Bucket Handle Meniscus Tear

Bucket Handle Meniscus Tear

Experiencing sudden, intense knee pain accompanied by the sensation that your joint is physically stuck is a hallmark sign of a bucket handle meniscus tear. This specific type of injury is a severe form of a meniscus tear, where a large, vertical piece of the meniscus—the C-shaped cartilage that acts as a shock absorber in your knee—tears and flips into the joint space. Because this torn flap resembles the handle of a bucket, it earned its descriptive medical name. Understanding this injury is critical, as it often requires prompt medical attention to restore knee function and prevent long-term joint damage.

Understanding the Anatomy of a Bucket Handle Meniscus Tear

To grasp the severity of this injury, it helps to visualize the knee joint. Your meniscus is a wedge-shaped piece of fibrocartilage that sits between your thigh bone (femur) and your shin bone (tibia). It distributes weight and stabilizes the joint. When a bucket handle meniscus tear occurs, the inner portion of the cartilage detaches from the main body but remains attached at the front and back. This loose piece can then displace, or “flip,” into the center of the joint, physically blocking the knee from moving normally.

This injury most frequently affects the medial meniscus (the inside portion of the knee) rather than the lateral meniscus. It is commonly associated with high-impact sports, such as soccer, basketball, or skiing, where sudden twisting or pivoting occurs while the foot is planted. However, it can also happen to individuals with degenerative changes in their knee, where the cartilage has weakened over time, making it susceptible to tearing under much lower stress.

Recognizing the Symptoms

The symptoms of a bucket handle tear are typically immediate and quite distinct compared to minor cartilage injuries. Recognizing these signs early is essential for seeking the right orthopedic care.

  • Knee Locking: This is the most common symptom. You feel as though your knee is physically stuck in a bent position and cannot be straightened.
  • Severe Pain: The pain is often acute, especially along the joint line of the knee.
  • Significant Swelling: Within hours of the injury, the knee often becomes swollen due to blood or fluid accumulation (effusion).
  • Limited Range of Motion: You may find it impossible to perform full extension or flexion of the leg.
  • Giving Way: A sensation that the knee is unstable or may collapse when putting weight on it.

Diagnostic Procedures

When you visit an orthopedic specialist, they will conduct a thorough examination to differentiate a bucket handle tear from other knee injuries, such as ACL tears or general sprains. The diagnosis process usually involves several steps:

  1. Physical Examination: The doctor will check for tenderness along the joint line and perform specific maneuvers, such as the McMurray test, to try and elicit the “locking” sensation.
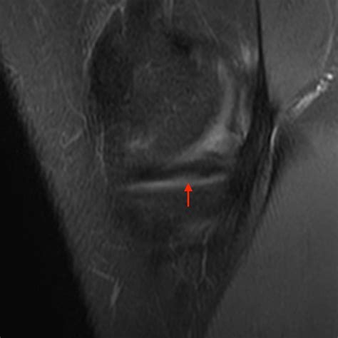
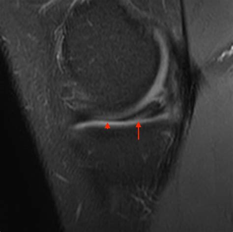
  2. Imaging Tests: While X-rays are useful to rule out bone fractures, they cannot visualize the meniscus. An MRI (Magnetic Resonance Imaging) scan is the gold standard for diagnosing a bucket handle meniscus tear, as it provides detailed images of the soft tissue cartilage.

⚠️ Note: If you suspect a bucket handle tear, avoid trying to force your knee straight. This can exacerbate the tear or damage other structures in the knee. Seek professional evaluation as soon as possible.

Treatment Approaches: Repair vs. Removal

Treatment for this type of injury is almost always surgical, as the displaced flap will continue to impede joint function. Orthopedic surgeons generally aim to preserve as much of the meniscus as possible.

Procedure Type Primary Objective Best For
Meniscal Repair Suturing the torn piece back into place to heal. Younger patients with healthy, repairable tissue.
Partial Meniscectomy Removing the loose, flipped portion of the cartilage. Older patients or tears in the “white zone” (low blood supply).

Surgical Considerations

The choice between repair and removal depends heavily on the location of the tear. The meniscus has two distinct zones: the “red zone,” which has a good blood supply and is more likely to heal after a repair, and the “white zone,” which has very poor blood supply, making repairs less likely to be successful. If the tear is in the white zone, a partial meniscectomy is usually the standard approach.

Recovery and Rehabilitation

Recovery time varies depending on the surgery performed. A partial meniscectomy generally allows for a faster return to activity, often within four to six weeks. Conversely, a meniscal repair requires a much longer rehabilitation period, often involving restricted weight-bearing for several weeks to ensure the sutures remain intact while the tissue heals. Physical therapy is a mandatory component of recovery to restore strength, range of motion, and balance.

💡 Note: Adhering strictly to your physical therapist’s exercise program is the most important factor in returning to your pre-injury activity level without recurring issues.

Prevention and Long-Term Outlook

While not all sports injuries can be prevented, you can reduce your risk by maintaining strong quadriceps and hamstring muscles, which provide stability to the knee joint. Additionally, always prioritize proper warm-up routines and use correct form during athletic activities to minimize undue stress on your knees. With modern surgical techniques and dedicated rehabilitation, the prognosis for returning to an active lifestyle is generally positive, though it is important to monitor the knee long-term to manage the potential for future osteoarthritis.

Managing a bucket handle meniscus tear requires a proactive approach from the moment symptoms appear. Because this injury creates a mechanical blockage, delay in treatment can lead to chronic pain, permanent loss of range of motion, and accelerated wear on the articular cartilage of the joint. By seeking prompt diagnosis via MRI and collaborating with an orthopedic specialist to decide between repair or removal, you can effectively address the physical obstruction. Committing to a structured, post-surgical physical therapy plan is essential to regain full function and strength, ultimately allowing you to return to your daily activities and athletic pursuits safely. Early intervention remains the most effective path toward restoring the structural integrity and health of your knee joint for the future.

Related Terms:

  • bucket handle meniscus repair
  • bucket handle meniscus tear repair
  • bucket handle meniscus tear orthobullets
  • bucket handle meniscus repair protocol
  • bucket handle meniscus tear nhs
  • Knee Injuries Meniscus