Chronic Leukaemia Diagnosis

Chronic Leukaemia Diagnosis

Receiving a Chronic Leukaemia Diagnosis can be an overwhelming and life-altering experience. Whether it is Chronic Myeloid Leukaemia (CML) or Chronic Lymphocytic Leukaemia (CLL), understanding the process of how these conditions are identified is the first critical step toward managing your health. Because chronic leukaemias often progress more slowly than acute forms, they are frequently detected during routine check-ups before obvious symptoms even appear. Navigating the medical journey after an initial finding requires patience, clear communication with your healthcare team, and a comprehensive understanding of the diagnostic path ahead.

Understanding Chronic Leukaemia

Leukaemia is a type of cancer that affects the blood and bone marrow, where the body produces an excess of abnormal white blood cells. Unlike acute leukaemia, which progresses rapidly and requires immediate intervention, chronic leukaemia develops slowly, often over months or years. There are two primary types of chronic leukaemia that clinicians look for:

  • Chronic Myeloid Leukaemia (CML): Primarily affects myeloid cells and is often linked to a specific genetic mutation known as the Philadelphia chromosome.
  • Chronic Lymphocytic Leukaemia (CLL): Involves the overproduction of lymphocytes, a type of white blood cell, and is more common in older adults.

Because these conditions evolve gradually, early detection is often accidental—occurring during routine blood tests for other health issues. Recognizing that a Chronic Leukaemia Diagnosis is not an immediate emergency allows patients to process the information and focus on building a sustainable treatment plan with their oncology team.

The Diagnostic Journey: Initial Steps

The diagnostic process begins when a doctor notices irregularities in your blood counts. If you have been feeling unusually fatigued, experiencing unexplained weight loss, or noticing swollen lymph nodes, your general practitioner will likely order initial blood work. If the results are concerning, you will be referred to a haematologist, a specialist in blood disorders.

Diagnostic Test Purpose
Complete Blood Count (CBC) Checks for elevated white blood cell counts and anaemia.
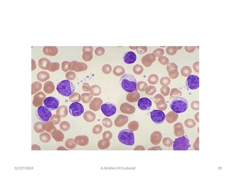
Peripheral Blood Smear Allows a pathologist to examine cell shape and maturity under a microscope.
Bone Marrow Biopsy Provides a sample of bone marrow to determine the exact type and extent of the leukaemia.
Genetic Testing Identifies mutations, such as the Philadelphia chromosome, to tailor treatment.

💡 Note: While a biopsy might sound intimidating, it is the gold standard for confirming a diagnosis and determining the specific subtype of leukaemia you may have.

Interpreting Diagnostic Results

Once the testing phase is complete, your haematologist will review the findings. Interpreting a Chronic Leukaemia Diagnosis involves looking at both quantitative data (cell counts) and qualitative data (genetic markers). In CML, for instance, confirming the presence of the BCR-ABL1 fusion gene is vital because it determines how well you will respond to targeted therapies.

It is important to ask your specialist about the “stage” or “phase” of the disease. In chronic leukaemia, clinicians often categorize the condition into phases based on the percentage of abnormal cells in the bone marrow or blood. Knowing which phase you are in—whether it is the chronic, accelerated, or blast phase—helps the medical team decide whether to start treatment immediately or adopt a “watch and wait” approach.

The Importance of Specialized Care

Once you have received a formal diagnosis, the next step is establishing a long-term relationship with a specialist. Haematologists and oncologists who focus specifically on blood cancers are equipped to provide the most current, evidence-based care. They will monitor your condition closely, adjusting your treatment plan as needed to manage side effects and ensure your quality of life is prioritized.

Living with chronic leukaemia involves a shift in perspective. Many patients find that by staying informed and strictly adhering to their medication schedules, they can maintain a near-normal lifestyle. Regular monitoring through follow-up blood tests ensures that if the disease shows signs of progressing or changing, the treatment plan can be adapted quickly to maintain control.

The psychological impact of a Chronic Leukaemia Diagnosis is as significant as the physical one. It is normal to feel a spectrum of emotions, ranging from anxiety to confusion. Reaching out to support groups or counseling services can be immensely helpful. Connecting with others who are managing similar conditions provides a sense of community and practical tips for navigating the healthcare system.

Practically, it is helpful to keep a health binder. Include all lab reports, lists of medications, and contact information for your medical team. Being organized not only helps you feel more in control but also ensures that every member of your care team is on the same page during every appointment.

⚠️ Note: Always keep a list of your current medications and dosages ready for every appointment, as drug interactions can significantly impact how your body responds to leukaemia treatments.

Looking Toward the Future

Advancements in medical science have transformed the outlook for those receiving a Chronic Leukaemia Diagnosis. Targeted therapies, particularly tyrosine kinase inhibitors (TKIs), have turned what was once a highly aggressive diagnosis into a manageable condition for many people. These medications work by specifically targeting the abnormal cells without harming healthy ones as severely as traditional chemotherapy.

As you move forward, focus on the aspects of your life that remain within your control: your nutrition, your physical activity levels, and your mental well-being. Work closely with your doctor to build a lifestyle plan that supports your treatment. While the diagnosis marks a transition, it does not define the entirety of your life, and with modern medicine, thousands of individuals are living full, productive lives long after their initial diagnosis.

The journey following a chronic leukaemia diagnosis is highly individualized, and the most important takeaway is that you are not alone. By engaging in open dialogue with your haematologist, participating actively in your care plan, and utilizing available support systems, you can navigate this challenge effectively. The focus remains on consistent monitoring, adherence to prescribed treatments, and maintaining a proactive approach to your overall health. As you continue to work with your medical team, remember that advancements in research are constantly refining how these conditions are managed, offering more hope and better outcomes than ever before. Prioritize your mental health alongside your physical care, and remember that taking things one step at a time is the most effective way to manage your long-term health and well-being.

Related Terms:

  • how does leukemia get diagnosed
  • is leukemia hard to diagnose
  • blood tests that indicate leukemia
  • diagnosis of leukemia in adults
  • leukemia diagnosis near me
  • diagnosing leukemia in adults