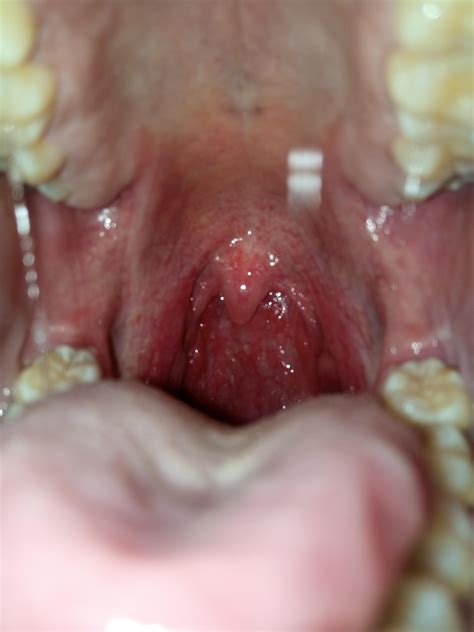
If you have ever peered into a mirror, opened your mouth wide, and noticed a strange, bumpy appearance at the back of your throat, you might have felt a wave of immediate concern. Many people often search for Cobblestone Throat Pictures online to compare their own symptoms with what they see on screen. This textured, grainy appearance—often resembling an old cobblestone street—is a common clinical sign that your body is dealing with some form of chronic irritation or inflammation. While the appearance can look alarming, it is usually a symptom of an underlying condition rather than a disease in itself.
What Exactly is a Cobblestone Throat?
The term "cobblestone throat" refers to the physical changes that occur in the lymphoid tissue located on the back wall of the throat, medically known as the pharynx. Under normal circumstances, the tissue in the back of your throat should look relatively smooth, even if it is slightly pink. When the throat is constantly exposed to irritants, the lymph nodes (part of your immune system) become enlarged and inflamed.
This inflammation creates the characteristic raised, irregular, and bumpy texture that triggers people to look up Cobblestone Throat Pictures. It is essentially your immune system’s way of saying, "I am fighting something off." Because the pharynx is a primary gateway for air and food, it is susceptible to a variety of environmental and biological triggers that lead to this specific appearance.

Common Causes of Throat Inflammation
To understand why this happens, you have to look at what is constantly passing through or residing in your throat. Most of the time, the condition is linked to post-nasal drip or chronic allergies. When your sinuses are inflamed, mucus drains down the back of the throat, acting as a constant irritant to the lymphoid tissue. Other common causes include:
- Chronic Sinusitis: Continuous drainage from infected or inflamed sinuses.
- Allergies: Seasonal or year-round allergies that trigger excessive mucus production.
- Acid Reflux (GERD/LPR): Stomach acid traveling up the esophagus and irritating the delicate tissues of the throat.
- Environmental Irritants: Frequent exposure to cigarette smoke, air pollution, or harsh chemical fumes.
- Chronic Pharyngitis: Persistent inflammation of the pharynx, often due to smoking or recurring infections.
How to Differentiate Symptoms
It is important to know that while you might find Cobblestone Throat Pictures that look similar to your own condition, self-diagnosis can be tricky. Sometimes, what looks like cobblestoning could be a sign of a bacterial infection, such as strep throat, which requires antibiotics. Use this comparison table to identify potential differences:
| Condition | Visual Appearance | Common Accompanying Symptoms |
|---|---|---|
| Cobblestone Throat | Bumpy, grain-like texture on back wall | Post-nasal drip, dry cough, throat clearing |
| Strep Throat | Bright red, patches of white pus | High fever, severe pain, swollen glands |
| Viral Pharyngitis | Generalized redness, mild swelling | Runny nose, sneezing, mild fever |
💡 Note: If you experience high fever, difficulty swallowing, or breathing issues, please consult a healthcare professional immediately rather than relying on online image comparisons.
Managing and Reducing the Appearance
Treating the "cobblestones" usually involves addressing the root cause of the irritation. If you reduce the inflammation, the lymphoid tissue typically returns to its normal size, and the bumpy appearance fades. Here are some effective strategies to help soothe the area:
- Hydration: Keeping the throat moist is essential. Drink plenty of water throughout the day to thin out mucus.
- Saltwater Gargles: This is an age-old remedy that effectively reduces inflammation and clears away irritants.
- Humidifier Usage: Especially during dry winter months, adding moisture to the air can prevent your throat from drying out overnight.
- Avoid Irritants: Steering clear of smoke and avoiding acidic foods that might trigger silent reflux (LPR) can provide relief.
- Manage Allergies: Using over-the-counter antihistamines or nasal sprays as directed by a doctor can stop the post-nasal drip that causes the irritation.
💡 Note: If you are using nasal sprays, limit usage to the period recommended by your pharmacist, as long-term use can sometimes lead to rebound congestion.
When Should You See a Doctor?
While looking at Cobblestone Throat Pictures can provide peace of mind, it shouldn't replace a professional evaluation. If your throat condition is accompanied by red flags, it is time to schedule an appointment. You should seek medical attention if you notice:
- Unexplained weight loss or loss of appetite.
- A lump in the neck that you can feel from the outside.
- Voice changes, such as persistent hoarseness lasting more than two weeks.
- Severe pain that interferes with your ability to eat or drink.
- Visible white or grey patches that do not go away with rinsing.
When you visit a doctor, they will likely use a specialized light or a small camera (laryngoscopy) to get a better view of your throat. This is much more accurate than looking in a mirror or comparing your situation to photos found online. They can determine if the cobblestoning is truly benign or if it is a sign of an infection or other issue that requires targeted treatment, such as antibiotics or stronger reflux medication.
Understanding the nature of your throat’s appearance is the first step toward feeling better. By identifying that a cobblestone throat is generally a reaction to environmental stressors or chronic irritation, you can take active steps to reduce the inflammation. Focus on maintaining proper hydration, identifying environmental triggers, and managing conditions like allergies or reflux to help your throat tissue heal. While the visual of bumpy lymphoid tissue can be unsettling, it is a very common issue that rarely indicates a severe emergency. If you find that the condition persists despite your best efforts to mitigate symptoms at home, seeking professional medical advice will help you get an accurate diagnosis and a personalized care plan to clear up the irritation for good.
Related Terms:
- cobblestone appearance in throat
- cobblestone appearance of pharyngeal mucosa
- back of throat cobblestone
- pharyngeal cobblestone appearance
- cobblestone appearance of pharynx
- cobblestone sore throat pictures