Chiari Type 2

Chiari Type 2

Receiving a diagnosis of Chiari Type 2, also commonly referred to as Arnold-Chiari malformation type II, can be an overwhelming experience for patients and their families. This complex congenital condition involves structural defects in the base of the skull and the cerebellum, often presenting alongside other significant neurological challenges. Understanding the nuances of this condition—from its developmental origins to its clinical management—is essential for navigating the journey toward effective treatment and improved quality of life. Unlike other types of Chiari malformations, the Type 2 variant is almost exclusively associated with myelomeningocele, a severe form of spina bifida, making its clinical profile unique and requiring specialized multidisciplinary care.

Understanding the Pathophysiology of Chiari Type 2

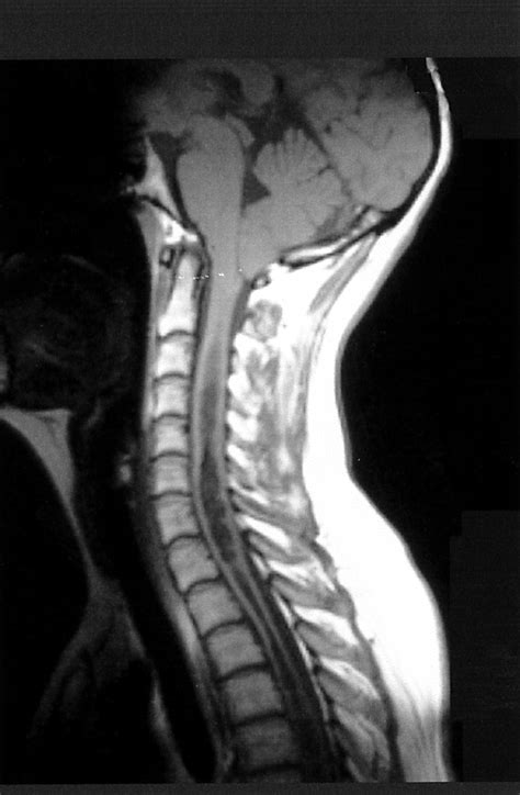
At its core, Chiari Type 2 involves the downward displacement of the cerebellar tonsils, the brainstem, and the fourth ventricle through the foramen magnum, which is the large opening at the base of the skull. This displacement creates a bottleneck effect that interferes with the normal flow of cerebrospinal fluid (CSF). Because this condition is developmental, it typically manifests in infants, as the structural abnormalities are present from birth.

The primary concern with this malformation is the obstruction of CSF circulation, which frequently leads to hydrocephalus—a condition where fluid accumulates in the brain, causing increased intracranial pressure. The structural interplay between the spine and the skull in these patients necessitates a highly coordinated medical approach involving neurosurgeons, pediatricians, and specialized therapists.

Key Clinical Symptoms and Presentation

The clinical presentation of Chiari Type 2 can vary significantly depending on the age of the patient and the severity of the brainstem compression. In infants, the symptoms often manifest differently than in older children or adults. Early identification is crucial for preventing permanent neurological deficits.

  • Respiratory Distress: Infants may exhibit stridor, weak cries, or episodes of apnea, particularly during sleep or feeding.
  • Feeding Difficulties: Difficulty swallowing (dysphagia) or frequent gagging is a hallmark symptom caused by lower cranial nerve involvement.
  • Developmental Delays: Children may show delays in reaching motor milestones due to the underlying neurological compression.
  • Hydrocephalus Indicators: A rapidly increasing head circumference, bulging fontanelle, and irritability are common signs.
  • Spinal Anomalies: Since this is linked to myelomeningocele, patients often present with varying degrees of leg weakness or paralysis.

Diagnostic Approaches

Diagnosing Chiari Type 2 requires advanced medical imaging to visualize the soft tissues of the brain and the integrity of the spinal canal. Because the condition is often identified at birth due to the presence of spina bifida, screening usually begins in the neonatal period.

Diagnostic Tool Purpose
MRI (Magnetic Resonance Imaging) Provides detailed images of the cerebellum, brainstem, and spinal cord to assess the degree of herniation.
Ultrasound Frequently used in infants to monitor ventricular size and the progression of hydrocephalus.
CT Scan Used to evaluate bony structures at the base of the skull and for initial assessments of intracranial pressure.

💡 Note: MRI remains the gold standard for diagnosing Chiari Type 2, as it provides the necessary contrast to distinguish between nervous tissue and surrounding fluid, allowing neurosurgeons to plan surgical interventions with precision.

Treatment and Surgical Interventions

Management of Chiari Type 2 is rarely "one size fits all." For many, the primary goal is to alleviate the pressure caused by fluid accumulation and prevent further damage to the brainstem. Surgical decompression is the most common intervention when symptoms become progressive or life-threatening.

The surgical strategy often focuses on two fronts:

  1. Decompression Surgery: A neurosurgeon removes a small piece of bone at the back of the skull (and sometimes the top of the spinal canal) to create more space for the cerebellum and restore normal CSF flow.
  2. Shunt Placement: If the patient has developed hydrocephalus, a shunt system may be implanted to divert excess CSF away from the brain and into another part of the body, such as the abdominal cavity, where it can be safely absorbed.

Long-term Care and Quality of Life

Living with Chiari Type 2 is a lifelong process that requires consistent monitoring. Even after successful decompression surgery, patients may require ongoing support to manage residual symptoms or developmental challenges. A multidisciplinary care team—comprising neurologists, physical therapists, occupational therapists, and speech-language pathologists—is typically required to maximize the patient's functional independence.

Physical therapy is particularly vital for children who have had myelomeningocele repairs, as it helps in strengthening muscle groups and improving mobility. Occupational therapy aids in managing fine motor skills, while speech therapy is essential for those struggling with the swallowing or speech difficulties often associated with brainstem compression.

💡 Note: Regular follow-up appointments are mandatory. Even if a patient is asymptomatic for a period, imaging studies should be conducted periodically to ensure that the decompression remains effective and that no new structural issues have emerged.

Empowering Patients and Caregivers

Advocacy and education are powerful tools. Joining support groups for families dealing with Chiari Type 2 can provide invaluable emotional support and practical advice. Understanding that this is a manageable condition rather than an insurmountable barrier can help parents and patients approach their medical journey with resilience. Modern surgical techniques and diagnostic tools have vastly improved the prognosis for children born with this condition, allowing many to lead productive, active lives despite the early challenges.

The path forward for those affected by Chiari Type 2 is defined by progress in neurosurgery and a holistic commitment to patient care. By focusing on early detection through prenatal or postnatal screening and adhering to a comprehensive, long-term management plan, families can address the specific medical requirements of the condition head-on. While the diagnosis marks the beginning of a complex journey, it is one supported by an increasing depth of medical knowledge and specialized expertise. Prioritizing regular neurological evaluations and fostering an environment of proactive therapy ensures that children and adults living with this condition have every opportunity to reach their fullest potential, effectively mitigating the impacts of the malformation through science, patience, and consistent medical support.

Related Terms:

  • chiari 2 malformation prognosis
  • chiari malformation
  • chiari type 2 malformation
  • chiari 1 vs 2 malformation
  • chiari type 1 vs 2
  • chiari 2 diagnosis