Chronic Multifocal Osteomyelitis

Chronic Multifocal Osteomyelitis

Chronic Multifocal Osteomyelitis, often referred to as Chronic Recurrent Multifocal Osteomyelitis (CRMO) or Chronic Non-Bacterial Osteomyelitis (CNO), is a rare and complex autoinflammatory bone disorder. Unlike typical osteomyelitis, which is caused by a bacterial infection, this condition is characterized by persistent, sterile inflammation of the bone. It primarily affects children and adolescents, leading to recurring episodes of bone pain, swelling, and tenderness that can significantly impact a young person's quality of life. Understanding the nuances of this condition is crucial for patients, families, and healthcare providers to ensure accurate diagnosis and effective management strategies.

Understanding the Nature of Chronic Multifocal Osteomyelitis

The defining feature of Chronic Multifocal Osteomyelitis is the presence of multiple inflammatory lesions within the bone structure without any detectable pathogen. Because there is no bacterial trigger, traditional antibiotic treatments are ineffective. Instead, the condition is now understood to be an autoinflammatory disease, meaning the body’s immune system is essentially attacking its own healthy bone tissue, resulting in chronic cycles of inflammation, bone resorption, and subsequent attempts at tissue repair.

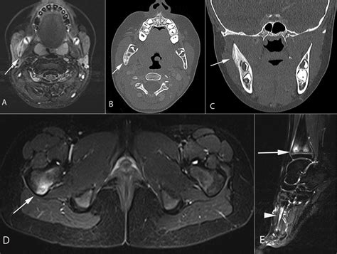
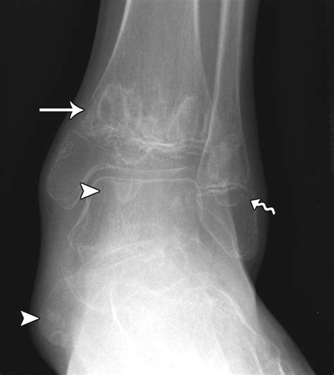
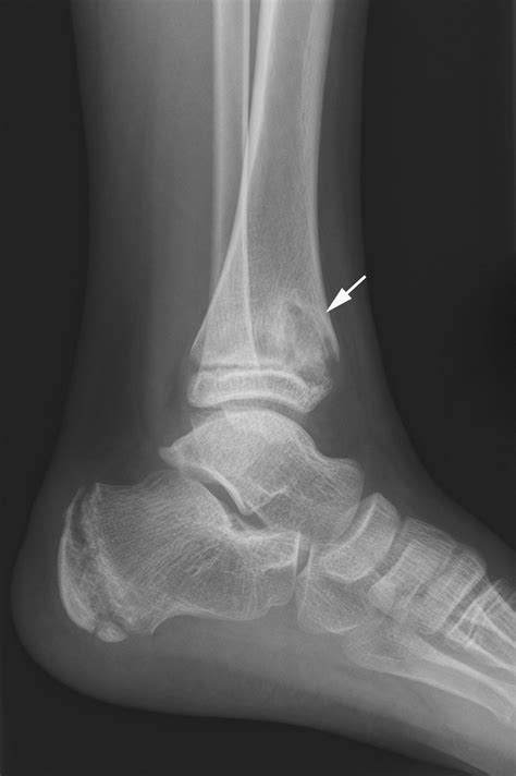
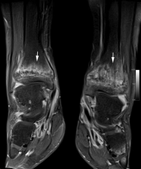
The lesions most commonly appear in the metaphyses of long bones, the pelvis, the vertebrae, and the clavicle. The "multifocal" aspect of the name refers to the fact that these lesions can appear in several locations simultaneously or develop sequentially over time, leading to a frustrating cycle of remission and flare-ups that can last for years.

Medical concept of bone inflammation

Common Symptoms and Clinical Presentation

Recognizing the symptoms of this condition early can prevent unnecessary medical procedures. The clinical presentation is often subtle, mimicking other bone conditions like fractures or even bone tumors. Patients frequently present with the following symptoms:

  • Persistent bone pain: This is often worse at night or after physical activity.
  • Localized swelling: Visible or palpable soft tissue swelling over the affected bone.
  • Tenderness: Pain upon pressure or movement of the affected area.
  • Fever and malaise: While less common than in bacterial infections, systemic symptoms can occur during severe flare-ups.
  • Functional limitation: Limping or reduced range of motion in limbs near the site of the inflammation.

Because these symptoms are intermittent and can wax and wane, many children go through a long diagnostic journey, often misdiagnosed with minor sports injuries or growing pains before a specialized imaging study reveals the underlying inflammatory lesions.

