Ct Scan For Diverticulitis

Ct Scan For Diverticulitis

Diverticulitis is a painful condition that occurs when small pouches in the colon, known as diverticula, become inflamed or infected. When a patient presents with symptoms such as severe abdominal pain, fever, and changes in bowel habits, physicians must act quickly to make an accurate diagnosis. Among the various diagnostic tools available in modern medicine, a CT scan for diverticulitis is considered the gold standard. Its ability to provide detailed, cross-sectional images of the abdomen allows healthcare providers to confirm the presence of inflammation, assess the severity of the condition, and rule out other potential causes of abdominal distress.

Why a CT Scan is Essential for Diverticulitis

When you experience intense pain in the lower left quadrant of your abdomen, it is natural to be concerned about the underlying cause. While clinical evaluation and physical exams are the first steps, they are rarely enough to provide a definitive diagnosis. The primary reason a CT scan for diverticulitis is favored by gastroenterologists and surgeons is its superior imaging capability.

Unlike an ultrasound or a standard X-ray, which may be limited in scope, a CT (Computed Tomography) scan uses a series of X-ray images taken from different angles to create a comprehensive view of your internal anatomy. For patients with suspected diverticulitis, this imaging technique offers several distinct advantages:

  • High Sensitivity: It can identify subtle signs of inflammation that other tests might miss.
  • Complication Detection: It is highly effective at spotting complications such as abscesses, perforations, or fistulas.
  • Differential Diagnosis: It helps doctors distinguish diverticulitis from other conditions with similar symptoms, such as appendicitis, kidney stones, or bowel obstruction.

How the Procedure Works

Understanding what happens during a CT scan for diverticulitis can help alleviate the anxiety often associated with medical imaging. The procedure is non-invasive and generally quick, typically taking only a few minutes once the patient is positioned on the scanner table.

To improve the quality of the images, a contrast medium is often used. This may be administered orally or intravenously. The contrast dye helps “highlight” the intestines and blood vessels, making the area of inflammation much easier for a radiologist to identify. During the scan, you will lie on a table that slides into a doughnut-shaped machine, which rotates to take the necessary images. You will be asked to hold your breath for short intervals to ensure the images remain clear and artifact-free.

💡 Note: Always inform your medical team if you have any allergies to contrast dye or if you have pre-existing kidney conditions, as these factors may influence how the scan is conducted.

Comparing Diagnostic Options

While various imaging modalities exist, they are not all equally effective for diagnosing acute diverticulitis. The following table highlights why the CT scan remains the preferred choice in clinical settings.

Imaging Method Effectiveness for Diverticulitis Primary Drawback
CT Scan High (Gold Standard) Involves radiation exposure
Ultrasound Moderate Operator-dependent, limited by bowel gas
MRI High Costly and time-consuming
Colonoscopy Low (in acute phase) Risk of perforation during active inflammation

Interpreting the Results

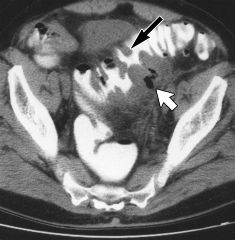
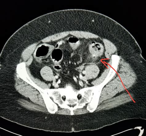
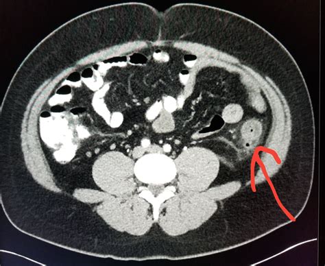
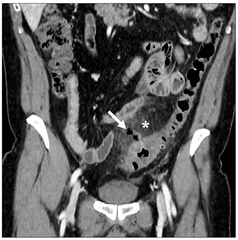
Once the scan is completed, a radiologist will interpret the images and generate a report. If the scan confirms a diagnosis of diverticulitis, the radiologist will often grade the severity of the disease. This grading system is crucial for determining the appropriate course of treatment. The results of your CT scan for diverticulitis will likely focus on several key indicators:

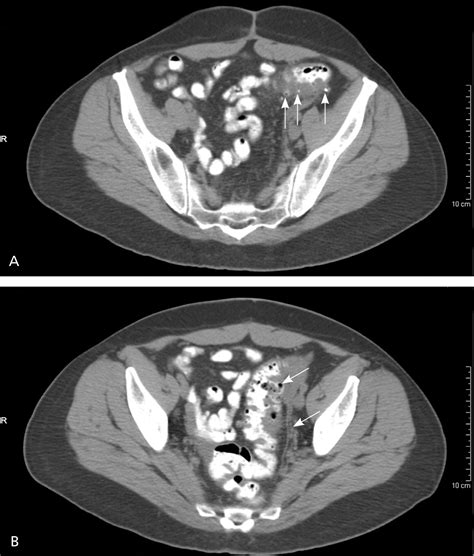
  • Wall Thickening: The degree to which the colon wall has thickened due to inflammation.
  • Fat Stranding: A hazy appearance in the fat surrounding the colon, which is a classic sign of localized inflammation.
  • Presence of Abscesses: Whether there are pockets of pus that may require drainage or specific antibiotic therapy.
  • Free Air: A critical finding that may indicate a perforation, which is a medical emergency requiring immediate surgical consultation.

Safety and Preparation

Because a CT scan for diverticulitis involves ionizing radiation, it is performed only when medically necessary. However, the benefits of obtaining an accurate diagnosis far outweigh the minimal risks associated with the procedure. Preparation is usually minimal. You may be asked to fast for a few hours before the scan, especially if an intravenous contrast agent is required. It is also important to wear comfortable, loose-fitting clothing without metal zippers or buttons, as metal can interfere with the image quality.

Post-Scan Steps and Treatment Planning

After your scan, your doctor will discuss the findings with you. Depending on the severity of the diverticulitis seen on the CT scan, the treatment plan can vary significantly. For mild cases, the doctor might recommend a clear liquid diet and oral antibiotics. If the scan shows more advanced disease, such as a large abscess or a perforation, you may require hospitalization for intravenous antibiotics, bowel rest, or even surgical intervention.

💡 Note: If you experience a sudden increase in severe abdominal pain, high fever, or vomiting following your diagnosis, seek emergency medical care immediately, as these can be signs of a worsening condition.

The role of the CT scan in managing diverticulitis cannot be overstated. By providing a clear and detailed window into the health of the colon, it empowers medical professionals to make precise, evidence-based decisions that prioritize patient safety. If you are experiencing symptoms associated with this condition, discussing the necessity of a CT scan with your healthcare provider is the most effective way to navigate the diagnostic process. Through timely imaging and proper follow-up care, most patients can effectively manage diverticulitis and return to their daily routines. Taking proactive steps to address your health concerns today ensures that you receive the necessary clarity and treatment to move forward with peace of mind.

Related Terms:

  • diverticulitis ct scan without contrast
  • best ct scan for diverticulitis
  • ct abdomen without contrast diverticulitis
  • ct scan showing diverticulitis
  • best scan for diverticulitis
  • does ct scan show diverticulitis