Composite Resin Bonding

Composite Resin Bonding

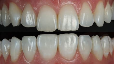
A radiant, confident smile is often the first thing people notice, but many individuals feel self-conscious about minor dental imperfections such as chips, gaps, or discoloration. Fortunately, modern cosmetic dentistry offers minimally invasive solutions that can transform your smile in a single visit. One of the most versatile and popular procedures available today is Composite Resin Bonding. This technique allows dentists to reshape, repair, and brighten teeth with remarkable precision, providing a cost-effective alternative to more invasive treatments like porcelain veneers or crowns.

What is Composite Resin Bonding?

Dentist performing a dental procedure

At its core, Composite Resin Bonding involves the application of a tooth-colored, plastic-based material to the surface of your teeth. The “composite” refers to a mixture of glass and plastic fillers that mimic the natural translucency and strength of tooth enamel. Because the material is malleable, it acts like a sculptural medium, allowing your dentist to mold it into the desired shape before hardening it with a specialized blue light.

Unlike crowns, which require significant filing and removal of natural tooth structure, bonding is generally additive. This means your dentist preserves as much of your healthy tooth as possible, making the procedure much less intimidating for patients who suffer from dental anxiety.

Common Uses for Dental Bonding

The versatility of Composite Resin Bonding is perhaps its greatest strength. It is commonly utilized to address a variety of aesthetic and functional concerns, including:

  • Repairing Chipped Teeth: Restoring the natural edge of a tooth that has been broken due to injury or wear.
  • Closing Gaps (Diastema): Filling in small spaces between teeth without the need for lengthy orthodontic treatments.
  • Discoloration Masking: Covering deep stains that cannot be removed through professional teeth whitening.
  • Reshaping Teeth: Adjusting the length or shape of teeth that appear too short, peg-shaped, or uneven.
  • Protecting Roots: Providing a buffer for tooth roots that have become exposed due to receding gums.

The Procedure: What to Expect

One of the primary reasons patients choose this treatment is the simplicity of the process. In most cases, you won’t even need anesthesia unless the bonding is being used to fill a decayed tooth. The process typically follows these structured steps:

  1. Preparation: Your dentist selects a composite shade that perfectly matches the color of your natural teeth.
  2. Surface Etching: The tooth surface is roughened slightly, and a conditioning liquid is applied. This creates a textured surface that allows the resin to adhere securely.
  3. Application: The putty-like composite resin is applied, molded, and smoothed to the desired shape.
  4. Curing: A high-intensity light (curing light) is used to harden the material.
  5. Finishing: Once the material has set, the dentist trims, shapes, and polishes it to ensure it blends seamlessly with the surrounding teeth.

⚠️ Note: While the procedure is quick, the longevity of your bonding depends on your hygiene. Avoid biting on hard objects like ice, pens, or hard candies to prevent the material from chipping.

Comparing Bonding to Other Cosmetic Treatments

When deciding on a cosmetic dental plan, it helps to look at the differences between bonding and other common options like veneers. The table below outlines these key distinctions:

Feature Composite Resin Bonding Porcelain Veneers
Material Resin Composite Medical-grade Ceramic
Procedure Time One Visit Two or more visits
Durability Moderate (3-10 years) High (10-20 years)
Cost Affordable Higher investment
Reversibility Yes (Minimal prep) No (Enamel is removed)

Maintaining Your New Smile

After your Composite Resin Bonding is complete, the care requirements are quite straightforward. Because the resin is not as stain-resistant as natural enamel or porcelain, it is important to be mindful of your daily habits. Consuming large quantities of coffee, red wine, or tobacco can lead to surface discoloration over time.

To keep your smile looking fresh:

  • Brush and Floss Daily: Treat your bonded teeth just like your natural ones. Maintain a consistent routine to prevent plaque buildup.
  • Regular Check-ups: Schedule bi-annual dental cleanings. During these visits, your dentist can polish the bonding material to remove light stains.
  • Avoid Staining Agents: Limit exposure to substances known to cause staining, especially in the first 48 hours following the procedure.

💡 Note: If you notice any sharp edges or rough spots after the procedure, call your dentist immediately. They can perform a quick, painless adjustment to smooth out the surface.

Is Bonding Right for You?

Choosing Composite Resin Bonding is an excellent way to boost your confidence without undergoing permanent changes to your dental structure. It is an ideal solution for those seeking a quick aesthetic fix. However, it is important to note that bonding is generally intended for small, localized improvements rather than major full-mouth reconstructions.

If you have significant crowding or major bite issues, bonding may only serve as a temporary aesthetic improvement. A consultation with your dental professional is the best way to determine if your specific dental alignment and oral health goals are a match for this procedure. By assessing your bite and the nature of the cosmetic issue, your dentist can ensure you achieve the best possible long-term results for your oral health.

Ultimately, the choice to pursue cosmetic improvement is a personal journey toward enhanced self-esteem and oral health. Composite resin bonding offers a unique balance of affordability, speed, and conservative treatment that makes it a top choice for many patients today. By selecting a skilled cosmetic dentist who understands the artistry behind the procedure, you can achieve a natural-looking smile that seamlessly integrates with your existing teeth. With proper care and regular maintenance, the results of this treatment can remain vibrant and functional for years, providing you with a reliable and aesthetically pleasing way to preserve the beauty of your smile.

Related Terms:

  • dental bonding material
  • permanent dental bonding
  • Resin Bonding
  • Composite Resin Veneers
  • Resin Bonding Teeth
  • Composite Tooth Bonding