Ct Contrast

Ct Contrast

When you are scheduled for a medical imaging procedure, you may hear your radiologist or doctor mention the term Ct Contrast. Understanding what this means and why it is used is essential for alleviating any anxiety you might feel about your upcoming scan. Essentially, this type of scan utilizes a special dye, known as a contrast medium, which is introduced into your body to improve the visibility of certain tissues, organs, or blood vessels on the resulting images. By enhancing the natural contrast of internal structures, radiologists can distinguish between healthy and diseased tissues with much greater precision, leading to a more accurate diagnosis.

Understanding How Ct Contrast Works

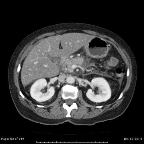
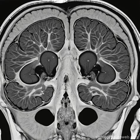
The primary purpose of using a contrast agent during a Computed Tomography (CT) scan is to make specific areas "pop" on the monitor. Without contrast, some organs—like those in the abdomen—might look similar in density, making it difficult to spot subtle abnormalities. When the Ct Contrast agent, which often contains iodine or barium, enters your system, it absorbs X-rays differently than the surrounding tissue. This interaction creates a distinct visual difference in the final image, effectively "highlighting" the targeted area.

There are three primary methods by which this contrast material is introduced into your body, depending on the specific area being examined:

  • Intravenous (IV) Injection: This is the most common method. The dye is injected into a vein in your arm or hand, allowing it to circulate through your bloodstream to highlight blood vessels, the heart, the liver, or the kidneys.
  • Oral Ingestion: You may be asked to drink a contrast liquid if your doctor needs to examine your gastrointestinal tract, such as the esophagus, stomach, or intestines.
  • Rectal Administration: In specific cases, the contrast agent may be introduced rectally to provide a clearer view of the lower gastrointestinal tract.

💡 Note: You might experience a temporary warm or flushed sensation throughout your body shortly after the IV injection. This is a common and normal reaction that typically dissipates within a minute or two.

When Is a Contrast Scan Necessary?

Not every patient requires a contrast dye for their scan. Physicians carefully weigh the benefits of enhanced imaging against the patient's medical history to determine if it is necessary. Generally, a Ct Contrast scan is ordered when the physician needs to visualize soft tissues or blood flow in greater detail.

Common clinical scenarios where this procedure is utilized include:

Condition/Application Why Contrast is Needed
Tumor Detection To see if a growth has a distinct blood supply compared to healthy tissue.
Vascular Imaging To map arteries and veins to identify blockages or aneurysms.
Inflammation/Infection To identify areas of increased blood flow associated with active infection.
Trauma Assessment To quickly identify internal bleeding or damage to organs.

Safety, Risks, and Preparation

Safety is the top priority for radiology departments. While Ct Contrast is generally considered safe for most people, there are important factors that must be discussed with your healthcare provider beforehand. The most common concerns involve potential allergic reactions to the iodine-based dye or impacts on kidney function, particularly for individuals who already have pre-existing renal conditions.

To ensure the best experience and safest outcome, keep the following preparation guidelines in mind:

  • Disclose Your Medical History: Inform your medical team about any known allergies, especially to iodine or previous contrast media, as well as any history of kidney disease, asthma, or diabetes.
  • Medication Review: Let your doctor know about all medications you are currently taking, particularly Metformin, which may need to be adjusted before or after the scan if you have specific renal concerns.
  • Fasting Requirements: Depending on the type of scan, you may be instructed to avoid eating or drinking for several hours before the procedure, especially if oral contrast is involved.
  • Hydration: Drinking plenty of water both before and after the procedure helps your kidneys flush the contrast dye out of your system more efficiently.

💡 Note: If you have a history of allergies, your doctor might prescribe a mild anti-allergic medication or a steroid to be taken shortly before your scan to minimize the risk of an adverse reaction.

What to Expect During and After the Procedure

The procedure itself is typically quick. If you are receiving an IV injection, a technologist will insert a small IV line into your vein. Once you are positioned on the scanner table, the contrast dye is injected, either manually or through an automated pump. You might feel a metallic taste in your mouth or a sensation as if you need to urinate; both are normal and short-lived.

After the scan is finished, the IV line is removed. Because the contrast medium is processed by your kidneys and eliminated through your urine, it is highly recommended that you increase your water intake for the next 24 hours. Most patients can immediately return to their normal daily activities. In very rare cases, delayed reactions can occur; if you experience hives, itching, or difficulty breathing in the hours following your procedure, you should seek medical attention immediately.

Interpreting the Results

Once the images are captured, they are sent to a radiologist—a physician specializing in medical imaging—who will interpret the data. The addition of Ct Contrast provides the radiologist with much higher resolution and clarity, allowing them to formulate a detailed report for your primary doctor. This report will highlight the specific areas of concern, describe any abnormalities in size, shape, or density, and provide the diagnostic context needed to determine the best course of treatment for your unique health situation.

The combination of advanced imaging technology and the strategic use of contrast agents remains a cornerstone of modern diagnostic medicine. By improving the sensitivity of the scan, doctors can detect issues at their earliest stages, which is often crucial for effective intervention. Always feel empowered to ask your healthcare team questions about your scan, as understanding the process can make the experience much more comfortable and less intimidating. Whether you are undergoing a routine screening or a specific diagnostic test, knowing that this tool is designed to provide the clearest possible view of your health can provide significant peace of mind as you move forward with your medical care.

Related Terms:

  • non contrast ct
  • contrast vs non contrast ct
  • ct scan with contrast vs
  • ct contrast phase
  • ct with versus without contrast
  • no contrast ct scan