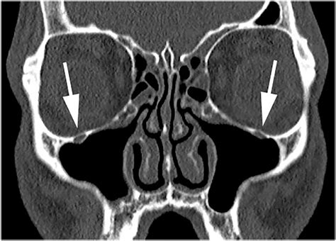
Maxillary Sinus Anatomy and Physiology - Otolaryngologic Clinics of North America
Rp

Maxillary Sinus Anatomy and Physiology - Otolaryngologic Clinics of North America

1801 × 1634 px August 6, 2025 Ashley Rp

Discovering that you have a Cyst Sinus Maxillaris, commonly known as a maxillary sinus cyst, can be an unsettling experience. Often, these findings occur incidentally during routine dental X-rays or panoramic scans taken for other oral health reasons. While the word "cyst" may sound alarming, understanding the nature of these formations is the first step toward managing your health with peace of mind. A maxillary sinus cyst is generally a fluid-filled sac that develops within the maxillary sinus, which is the air-filled space located behind your cheekbones and above your upper teeth.

What is a Cyst Sinus Maxillaris?

A Cyst Sinus Maxillaris is a benign, non-cancerous growth. In clinical terms, they are frequently classified as either mucous retention cysts or pseudocysts. These cysts are typically lined with sinus mucosa and filled with fluid. They do not behave like aggressive tumors, meaning they do not invade surrounding tissues or spread to other parts of the body. In most cases, they are asymptomatic, meaning they do not cause any noticeable pain or physical symptoms.

Because they are situated within the sinus cavity, they may occasionally be misdiagnosed or confused with chronic sinusitis. However, they are distinct entities. Understanding the difference between a symptomatic sinus infection and a benign cyst is crucial for avoiding unnecessary anxiety and ensuring appropriate treatment plans.

Common Symptoms and Clinical Presentation

Most individuals with a Cyst Sinus Maxillaris remain completely unaware of its presence because the cyst often causes no symptoms. However, as these cysts grow, or if they become large enough to obstruct the sinus ostium (the opening that allows the sinus to drain), they might trigger certain sensations. It is important to note that if you are experiencing significant facial pain, you should consult an ENT (Ear, Nose, and Throat) specialist, as these symptoms are often related to other sinus conditions rather than the cyst itself.

Potential signs—though rare—might include:

  • A sensation of pressure or fullness in the cheek area.
  • Mild facial discomfort, particularly when leaning forward.
  • Occasional headaches localized around the forehead or eyes.
  • Nasal congestion or difficulty breathing through the affected side of the nose (if the cyst is very large).

⚠️ Note: Most maxillary sinus cysts are found incidentally and do not require treatment. Only those that show evidence of rapid growth or cause obstruction typically warrant clinical intervention.

Diagnostic Procedures

Since these cysts rarely present with overt symptoms, diagnosis is almost always achieved through imaging. When your dentist or ENT specialist identifies a potential Cyst Sinus Maxillaris, they will use advanced imaging technology to differentiate it from other, more serious pathologies.

Imaging Method Purpose in Diagnosis
Panoramic Radiograph (OPG) Provides a broad view; often the first imaging modality where a cyst is spotted.
Cone Beam CT (CBCT) Offers a 3D view; essential for accurately measuring the size and location of the cyst.
MRI Used in complex cases to determine the nature of the fluid content within the cyst.

Treatment Options and Management

The primary philosophy in managing a Cyst Sinus Maxillaris is "watchful waiting." Because these cysts are typically benign and asymptomatic, surgical removal is rarely required. Your healthcare provider will likely recommend periodic monitoring to ensure that the cyst remains stable and does not show signs of enlargement.

In rare circumstances, surgical intervention may be considered if:

  • The cyst grows large enough to impede normal sinus drainage, leading to chronic infections.
  • The cyst is causing persistent facial pain or pressure that significantly affects the quality of life.
  • Diagnostic imaging is inconclusive, and a biopsy is required to rule out more serious pathology.

If surgery is deemed necessary, it is usually performed by an ENT specialist using minimally invasive techniques, such as Functional Endoscopic Sinus Surgery (FESS). This approach uses small cameras and specialized tools to access the sinus through the nasal passage, minimizing downtime and discomfort.

💡 Note: Always seek a second opinion from an ENT specialist if you are recommended surgery for an incidental finding, as many surgeons prefer to monitor these cysts for years before considering intervention.

Distinguishing Between Cysts and Other Conditions

It is common for patients to worry about the relationship between a Cyst Sinus Maxillaris and oral health, especially because these cysts are often found near the roots of the upper teeth. However, a true maxillary sinus cyst is distinct from an odontogenic cyst (a cyst originating from tooth infection). While an odontogenic cyst requires immediate dental treatment to save the tooth, a maxillary sinus cyst is usually unrelated to your dental health.

To differentiate, your dentist may perform vitality tests on the teeth in the area of the sinus. If the teeth are vital (healthy), it confirms that the cyst is likely a sinus-related incidental finding rather than an issue stemming from a tooth infection.

Living with a Maxillary Sinus Cyst

Living with this diagnosis requires very little lifestyle adjustment. Because the condition is generally benign, most patients can continue their daily routines without restriction. However, maintaining good overall sinus health can help prevent the inflammation that might make a pre-existing cyst feel more noticeable. Simple practices include:

  • Using a saline nasal spray to keep sinus passages hydrated.
  • Avoiding environmental triggers like heavy smoke or excessive allergens.
  • Staying well-hydrated to keep mucus thin and drainage functional.
  • Attending regular dental checkups to monitor the status of the cyst via routine imaging.

By understanding that a Cyst Sinus Maxillaris is a common, often harmless occurrence, you can alleviate unnecessary worry. These structures are simply anatomical variations that reside in the sinus space, and for the vast majority of people, they remain inactive throughout their lives. Prioritize consistent monitoring with your healthcare provider, and rest assured that modern medical imaging allows for highly accurate observation of these findings, ensuring your health remains a top priority without the need for invasive procedures unless absolutely necessary.

In summary, while the identification of a cyst in your sinus cavity may seem concerning at first, it is usually a benign finding that requires nothing more than routine observation. By working closely with your dentist or an ENT specialist, you can ensure that the cyst is correctly identified and monitored. The key takeaway is that most of these cysts do not cause complications or require surgical removal. Maintaining open communication with your medical team and keeping up with recommended check-ups provides the best path forward, allowing you to manage this minor health detail with confidence and complete peace of mind.

Related Terms:

  • maxillary sinus retention cyst
  • maxillary sinus cyst icd 10
  • maxillary sinus retention cyst surgery
  • maxillary sinus cyst removal
  • maxillary sinus retention cyst radiology
  • maxillary sinus

More Images