Crack In Tooth

Crack In Tooth

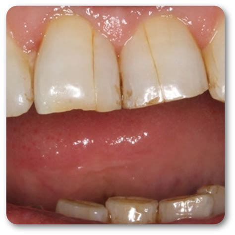
Discovering a crack in tooth can be a source of immediate anxiety, often accompanied by sharp pain, sensitivity, or a feeling that something just isn't right when you bite down. Whether it happened while eating a hard piece of candy, grinding your teeth at night, or simply due to natural wear and tear over the years, a dental fracture is a serious issue that requires professional attention. Ignoring these cracks—even if they seem minor—can lead to severe complications, including infection, abscesses, or even the eventual loss of the tooth itself. Understanding the different types of cracks, recognizing the symptoms, and knowing when to see a dentist is essential for preserving your oral health.

What Causes a Crack in Tooth?

Teeth are strong, but they are not indestructible. Several factors can compromise the structural integrity of your enamel, leading to a crack in tooth. Understanding these causes can help you prevent future damage.

  • Chewing Hard Foods: Biting down on ice, hard candies, popcorn kernels, or nuts can exert excessive force on your teeth.
  • Bruxism: Chronic grinding or clenching of teeth, often during sleep, places immense stress on the enamel, leading to micro-cracks over time.
  • Large Fillings: Teeth with very large fillings have less natural structure remaining, making them more susceptible to fracturing under pressure.
  • Temperature Changes: Rapidly consuming very hot food followed by very cold drinks can cause the tooth to expand and contract, potentially weakening the structure.
  • Trauma: Direct impact to the mouth from accidents, falls, or contact sports is a common cause of sudden fractures.
  • Aging: Over decades, teeth naturally accumulate wear and tear, becoming more brittle as we age.

Identifying Symptoms of a Cracked Tooth

A crack in tooth does not always cause pain, which makes it tricky to identify. Sometimes the crack is so small (a craze line) that it is only visible to a dentist. Other times, the symptoms are unmistakable. Watch for the following warning signs:

  • Sharp pain when biting down or releasing pressure on a tooth.
  • Sensitivity to extreme temperatures, especially cold, that lingers after the stimulus is removed.
  • Intermittent pain while eating or drinking.
  • Swelling of the gums around the affected tooth.
  • A feeling of something catching when your tongue touches the area.

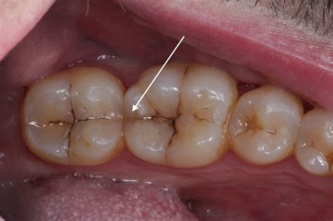
Common Types of Dental Fractures

Not all cracks are created equal. Dentists categorize them based on severity and location. Here is a breakdown to help you understand the potential implications of a crack in tooth:

Type of Crack Description Typical Treatment
Craze Lines Tiny cracks only in the outer enamel. Generally harmless. Usually no treatment needed; cosmetic only.
Fractured Cusp A piece of the tooth's chewing surface breaks off. Often requires a crown to restore the shape.
Cracked Tooth A crack runs from the chewing surface down toward the root. Usually needs a crown to prevent the crack from spreading.
Split Tooth The crack has separated the tooth into distinct parts. Often requires extraction, though sometimes root canal/crown can save a part.
Vertical Root Fracture A crack that begins in the root and moves upward. Often requires extraction of the tooth.

⚠️ Note: If you experience sudden, severe pain combined with fever or swelling in your face or neck, seek emergency dental care immediately, as these may be signs of a serious infection.

What to Do if You Suspect a Crack

If you suspect you have a crack in tooth, time is of the essence. While you wait for your dental appointment, follow these steps to manage the situation and prevent it from worsening:

  1. Schedule an Appointment: Call your dentist immediately. Explain the symptoms clearly, as pain indicates an urgent matter.
  2. Keep it Clean: Gently rinse your mouth with warm salt water after eating to keep the area clean and reduce bacteria.
  3. Manage Pain: Over-the-counter pain relievers can help manage discomfort, but do not place aspirin directly on the gum, as it can burn the tissue.
  4. Modify Your Diet: Avoid chewing on the side of the mouth where the suspected crack is located. Stick to soft foods until you see your dentist.
  5. Use a Cold Compress: If there is facial swelling, apply a cold compress to the outside of your cheek for 10-15 minutes at a time.

💡 Note: Do not attempt to use DIY dental repair kits found online; these are intended for temporary repairs of loose crowns or fillings, not for treating structural fractures within the tooth itself.

Professional Treatment Options

Your dentist will use specialized imaging, such as X-rays or transillumination, to diagnose the extent of the crack in tooth. Based on their findings, they may recommend one of the following treatments:

  • Bonding: For minor cracks, a tooth-colored resin can be used to fill the fracture, restoring its appearance and preventing further damage.
  • Dental Crowns: This is a very common solution for a crack in tooth. A crown (a cap) covers the entire tooth, providing support and preventing the crack from spreading further under the force of chewing.
  • Root Canal Therapy: If the crack reaches the pulp (the inner nerve and blood vessel chamber) and causes infection or severe pain, a root canal is necessary to save the tooth and alleviate the symptoms.
  • Extraction: In cases where the crack is too deep or extends into the root in a way that makes the tooth unrestorable, extraction may be the only option to prevent ongoing pain and bone loss.

Preventing Future Dental Fractures

While some accidents are unavoidable, you can significantly reduce the risk of future fractures by maintaining good oral habits:

  • Wear a Mouthguard: If you grind your teeth at night, a custom-fitted night guard is essential to protect your enamel. If you play contact sports, always wear a mouthguard.
  • Avoid Dangerous Habits: Do not use your teeth as tools to open packages, hold objects, or bite your fingernails.
  • Manage Stress: Since stress often leads to clenching, find healthy ways to manage stress to reduce the physical toll on your jaw and teeth.
  • Regular Dental Exams: Routine check-ups allow your dentist to spot potential weaknesses or early-stage cracks before they become severe, potentially life-altering issues.

Taking prompt action when you detect a crack in tooth is the most important step in saving your tooth and preventing more extensive, costly dental work. While the initial discovery can be concerning, modern dental techniques are highly effective at repairing fractures and restoring function. By addressing the underlying causes, keeping up with regular dental visits, and protecting your teeth from unnecessary stress, you can maintain a healthy, intact smile for years to come. If you have any concerns about a potential fracture, do not hesitate to reach out to your dental professional to schedule an evaluation.

Related Terms:

  • signs of a cracked tooth
  • crack in tooth treatment
  • will a cracked tooth heal
  • hairline crack in tooth
  • is a cracked tooth dangerous
  • signs of crack in tooth