Ct Scan For Concussion

Ct Scan For Concussion

When an individual suffers a head injury, the immediate concern is often whether there is significant damage to the brain. A CT scan for concussion is a common diagnostic tool utilized in emergency departments and clinical settings to rule out life-threatening intracranial injuries. While the term "concussion" refers to a mild traumatic brain injury (mTBI) that typically does not show up on conventional imaging, medical professionals often order a CT scan to ensure that there is no bleeding, swelling, or skull fracture that requires urgent intervention.

Understanding the Role of CT Scans in Head Injuries

Computed Tomography (CT) scans use X-ray technology to create cross-sectional images of the brain. It is highly effective at identifying acute structural abnormalities. However, it is crucial to understand that a CT scan for concussion is primarily a safety screening tool, not a diagnostic test for the concussion itself.

Concussions are functional injuries—meaning they affect how the brain works—rather than structural ones that change the physical appearance of the brain tissue. Therefore, a patient can have a completely "normal" CT scan and still suffer from severe concussion symptoms, such as headaches, dizziness, and cognitive impairment. The scan exists to catch the "red flags" that require surgical or immediate neurological management.

When is a CT Scan Necessary?

Physicians follow specific clinical decision rules to determine whether a CT scan for concussion is warranted. It is not necessary for every patient who bumps their head, as the procedure involves exposure to ionizing radiation. Medical experts typically consider imaging if any of the following symptoms or risk factors are present:

  • Loss of consciousness: Especially if it lasts for a prolonged period.
  • Worsening headache: Pain that is increasing in severity over time.
  • Repeated vomiting: A sign of increased intracranial pressure.
  • Amnesia: Confusion regarding the events leading up to or following the injury.
  • Seizures: Any post-traumatic convulsion requires immediate investigation.
  • Age factors: Infants and the elderly are often evaluated with a lower threshold for imaging.
  • Neurological deficits: Weakness in limbs, slurred speech, or unequal pupil size.

⚠️ Note: If an individual shows signs of a severe head injury, such as a rapidly changing level of consciousness, do not wait; seek emergency medical care immediately, as this is a life-threatening situation.

Comparison: CT Scan vs. MRI for Head Injury

Patients often ask about the difference between a CT scan and an MRI. While both are used for neurological imaging, they serve different purposes in the acute phase of an injury.

Feature CT Scan MRI
Speed Very Fast (Minutes) Slow (30-60 minutes)
Radiation Uses Ionizing Radiation No Radiation
Primary Use Bleeding, Fractures, Acute trauma Soft tissue detail, chronic issues
Accessibility High (Most hospitals) Lower (Scheduling required)

What Happens During the Procedure?

Undergoing a CT scan for concussion is a relatively straightforward process. The patient lies on a motorized table that slides into a doughnut-shaped machine. The scanner rotates around the head, taking multiple X-ray images from different angles. The entire scan usually takes less than five minutes.

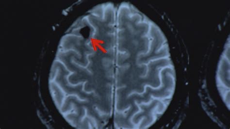
Because the procedure is fast, it is the preferred method for assessing patients who are agitated, confused, or physically unstable. Once the images are captured, they are reconstructed by a computer to allow a radiologist to examine the brain for signs of intracranial hemorrhage or hematoma (blood collection).

Interpreting the Results

When a doctor reviews a CT scan for concussion, they are looking specifically for evidence of high-risk injuries. A negative scan—meaning the scan shows no injury—is excellent news. It means the patient does not have an acute bleed or fracture requiring surgery. However, a negative scan does not rule out the diagnosis of a concussion. The concussion diagnosis is based on the patient's symptoms and clinical assessment rather than imaging.

If the scan comes back positive, it indicates a more serious traumatic brain injury. This may require admission to the hospital, observation in an Intensive Care Unit (ICU), or, in rare cases, neurosurgical intervention to relieve pressure on the brain. Early detection through imaging is the key to preventing secondary brain damage.

💡 Note: Always follow up with a neurologist or concussion specialist if your symptoms persist, even if your initial imaging results were normal.

Reducing Radiation Exposure

While a CT scan for concussion is life-saving in the right context, doctors are increasingly mindful of the cumulative radiation dose, especially in younger patients. Clinical decision rules like the Canadian CT Head Rule and the PECARN (Pediatric Emergency Care Applied Research Network) criteria are used to minimize unnecessary scans. By using these validated tools, doctors can accurately identify who truly needs imaging, thereby avoiding radiation exposure for those who are at low risk for serious brain injury.

Post-Scan Recovery and Monitoring

After a clean scan, the recovery from a concussion begins with physical and cognitive rest. The brain is in a state of energy crisis, and reducing stimulation is essential. For the first 24 to 48 hours, patients are encouraged to limit screen time, avoid strenuous exercise, and ensure they are monitored by a family member or friend for any signs of regression.

Patients should keep a log of their symptoms to share with their healthcare provider during follow-up visits. Common symptoms to track include sleep disturbances, light sensitivity, irritability, and balance issues. Returning to normal activities should be a gradual, stepped process under the guidance of a physician.

Final considerations regarding head trauma involve recognizing that the absence of a visible injury on a scan does not mean the brain is unaffected. A CT scan for concussion effectively serves as a filter to ensure patient safety by quickly identifying or excluding severe intracranial complications. Once those critical risks are cleared, the focus must shift to professional concussion management, symptom tracking, and a gradual return to work, school, and physical activities. By prioritizing early assessment and adhering to medical advice, most individuals recover fully from concussions. If you or a loved one sustains a significant head injury, prioritize professional medical evaluation over self-diagnosis to ensure the safest path to recovery.

Related Terms:

  • imaging for concussion
  • concussion diagnosis
  • how to diagnose a concussion
  • cat scan for concussion
  • will ct scan show concussion
  • mri for concussion