Bunion X Ray

Bunion X Ray

If you have been experiencing persistent pain, swelling, or a visible bump at the base of your big toe, you may be dealing with a hallux valgus, commonly known as a bunion. While physical exams can suggest the presence of this deformity, a Bunion X Ray is the gold standard for clinical diagnosis. This imaging procedure provides orthopedic specialists with a clear look at the internal structure of your foot, helping them determine the severity of the misalignment and the best course of action for long-term relief.

Understanding Why a Bunion X Ray is Necessary

A bunion is not just a simple bump; it is a complex deformity that involves the shifting of bones within the foot. When a doctor orders a Bunion X Ray, they are not just looking for the bump; they are assessing how the metatarsal bone and the phalanges interact. Without an X-ray, it is nearly impossible to tell how much the bones have drifted or whether the joint has begun to show signs of arthritic degeneration.

The primary reasons medical professionals request this imaging include:

  • Measuring the Angle: Doctors measure the Hallux Valgus Angle (HVA) and the Intermetatarsal Angle (IMA) to quantify the severity of the bunion.
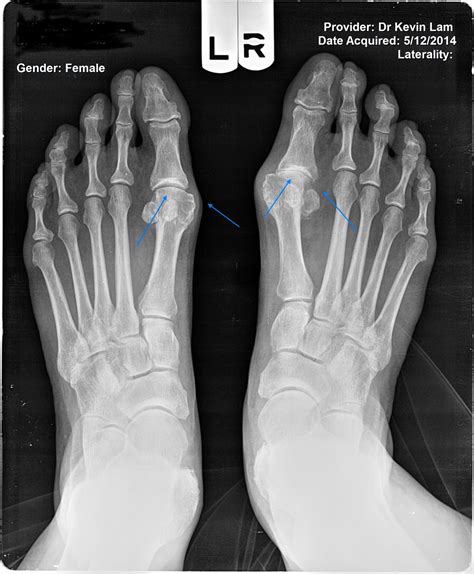
  • Joint Health: Identifying cartilage loss or the presence of bone spurs within the joint space.
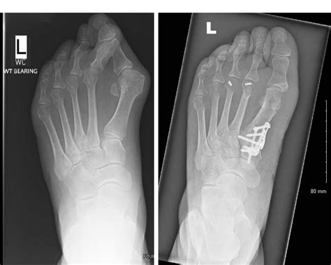
  • Surgical Planning: If surgery is required, the X-ray acts as a blueprint to determine which type of osteotomy or fusion is necessary.
  • Identifying Associated Deformities: Often, bunions coexist with hammertoes or flat feet, which can be identified on the same film.
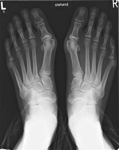
A clinical look at a Bunion X Ray showing bone misalignment

What to Expect During the Procedure

Undergoing a Bunion X Ray is a straightforward, non-invasive process. Most appointments last no longer than 15 to 20 minutes. You will likely be asked to stand on the X-ray plate, as weight-bearing views are significantly more accurate than images taken while sitting or lying down. When you put your weight on your foot, the bones settle into their "functional" position, which is essential for accurate measurement.

⚠️ Note: Always inform your radiologic technologist if there is any chance you are pregnant, as radiation exposure should be avoided unless strictly necessary.

Interpreting Your Bunion X Ray Results

Once the images are captured, a radiologist or your podiatrist will analyze the films. They look specifically at how the first metatarsal bone has deviated away from the second metatarsal. The following table illustrates how medical professionals generally categorize the severity based on the angles derived from the X-ray:

Severity Hallux Valgus Angle (HVA) Clinical Implication
Mild Less than 20 degrees Usually manageable with conservative care
Moderate 20 to 40 degrees May require orthopedic inserts or orthotics
Severe Greater than 40 degrees Often requires surgical intervention to correct

The Role of Weight-Bearing Imaging

One critical aspect of a Bunion X Ray is the weight-bearing requirement. Many patients ask why they cannot simply lie down for the scan. When you lie down, the soft tissues relax, and the skeletal structure may appear more aligned than it actually is when you are walking. By standing, the gravitational force mimics the stress placed on your feet during your daily activities. This allows the doctor to see the true extent of the deformity and how it impacts your foot mechanics.

In addition to the standard top-down view, doctors may also order a lateral view or an oblique view. These extra angles help assess if there is a rotation of the big toe, which is a common component of progressive bunions.

Conservative Management vs. Surgical Options

After your Bunion X Ray is reviewed, your healthcare provider will discuss your treatment plan. If the X-ray shows only a mild shift, the focus is usually on conservative management. This often includes:

  • Switching to wide-toe-box footwear to reduce pressure on the bunion.
  • Using custom orthotics to correct foot alignment and arch support.
  • Physical therapy exercises to strengthen the intrinsic muscles of the foot.
  • Padding or taping to redistribute pressure during activity.

If the Bunion X Ray indicates a severe deformity, or if conservative treatments fail to provide relief, surgical correction may be proposed. Surgery aims to realign the metatarsal bone, remove the bony prominence, and stabilize the joint. Because the bone structure is unique to every patient, the X-ray is the most important tool for a surgeon to visualize the exact alignment needed to restore a pain-free gait.

💡 Note: Early diagnosis through imaging is the best way to prevent the progression of a bunion. If you notice your big toe drifting toward the smaller toes, schedule an evaluation before the deformity becomes fixed.

Preparing for Your Imaging Appointment

To ensure your Bunion X Ray results are clear and useful for your doctor, consider these preparation tips:

  • Wear comfortable, loose-fitting pants that can be easily rolled up above the knee.
  • Avoid wearing jewelry around the ankle or foot, as it may cause artifacts on the image.
  • Bring a copy of your referral or any previous foot X-rays if you are seeing a new specialist.
  • Be prepared to stand still for several seconds for each view to ensure the image is not blurred.

Your journey toward pain-free walking begins with understanding exactly what is happening beneath the skin. By utilizing modern diagnostic tools, you and your podiatrist can create a targeted, effective plan to address your foot health. Whether your scan leads to simple lifestyle changes or a corrective procedure, the information gained from your imaging is the most valuable asset you have in reclaiming comfort and mobility in your everyday life.

Related Terms:

  • bunion radiology
  • orthobullets bunion
  • bunion x ray vs normal
  • bunionette xray
  • bunion correction xray
  • bunion radiopaedia