What Causes Brown Gums
Cleve

What Causes Brown Gums

1920 × 1080 px February 17, 2025 Ashley Cleve

Noticing brown spots on the teeth can be a jarring experience, often leading to immediate concerns about oral hygiene and aesthetics. While your first instinct might be to assume that poor brushing habits are the sole culprit, the reality is that tooth discoloration is a complex issue with a variety of potential causes. From the simple accumulation of surface stains due to diet to more structural concerns like tooth decay or developmental issues, understanding why these spots appear is the first step toward reclaiming your bright, healthy smile.

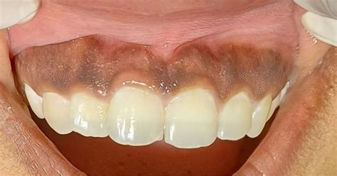
Common Causes of Brown Spots on the Teeth

Close up of teeth with brown spots

The appearance of brown spots on the teeth can range from light tan to dark, almost black discoloration. To effectively treat these spots, you must identify their root cause. Some of the most frequent culprits include:

  • Dietary Stains: Frequent consumption of coffee, black tea, red wine, or dark-colored berries can lead to extrinsic staining on the enamel surface.
  • Tobacco Use: Smoking or chewing tobacco is a leading cause of stubborn brown stains that are difficult to remove with regular brushing.
  • Poor Oral Hygiene: When plaque and tartar are not regularly removed through brushing and flossing, they can harden and take on a brown, yellow, or dark color.
  • Tooth Decay (Cavities): If a brown spot is located within a pit or fissure and feels soft or “sticky” to a dentist, it may indicate a cavity or tooth decay.
  • Fluorosis: Overexposure to fluoride during tooth development in childhood can lead to white, yellow, or brown spots on the permanent teeth.
  • Aging: As the outer layer of enamel wears down over time, the underlying dentin—which is naturally more yellow/brown—becomes more visible.
  • Medications: Certain antibiotics, such as tetracycline, if taken during tooth development, can cause permanent internal staining.

Differentiating Between Surface and Internal Stains

Understanding the distinction between extrinsic and intrinsic stains is crucial for determining the appropriate treatment path. Extrinsic stains exist on the surface of the enamel, usually caused by external factors like food, drinks, and tobacco. Because these stains are superficial, they are often easier to address.

Also read: Face Fat Plastic Surgery

Conversely, intrinsic stains occur inside the tooth structure itself. These are often the result of trauma, excessive fluoride exposure, or certain medications. Intrinsic staining is typically more resistant to standard over-the-counter whitening treatments and usually requires professional intervention to resolve.

Stain Type Primary Causes Treatment Possibility
Extrinsic Coffee, Tea, Tobacco, Plaque Professional Cleaning, Whitening
Intrinsic Trauma, Fluorosis, Tetracycline Veneers, Bonding, Internal Bleaching
Decay-Related Bacterial Infection (Cavity) Dental Filling, Crowns

When to See a Dentist About Brown Spots

While some brown spots are purely cosmetic, others indicate underlying dental health problems that require prompt attention. You should schedule a dental appointment if you notice the following:

  • The spot has a rough texture or appears as a pit/hole in the tooth.
  • You experience sensitivity to hot or cold temperatures in that specific area.
  • The spot appears suddenly or seems to be spreading or darkening over time.
  • You feel pain or discomfort when chewing or touching the affected tooth.

💡 Note: Do not attempt to scrape or "fix" brown spots at home using abrasive tools or unverified DIY remedies, as this can severely damage your protective enamel and lead to permanent tooth sensitivity.

Treatment and Prevention Strategies

The approach to addressing brown spots on the teeth depends entirely on the underlying diagnosis provided by your dental professional. Professional intervention often includes:

  • Professional Dental Cleaning: A hygienist uses specialized tools to remove hardened tartar (calculus) that is causing the brown discoloration.
  • Dental Whitening: For extrinsic surface stains, professional-grade whitening treatments are highly effective.
  • Fillings or Restorations: If the brown spot is a cavity, the decayed area will be removed and filled with a tooth-colored material.
  • Veneers or Bonding: For intrinsic stains that are resistant to whitening, cosmetic solutions like veneers can cover the discoloration and restore a uniform appearance.

Prevention remains the most effective strategy. Maintaining a consistent oral hygiene routine, including brushing twice daily with fluoride toothpaste and flossing once daily, is essential. Additionally, reducing the frequency of sugary or highly acidic snacks and drinks can protect your enamel from erosion and staining.

Lifestyle Adjustments for a Brighter Smile

To minimize the risk of developing new brown spots on the teeth, consider making these simple lifestyle modifications:

  1. Limit Staining Beverages: If you consume coffee or tea, try using a straw to minimize direct contact with your teeth.
  2. Rinse with Water: Rinse your mouth with plain water immediately after eating or drinking staining substances.
  3. Quit Tobacco: If you use tobacco products, seeking professional support to quit will significantly improve both your oral and overall health.
  4. Regular Check-ups: Commit to bi-annual dental visits to catch potential issues early, before they progress into more serious dental concerns.

💡 Note: Certain mouthwashes, particularly those containing chlorhexidine, can cause brown staining on teeth if used for an extended period. Always follow your dentist’s recommendations regarding oral care products.

Addressing brown spots on the teeth is a manageable process when approached with the right information and professional guidance. Whether the discoloration is caused by lifestyle choices, age, or structural dental issues, there are effective ways to restore your smile. By prioritizing consistent oral hygiene, making mindful dietary choices, and seeking regular dental check-ups, you can not only treat existing concerns but also prevent future discoloration, ensuring that your dental health remains in optimal condition for years to come.

Related Terms:

  • brown plaque on teeth
  • brown spots on teeth pictures
  • permanent brown stains between teeth
  • brown spots on teeth reddit
  • brown dots on teeth
  • teeth turning brown near gums

More Images