ways to mimic natural, healthy teeth and ensure that the functional quality of life remains high.

By focusing on early screening, maintaining rigorous dental hygiene, and selecting appropriate restorative materials, individuals affected by this condition can lead full, healthy lives. The partnership between the patient and a skilled dental team is the foundation for successful management. Through consistent monitoring and the application of modern restorative dentistry, the challenges posed by the structural weaknesses of the dentin can be effectively mitigated, allowing for both lasting function and a confident smile.

Related Terms:

  • dentinogenesis imperfecta genereviews
  • dentinogenesis imperfecta radiograph
  • dentinogenesis imperfecta treatment
  • dentinogenesis imperfecta types
  • dentinogenesis imperfecta definition
  • dentinogenesis imperfecta treatment options