Dental Tartar Removal

Dental Tartar Removal

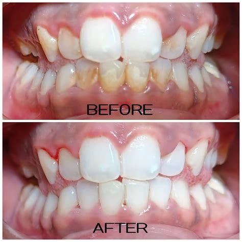
Maintaining a radiant, healthy smile requires more than just brushing your teeth twice a day. Even with a rigorous oral hygiene routine, many people find themselves battling the buildup of plaque that eventually hardens into a stubborn substance known as tartar. When this calcified deposit forms along your gumline or between teeth, simple flossing and brushing are no longer effective at removing it. Understanding the importance of dental tartar removal is the first step toward preventing long-term oral health issues, including gum disease and tooth loss. This comprehensive guide explores why tartar develops, why professional intervention is necessary, and what you can expect during the removal process.

What Exactly Is Dental Tartar?

To understand the removal process, you must first understand the culprit. Plaque is a sticky, colorless film of bacteria that constantly forms on your teeth. If you do not remove this plaque through consistent brushing and flossing, it reacts with the minerals in your saliva and hardens into calculus, more commonly known as tartar. Unlike plaque, which is soft and easily wiped away, tartar is extremely porous and attaches firmly to the enamel. It creates a rough surface that attracts even more bacteria, leading to a vicious cycle of decay and inflammation.

Because tartar is mineralized, it cannot be removed with a regular toothbrush or dental floss. It serves as a fortress for bacteria, shielding them from your daily cleaning efforts and allowing them to produce toxins that irritate and damage your gum tissue.

The Dangers of Neglecting Tartar Buildup

Allowing tartar to accumulate is not merely an aesthetic concern. While it often appears as a yellowish or brownish discoloration near the gums, the real damage happens beneath the surface. When left untreated, tartar can lead to several significant health complications:

  • Gingivitis: The early stage of gum disease, characterized by red, swollen, and bleeding gums.
  • Periodontitis: A more severe infection where the gums pull away from the teeth, forming pockets that become infected.
  • Bone Loss: Advanced periodontitis can destroy the underlying bone structure that supports your teeth, eventually leading to tooth loss.
  • Systemic Health Links: Chronic gum inflammation has been linked to heart disease, diabetes, and other systemic health issues due to the spread of bacteria through the bloodstream.

The Professional Dental Tartar Removal Process

Because tartar is bonded to the tooth structure, dental tartar removal must be performed by a dental professional, such as a dentist or a dental hygienist. They utilize specialized tools designed to chip away or vibrate the calculus off the enamel without damaging the tooth itself. This process, known as a professional dental cleaning or scaling, is generally painless and highly effective.

The tools used during the session include:

  • Ultrasonic Scalers: These devices use high-frequency vibrations combined with a water spray to break up large chunks of tartar from the surface of the teeth.
  • Hand Scalers and Curettes: These fine-tipped metal instruments are used to manually scrape away smaller, residual deposits of tartar from the gumline and between teeth.
  • Polishing Tools: After the scaling is complete, a rotating brush or rubber cup with a gritty paste is used to smooth the tooth surface, making it harder for plaque to adhere in the future.
Feature Plaque Tartar
Consistency Soft, sticky film Hard, calcified deposit
Removal Method Brushing and flossing Professional scaling
Appearance Invisible Yellow or brown stains
Location Above and below gumline Commonly near gumline

⚠️ Note: If you experience significant sensitivity or gum bleeding during the cleaning, inform your hygienist immediately so they can adjust their technique or provide topical numbing agents for your comfort.

Prevention: How to Slow Down Tartar Formation

While you cannot entirely stop the natural process of mineralization in your mouth, you can significantly reduce the speed at which tartar accumulates. Consistent home care remains the most effective defense against the formation of calculus. By keeping your teeth as free of plaque as possible, you minimize the amount of material available to harden into tartar.

Effective prevention strategies include:

  • Use Tartar-Control Toothpaste: Look for products containing fluoride, zinc citrate, or pyrophosphates, which help prevent plaque from hardening into calculus.
  • Master Your Brushing Technique: Brush at least twice a day for two minutes, ensuring you reach every surface, especially the back molars.
  • Daily Flossing: Since a toothbrush cannot reach between teeth, flossing is essential to prevent tartar from forming in the tight spaces where cavities often begin.
  • Hydration: Drinking plenty of water helps wash away food particles and neutralizes acids that contribute to plaque buildup.
  • Watch Your Diet: Reduce the intake of sugary and starchy snacks, which provide the fuel for bacteria to thrive and create more plaque.

Regular dental visits are the cornerstone of long-term oral health. Most dental professionals recommend a professional cleaning and examination every six months. During these visits, your dentist will monitor your gum health and perform a deep cleaning to remove any buildup that has occurred since your last appointment. By staying consistent with these check-ups, you can catch minor issues before they escalate into painful and costly procedures. Maintaining a clean smile is a lifelong commitment, but the reward is a healthy mouth, fresh breath, and the confidence that comes with a bright, clean set of teeth. Embracing a proactive approach to your dental hygiene will undoubtedly serve you well, ensuring that your smile remains vibrant for years to come.

Related Terms:

  • best tartar remover for teeth
  • can you remove tartar yourself
  • remove hard tartar from teeth
  • remove tartar from teeth yourself
  • tartar buildup on teeth removal
  • preventing tartar buildup on teeth