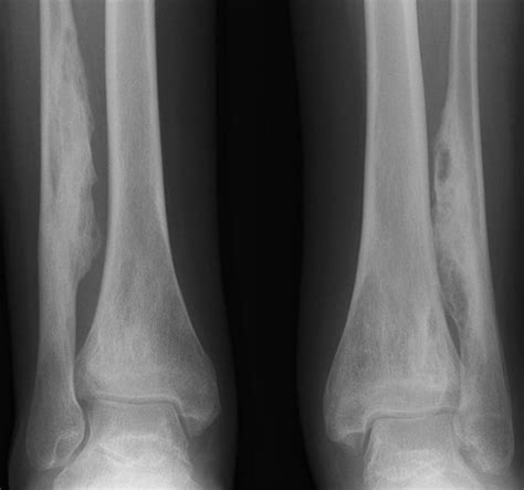
Diagnostic Approach and Imaging

Diagnosing Chronic Multifocal Osteomyelitis is a process of exclusion. Because there is no single laboratory blood test that confirms the diagnosis, physicians rely on a combination of clinical findings, imaging, and, in some cases, a bone biopsy to rule out other more serious conditions like malignancy or bacterial osteomyelitis.

Diagnostic Tool Purpose
MRI (Whole Body) The gold standard for identifying multifocal lesions without radiation exposure.
X-rays Useful for evaluating bone damage, though often normal in the early stages.
Blood Tests Used to check inflammatory markers (ESR, CRP) and rule out bacterial infection.
Bone Biopsy Performed to confirm sterile inflammation and rule out cancer or infection.

💡 Note: A whole-body MRI is highly recommended by specialists to identify asymptomatic lesions that might otherwise go undetected.

Treatment and Management Strategies

The primary goal in managing Chronic Multifocal Osteomyelitis is to reduce inflammation, manage pain, and prevent long-term bone damage or structural deformities. Management is usually multidisciplinary, involving pediatric rheumatologists, radiologists, and sometimes orthopedists.

Treatment plans are highly individualized based on the frequency and severity of symptoms. Common approaches include:

  • Non-Steroidal Anti-Inflammatory Drugs (NSAIDs): Often the first line of treatment to reduce pain and suppress inflammation.
  • Bisphosphonates: Frequently used in cases that do not respond to NSAIDs; these medications help stabilize bone density and reduce bone inflammation.
  • Corticosteroids: Occasionally used for short-term control of severe flare-ups.
  • DMARDs or Biologics: For recalcitrant cases, newer therapies that target specific immune system pathways are being explored with success.

Physical therapy is also a vital component of the treatment plan. Maintaining mobility and strength during periods of pain is essential for preventing muscle atrophy and maintaining joint health, especially when the lesions are located near growth plates.

💡 Note: Always consult with a pediatric rheumatologist regarding long-term therapy, as the potential side effects of medications must be carefully weighed against the benefits of inflammation control.

Lifestyle Considerations for Patients

Living with a chronic bone condition requires adjustments to daily life. While physical activity is encouraged to maintain bone strength, it must be balanced with the need for rest during painful flare-ups. Occupational therapy may be necessary if the condition affects the hands or mobility, providing assistive devices or adaptive strategies to improve daily comfort.

Emotional well-being is equally important. Chronic pain in childhood can lead to feelings of isolation and anxiety. Connecting with support groups dedicated to Chronic Multifocal Osteomyelitis can provide families with valuable resources, peer support, and the latest information on research and clinical trials.

Future Directions in Research

Research into the underlying causes of this disorder is rapidly evolving. Scientists are looking into genetic markers that might predispose individuals to autoinflammatory conditions, which may one day lead to more targeted genetic therapies. As our understanding of the immune system’s role in bone homeostasis grows, so too does the potential for personalized medicine that could put these chronic conditions into permanent remission.

Effective management of this complex condition hinges on a proactive, patient-centered approach. By focusing on early intervention, accurate diagnostic imaging, and a comprehensive treatment strategy, most children can achieve significant improvement in their quality of life. While the path involves navigating periodic flare-ups, modern therapeutic options continue to offer hope for better outcomes. Close collaboration with a specialized medical team ensures that every child receives the tailored care necessary to maintain bone health and physical function throughout their development, allowing them to lead active and fulfilling lives despite the challenges posed by this inflammatory condition.

Related Terms:

  • chronic recurrent multifocal osteomyelitis symptoms
  • chronic multifocal osteomyelitis treatment
  • chronic recurrent multifocal osteomyelitis causes
  • how many people have crmo
  • chronic multifocal osteomyelitis other site
  • crmo disease life expectancy