Calcification In Fetus

Calcification In Fetus

Discovering any unexpected finding during a routine prenatal ultrasound can be a source of significant anxiety for expectant parents. One such finding that occasionally appears on imaging reports is calcification in fetus. While the term itself may sound alarming, it is essential to understand that not all calcifications indicate a serious underlying condition. Medical professionals often approach these findings with a combination of caution and clinical context, looking at the location, extent, and potential causes of these mineral deposits to ensure the best possible care for both mother and baby. By understanding what these findings mean and how they are managed, parents can navigate the prenatal journey with more clarity and less unnecessary distress.

Understanding Calcification in Fetus

At its core, calcification in fetus refers to the accumulation of calcium deposits in various tissues or organs within the developing baby. In a healthy pregnancy, calcium is vital for the development of the fetal skeleton. However, when calcium deposits appear in soft tissues—such as the liver, abdomen, brain, or heart—where it is not typically found, it warrants further investigation by obstetricians and maternal-fetal medicine specialists.

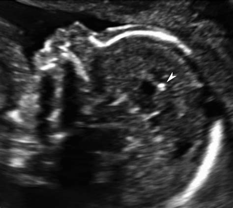
These deposits appear as bright, white spots on an ultrasound, often referred to as "echogenic foci." The medical significance of these spots depends entirely on where they are located and whether they are associated with other abnormalities. In many cases, these calcifications are incidental findings that resolve on their own or have no impact on the long-term health of the child.

Common Locations and Potential Causes

The location of the calcification often provides the most important clues regarding its origin. When specialists identify these spots, they perform a comprehensive assessment to determine if they are isolated incidents or markers of a broader condition.

  • Abdominal/Hepatic Calcifications: These are often found in the liver or peritoneum. They can sometimes be associated with previous infections, such as those caused by viruses (e.g., cytomegalovirus or toxoplasmosis) that have since resolved.
  • Intracardiac Echogenic Foci: Often found in the heart, these are common and frequently benign. While they have sometimes been associated with an increased risk of chromosomal abnormalities (like Down syndrome), in low-risk pregnancies with no other markers, they are often considered a normal variation of development.
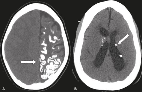
  • Intracranial Calcifications: Found within the brain, these require closer monitoring as they can sometimes, though not always, be linked to congenital infections or certain genetic conditions.
Location General Clinical Significance
Intracardiac Often benign; sometimes a soft marker for chromosomal conditions.
Abdominal/Liver May be related to past resolved infections or Meconium peritonitis.
Intracranial Requires thorough investigation to rule out congenital infections.

The Diagnostic Process

If a doctor identifies calcification in fetus during an ultrasound, they will typically initiate a diagnostic roadmap to gather more information. This is done not to cause panic, but to ensure that no underlying issues are missed. The process usually involves several key steps:

  • Detailed Anatomy Scan: A specialized, high-resolution ultrasound is performed to look for other markers or anatomical anomalies that might be associated with the calcification.
  • Infection Screening: Because some calcifications are caused by infections, doctors may offer blood tests for the mother to check for exposure to viruses like CMV, toxoplasmosis, or rubella.
  • Genetic Counseling/Testing: Depending on the location of the finding, healthcare providers may discuss options for non-invasive prenatal testing (NIPT) or diagnostic procedures like amniocentesis to rule out chromosomal conditions.
  • Serial Monitoring: In many cases, the best approach is to simply monitor the fetus with periodic ultrasounds to ensure the calcification remains stable and that the baby is growing normally.

⚠️ Note: It is vital to consult with a perinatologist or maternal-fetal medicine specialist if such findings occur, as they have the specialized equipment and expertise to interpret these results accurately.

When to Seek Further Clarification

Parents should feel empowered to ask questions whenever they feel uncertain. If you are faced with a diagnosis of calcification in fetus, consider asking your care provider the following questions:

  • What is the exact location of the calcification?
  • Are there any other structural abnormalities seen on the ultrasound?
  • Does this finding change the management of my pregnancy or delivery plan?
  • Is it recommended to see a specialist or undergo additional genetic or infectious disease screening?

In most instances, the presence of isolated calcifications does not result in adverse outcomes. Modern medical technology allows for early detection, which provides parents and doctors with the time needed to investigate and prepare. Focusing on the overall health and growth of the fetus is usually more indicative of a positive prognosis than the presence of a single spot on an ultrasound.

Managing Expectations During Pregnancy

The experience of receiving "abnormal" ultrasound results can be emotionally taxing. It is helpful to remember that ultrasounds are highly sensitive tools designed to pick up even the smallest variations in fetal development. Often, these variations are just that—normal variations—and do not signal a developmental disorder.

Working closely with a dedicated healthcare team ensures that you are receiving the most accurate information available. Avoid the temptation to research every possible outcome online, as this often leads to unnecessary worry and provides information that may not apply to your specific situation. Trust in the expertise of your medical team and prioritize your mental well-being alongside your physical check-ups.

Receiving news about a potential health concern during pregnancy, such as the discovery of calcification in fetus, is undoubtedly a stressful event. However, it is important to remember that these markers are frequently detected and often turn out to be isolated findings with no long-term negative consequences for the baby. By engaging in thorough follow-up scans, speaking openly with specialists, and seeking genetic counseling when advised, parents can gain the necessary perspective and reassurance. The ultimate goal of these diagnostic steps is to monitor the baby’s health and provide peace of mind throughout the remaining weeks of gestation. While every pregnancy is unique, maintaining a proactive and informed relationship with your medical providers remains the most effective way to manage these findings and focus on the health and arrival of your child.