Crack On Tooth

Crack On Tooth

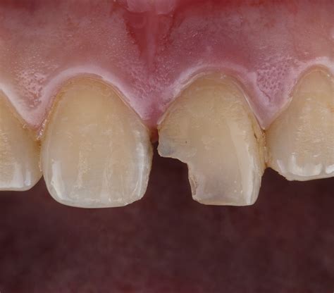
Discovering a crack on tooth can be an alarming experience, often accompanied by sudden sensitivity, pain, or the feeling that something just isn't right when you bite down. Whether it happened while crunching on a popcorn kernel or gradually developed due to years of wear and tear, a fractured tooth is not an issue that should be ignored. Many people mistakenly believe that if the pain is mild, the problem will resolve itself; however, dental fractures rarely heal on their own. Instead, they often progress, potentially leading to deep infections, nerve damage, or even the eventual loss of the tooth. Understanding the causes, symptoms, and treatment options for a damaged tooth is essential for preserving your oral health and preventing more complex, costly procedures down the road.

What Causes a Crack on Tooth?

Dental examination for a crack on tooth

The enamel that protects your teeth is one of the hardest substances in the human body, but it is not indestructible. A crack on tooth can occur for a variety of reasons, ranging from sudden impact to long-term structural stress. Some of the most frequent culprits include:

Also read: Face Fat Plastic Surgery
  • Chewing on hard objects: Habitually biting down on ice, hard candies, popcorn kernels, or non-food items like pens can exert immense pressure, causing the tooth to fracture.
  • Bruxism: Grinding or clenching your teeth, especially during sleep, wears down the enamel and puts significant stress on the structural integrity of your teeth.
  • Large dental fillings: Teeth that have been heavily restored with large fillings may lose their natural strength, making them more susceptible to splitting.
  • Temperature changes: Rapidly alternating between extremely hot and cold foods can cause the enamel to expand and contract, leading to “thermal shock” and hairline fractures.
  • Aging: Over many years, teeth naturally become more brittle and prone to cracking due to repetitive cycles of chewing.

Identifying Symptoms of a Fractured Tooth

Not every fracture is visible to the naked eye. Sometimes, a crack on tooth is so fine—often referred to as a “craze line”—that it is barely perceptible. However, you might notice specific symptoms that indicate your tooth is compromised. Pay close attention to the following signs:

  • Intermittent Pain: You may feel a sharp, stabbing pain when biting down on food, which then quickly subsides when the pressure is released.
  • Sensitivity: Increased sensitivity to hot, cold, or sugary substances is a major red flag, indicating that the dentin beneath the enamel has been exposed.
  • Swelling or Gum Irritation: If a crack extends toward the root, it can cause the surrounding gum tissue to become inflamed or puffy.
  • Difficulty Identifying the Source: Unlike a cavity, which is usually localized, the pain from a cracked tooth can sometimes feel like it is radiating throughout the entire jaw.

Types of Tooth Cracks

Not all cracks are the same, and the severity dictates the treatment approach. Dentists classify these fractures based on their depth and location.

Type of Crack Description Typical Treatment
Craze Lines Tiny, superficial cracks in the enamel only. Usually no treatment needed; cosmetic only.
Fractured Cusp A piece of the tooth’s chewing surface breaks off. A crown or filling to restore shape.
Cracked Tooth Extends from the surface toward the root. Crown is necessary; root canal may be needed.
Split Tooth Usually the result of a long-term cracked tooth. Often requires extraction if the split is deep.

⚠️ Note: If you notice a visible crack or experience sudden, sharp pain, do not attempt to "file" the jagged edge yourself or use over-the-counter adhesives. Seek professional dental advice immediately to prevent further propagation of the fracture.

What to Do While Waiting for a Dentist Appointment

If you cannot see your dentist immediately, there are steps you can take to manage discomfort and protect the tooth. Avoiding certain behaviors is the most important part of home care. Try to avoid chewing on the side of your mouth where the crack on tooth is located. Stick to soft foods that require minimal biting force, and maintain excellent oral hygiene by gently brushing the area. If the edges of the tooth are sharp and causing irritation to your tongue or cheek, you can use a small amount of dental wax to cover the rough spot temporarily.

Treatment and Restoration Options

Once you are in the dental chair, your dentist will use magnification and specific diagnostic tools, such as transillumination or bite tests, to locate the crack. Depending on the extent of the damage, they may suggest several paths:

  • Bonding: For minor cracks, a tooth-colored resin can be used to fill the space and reinforce the tooth structure.
  • Dental Crowns: This is the most common solution for a significant crack on tooth. A crown “caps” the entire tooth, holding the structure together and protecting it from further splitting.
  • Root Canal Therapy: If the crack has reached the pulp (the center of the tooth), a root canal is necessary to remove the damaged nerve and prevent an abscess.
  • Extraction: In cases where the fracture extends below the gum line or splits the root, the tooth may be beyond repair, necessitating an extraction and a future replacement, such as a bridge or implant.

💡 Note: Early intervention is the primary factor in saving a cracked tooth. A minor crack that is treated with a simple crown today is far less expensive and less traumatic than a tooth that requires extraction and replacement tomorrow.

Preventing Future Dental Fractures

While some accidents are unavoidable, you can significantly reduce your risk of developing a crack on tooth by adopting healthier oral habits. Wear a custom-made night guard if you are a known tooth grinder; this simple device acts as a cushion, absorbing the forces that would otherwise damage your enamel. Additionally, be mindful of what you eat. Avoid using your teeth as tools to open packages, and try to minimize your consumption of exceptionally hard foods that put your molars under excessive strain. Regular check-ups with your dentist are also vital, as they can identify structural weaknesses before they turn into full-blown fractures.

Taking care of a crack on tooth promptly is the most effective way to ensure your smile remains intact and pain-free. By recognizing the subtle symptoms early and avoiding habits that contribute to enamel stress, you empower yourself to keep your natural teeth for a lifetime. If you suspect your tooth has suffered a fracture, prioritize an appointment with a dental professional who can provide a thorough evaluation and a clear path toward restoration. Maintaining good oral habits and regular check-ups serves as the best defense against long-term dental complications, allowing you to eat, speak, and smile with full confidence.

Related Terms:

  • small crack in front tooth
  • crack on tooth surface
  • treatment options for cracked tooth
  • how to fix cracked tooth
  • fixing cracked teeth
  • crack on side of tooth