Crown In Teeth

Crown In Teeth

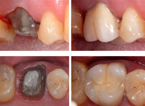
Discovering that you have a crown in teeth structure can often feel like a milestone in dental health. A dental crown is a custom-fitted "cap" placed over a damaged or decayed tooth to restore its shape, size, strength, and overall appearance. Whether you have just undergone the procedure or are considering it for a restorative need, understanding the nuances of these dental restorations is vital for long-term oral hygiene. In this guide, we will explore everything you need to know about maintaining, cleaning, and understanding the lifespan of your dental crown.

Why Do You Need a Crown in Teeth?

Dental crowns are versatile tools in restorative dentistry. They act as a protective barrier, shielding the natural tooth structure underneath from further damage. If your dentist has suggested a crown in teeth, it is likely to address one of the following issues:

  • Structural Support: To support a tooth that has a large filling where there isn’t enough natural tooth structure left.
  • Restoration: To restore a tooth that has been worn down, broken, or fractured.
  • Cosmetic Enhancement: To cover misshapen or severely discolored teeth to improve your smile.
  • Post-Root Canal: To protect the tooth structure after a root canal procedure, as these teeth become brittle over time.
  • Dental Bridge: To serve as an anchor point for a bridge that replaces missing teeth.

The Procedure: What to Expect

Getting a crown in teeth usually requires two separate visits to the dental clinic. The first visit involves preparing the tooth, which includes removing a portion of the outer layer to ensure the crown fits properly. An impression is then taken to create a custom-fitted crown. During the wait time, your dentist will provide a temporary crown to protect the exposed tooth.

On your second visit, the temporary crown is removed, and the permanent one is placed. The dentist will check the fit, shape, and bite to ensure your comfort. Once satisfied, they will use high-quality dental cement to bond the crown firmly into place.

⚠️ Note: If you experience significant bite sensitivity or sharp pain shortly after the crown is placed, contact your dentist immediately to adjust the occlusion (the way your teeth meet).

Maintaining Your Dental Crown

While a crown in teeth is highly durable, it is not immune to damage or decay. The natural tooth structure underneath the crown is still vulnerable to plaque buildup at the gum line. Therefore, excellent oral hygiene is non-negotiable. Treat your crowned tooth just as you would any other natural tooth.

Here are the best practices for maintenance:

  • Brushing: Brush at least twice a day using fluoride toothpaste. Pay extra attention to the gum line where the crown meets the gum.
  • Flossing: Flossing daily is critical. Use a specialized floss or a water flosser to remove plaque from the junction between the crown and the gum.
  • Avoid Hard Foods: Try to avoid chewing on ice, hard candies, or using your teeth to open packages, as these habits can fracture the crown material.
  • Routine Checkups: Visit your dentist for professional cleanings every six months to ensure the crown remains stable and the gums stay healthy.

Comparing Crown Materials

Different materials offer different benefits regarding aesthetics and durability. When selecting a crown in teeth, your dentist may discuss the following options:

Material Type Best For Pros Cons
Porcelain-Fused-to-Metal Back Teeth Strong and durable May show a metal line at the gum
All-Ceramic/Porcelain Front Teeth Excellent aesthetic match Slightly less durable than metal
Gold Alloys Back Teeth/Grinders Maximum longevity Not tooth-colored
Zirconia All-rounders High strength and aesthetics Higher cost

Managing Potential Issues

Even with the best care, complications can occasionally arise with your crown in teeth. Recognizing these symptoms early can save you from more invasive procedures later. Common issues include:

  • Loose Crown: Sometimes the cement washes out or the tooth structure underneath changes, causing the crown to feel loose. See a dentist to have it re-cemented.
  • Chipped Crown: Minor chips can often be repaired with dental composite, but larger fractures may require a full replacement.
  • Allergic Reactions: While rare, some patients may react to the metal alloys used in certain crowns. If you have known metal sensitivities, discuss non-metal options with your provider.

⚠️ Note: Never attempt to glue a loose crown back on with household superglue. These substances are toxic and can permanently damage your underlying tooth and gum tissues.

Longevity and Lifestyle Factors

A well-maintained crown in teeth can easily last between 10 to 15 years, and in many cases, even longer. Your lifestyle plays a massive role in this timeline. If you suffer from bruxism—the habit of grinding your teeth at night—you should strongly consider wearing a night guard. Grinding puts significant force on the crown, which can lead to wear and tear or unexpected dislodgement over time.

Additionally, lifestyle habits like smoking or high consumption of sugary beverages can increase the risk of decay at the margins of the crown. By managing these factors, you ensure that your restoration remains a reliable part of your dental health for years to come.

Final Thoughts

Investing in a crown is a proactive step toward maintaining a healthy and functional smile. By understanding that a crown in teeth requires the same diligence as your natural teeth, you can extend the life of your dental work significantly. Consistency in brushing, flossing, and attending regular dental appointments serves as the bedrock of your oral care routine. If you ever notice discomfort, a shift in bite, or damage to the restoration, reach out to your dental professional promptly. With proper attention and care, your crown will continue to protect your tooth and support your overall well-being, allowing you to eat, speak, and smile with confidence.

Related Terms:

  • permanent tooth crown
  • crown on teeth pictures
  • crown on teeth necessity
  • crown on tooth procedure
  • crown on teeth cost
  • Two Front Teeth Crown