Buckle Fracture Wrist

Buckle Fracture Wrist

A buckle fracture wrist injury, also known as a torus fracture, is one of the most common types of pediatric bone injuries. It occurs when a child’s bone, which is typically softer and more flexible than an adult’s, compresses or "buckles" under pressure rather than breaking completely through. While seeing your child in pain is distressing, understanding the nature of a buckle fracture can help alleviate anxiety, as these injuries are generally stable and heal very efficiently with the right care.

What is a Buckle Fracture?

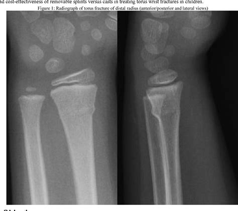
To understand a buckle fracture wrist injury, it helps to visualize a metal pipe being pushed together from both ends, causing the sides to bulge outward. Because pediatric bones are porous and still developing, they often react to trauma by bulging or wrinkling rather than snapping. This is referred to as a "torus" or "buckle" fracture. It is a stable injury, meaning the bone fragments do not move out of place, which significantly simplifies the treatment process compared to more severe fractures.

These injuries are most frequent in children between the ages of 5 and 10. They typically occur after a fall on an outstretched hand, a common occurrence during sports, playground activities, or simply running and tripping. While common, they should still be evaluated by a medical professional to rule out more serious complications.

Recognizing the Symptoms of a Buckle Fracture Wrist

Identifying a buckle fracture wrist can sometimes be difficult because the symptoms may be subtle compared to a complete break. However, if your child has experienced a fall and is exhibiting the following, it is wise to seek medical attention:

  • Localized Pain: The child complains of pain specifically around the wrist area.
  • Tenderness: Gently pressing on the area causes discomfort.
  • Mild Swelling: You may notice slight puffiness around the wrist joint.
  • Limited Motion: Reluctance to move the wrist, grasp objects, or play with that hand.
  • No Significant Deformity: Unlike a major break, the wrist usually looks relatively normal, which is why parents often mistake it for a simple sprain.

Comparison of Wrist Injuries

It is important to distinguish between a buckle fracture and other types of wrist injuries to understand why treatment approaches differ.

Injury Type Description Severity
Buckle Fracture Bone compresses or bulges Stable; Heals well
Greenstick Fracture Bone bends and cracks partially Moderate; Requires monitoring
Complete Fracture Bone breaks all the way through High; May require reduction

Diagnosis and Medical Evaluation

When you bring your child to the emergency room or urgent care, a doctor will perform a physical examination to check for tenderness and range of motion. To definitively diagnose a buckle fracture wrist, the medical team will request an X-ray. Even though the break is small, an X-ray is necessary to confirm that the bone is truly a buckle fracture and not a more severe type that requires specialized attention.

⚠️ Note: If an X-ray is inconclusive, the doctor may treat the injury as a fracture anyway to ensure the safety of the child, as the treatment for a minor buckle fracture is non-invasive and safe.

Treatment and Management

The beauty of treating a buckle fracture wrist is that it rarely requires surgery or complicated procedures. Because the bone is essentially intact and stable, the goal of treatment is simply to provide comfort and prevent further injury while the bone heals itself.

  • Splinting: The wrist is usually placed in a removable splint or a cast. This keeps the wrist immobilized and provides immediate pain relief.
  • Pain Management: Over-the-counter pain relievers such as acetaminophen or ibuprofen are usually sufficient to manage any discomfort. Always follow the pediatrician's dosage guidelines based on your child's weight.
  • Activity Restriction: Your child will need to avoid contact sports or activities that risk further trauma to the wrist until the doctor clears them for normal movement.
  • Follow-up: In many cases, a follow-up appointment is optional if the child is healing well, though this depends on the specific instructions provided by your healthcare provider.

Healing Timeline and Recovery

Most buckle fracture wrist cases heal quite quickly. Typically, the splint or cast is worn for approximately three to four weeks. During this time, the bone stabilizes and begins the natural repair process. It is common for children to feel much better within the first week, leading them to want to use the arm again; however, it is essential to keep the splint on as directed to ensure the bone heals correctly.

Once the splint is removed, the wrist may feel slightly stiff. This is temporary and usually resolves quickly as the child resumes normal daily activities. Physical therapy is rarely required for this type of injury, as children generally regain their full range of motion naturally through play.

💡 Note: Ensure your child keeps the splint dry. If you are using a removable splint, follow specific bathing instructions provided by the doctor to keep the underlying skin clean and healthy.

Preventing Future Wrist Injuries

While accidents happen, taking a few precautions can help minimize the risk of future injuries. Encouraging the use of wrist guards during activities like rollerblading, skateboarding, or snowboarding can provide a crucial layer of protection. Additionally, teaching children safe landing techniques—such as trying to roll rather than sticking an arm out completely straight during a fall—can sometimes help distribute the impact force more evenly, potentially preventing a buckle fracture wrist injury from occurring in the first place.

Ultimately, a buckle fracture wrist diagnosis is manageable and carries an excellent prognosis. By recognizing the signs early, seeking a professional X-ray for an accurate diagnosis, and following the prescribed splinting and rest instructions, you can ensure your child recovers fully. With the healing power of childhood on their side, most children return to their normal, active selves in just a few short weeks, often forgetting they ever had a fracture in the first place. Staying calm and providing consistent support during the recovery period is the best way to help your child navigate this minor bump in the road.

Related Terms:

  • buckle fracture wrist icd 10
  • buckle fracture wrist healing time
  • buckle fracture wrist in adults
  • buckle fracture treatment
  • buckle fracture splint
  • buckle fracture wrist kids treatment