Ct Scan For Heart

Ct Scan For Heart

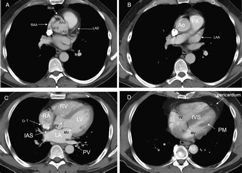
Cardiovascular health remains a top priority for medical professionals and patients alike, especially as diagnostic technology continues to evolve. When doctors need to get a clear, detailed look at the coronary arteries to assess the risk of heart disease, they often turn to advanced imaging techniques. A Ct Scan For Heart, clinically known as a Coronary Computed Tomography Angiography (CCTA) or a Coronary Artery Calcium (CAC) scan, has become a cornerstone in modern preventative cardiology. By providing high-resolution images of the heart's structure and its surrounding blood vessels, this non-invasive procedure allows physicians to identify potential blockages or calcification long before a patient experiences a major cardiac event.

Understanding the Role of Heart CT Imaging

The primary purpose of a Ct Scan For Heart is to evaluate the health of the coronary arteries. These vessels are responsible for supplying oxygen-rich blood to the heart muscle. Over time, these arteries can accumulate plaque—a buildup of fat, cholesterol, calcium, and other substances. If left unchecked, this plaque can harden or rupture, leading to restricted blood flow and an increased risk of heart attacks. Unlike traditional stress tests, which measure how the heart functions under pressure, a CT scan provides a direct visualization of the anatomy, allowing for a precise "map" of the arterial state.

There are two main types of cardiac CT scans:

  • Coronary Artery Calcium (CAC) Scan: This non-contrast scan measures the amount of calcified plaque in the arteries. It provides a "Calcium Score," which helps doctors estimate the overall risk of heart disease.
  • Coronary CT Angiography (CCTA): This scan utilizes an iodine-based contrast dye to highlight the interior of the arteries, allowing radiologists to see not only calcified plaque but also "soft" plaque that could potentially block blood flow.

Who Should Consider a Heart CT Scan?

Not every patient requires advanced imaging, but it is a vital tool for those falling into intermediate-risk categories. Doctors often recommend a Ct Scan For Heart for individuals who present with specific clinical indicators or risk factors. Understanding whether you qualify for this procedure involves a collaborative discussion with your cardiologist or primary care physician.

Criteria Description
Family History Individuals with a strong family history of premature heart disease.
Risk Factors Patients with hypertension, high cholesterol, or diabetes who are unsure of their risk level.
Symptoms People experiencing atypical chest pain or shortness of breath that remains unexplained by standard tests.
Age/Lifestyle Adults over 45 with long-term smoking habits or sedentary lifestyles.

⚠️ Note: If you have a known allergy to iodine-based contrast dye or suffer from advanced kidney disease, inform your medical team immediately, as these conditions may influence the type of scan performed or require pre-procedure medication.

Preparing for Your Cardiac CT Procedure

Preparation is key to obtaining the most accurate results from your Ct Scan For Heart. Because the scan requires the heart to be relatively still for the best image clarity, patients are often given instructions to ensure their heart rate is controlled during the process.

  • Fasting: You may be asked to avoid solid foods for a few hours before the appointment.
  • Caffeine Avoidance: Refrain from caffeine or stimulants for at least 12–24 hours, as these can increase your heart rate and make imaging difficult.
  • Medication Adjustment: In some cases, your doctor may prescribe a beta-blocker to slow your heart rate down specifically for the imaging session.
  • Hydration: Stay well-hydrated unless otherwise directed, especially if a contrast dye will be used, as this helps your kidneys process the substance more efficiently.

The Procedural Experience: What to Expect

When you arrive for your scan, the process is generally efficient and painless. You will be asked to change into a hospital gown, and a nurse will place small electrodes on your chest to monitor your heartbeat. If you are undergoing a CCTA, an intravenous (IV) line will be inserted into your arm to deliver the contrast agent. You will lie on a motorized table that slides into a doughnut-shaped scanner. During the scan, the technologist will provide instructions via an intercom, which may include asking you to hold your breath for a few seconds to prevent motion blur in the images.

The total time spent inside the scanner is often less than ten minutes, though the entire appointment including preparation and monitoring may take an hour or two. Because there is no recovery time needed for a standard Ct Scan For Heart, most patients are able to return to their normal daily activities immediately after leaving the clinic.

💡 Note: While radiation exposure is a consideration, modern cardiac CT scanners use dose-reduction technology, making the radiation exposure comparable to that of other common diagnostic medical imaging procedures.

Interpreting Your Results and Next Steps

Once the scan is complete, a specialized radiologist or cardiologist will analyze the hundreds of images produced to identify any narrowing of the arteries or presence of plaque. The results are typically compiled into a report that quantifies the extent of atherosclerosis. If your calcium score is high or significant blockages are found, your doctor will move from a preventative approach to an active management plan. This might include aggressive lipid-lowering therapies (such as statins), lifestyle interventions like specific exercise programs, or further invasive procedures if the blockage is deemed critical.

The primary advantage of having this data is that it takes the guesswork out of cardiac care. Instead of relying solely on blood pressure and cholesterol numbers, your medical team gains a visual confirmation of your heart’s condition. This transparency allows patients to take actionable, motivated steps toward reversing or stabilizing their condition before a cardiac event ever occurs. By utilizing the Ct Scan For Heart as part of a comprehensive screening strategy, you are essentially securing a window into your future health, allowing you to make adjustments today that will pay dividends in your long-term vitality.

The decision to undergo a cardiac scan should always be made in consultation with a qualified medical professional who understands your unique history. Whether you are seeking peace of mind or investigating unexplained symptoms, prioritizing your heart health through advanced diagnostic tools is one of the most effective ways to ensure a longer and more active life. Keep in mind that technology is only one part of the equation; maintaining a heart-healthy diet, staying physically active, and attending regular follow-up appointments remain the pillars of sustained cardiovascular wellness. By combining clinical insights from advanced imaging with consistent healthy lifestyle choices, you empower yourself to take control of your heart health effectively and proactively.

Related Terms:

  • ct scan for heart calcium
  • ct scan for heart blockage
  • cardiac ct scan procedure
  • ct scan for heart problems
  • ct scan for heart attack
  • ct scan for heart price