Brown Spot On Tooth

Brown Spot On Tooth

Finding a brown spot on tooth enamel can be an alarming experience, often leading to immediate worries about cavities or permanent decay. While your first instinct might be to panic, it is important to understand that not every discoloration indicates a dental emergency. Brown spots can arise from a wide variety of causes, ranging from simple surface staining due to diet to deeper issues like structural decay or internal tooth trauma. Identifying the root cause is the first step toward restoring your smile and ensuring your oral health remains in top condition.

Common Causes of Brown Spots on Teeth

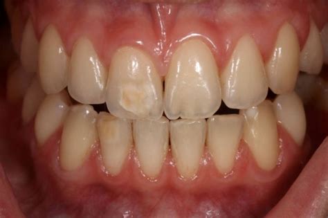
Dental checkup showing a brown spot on tooth

To effectively address the issue, you must first recognize that a brown spot on tooth surfaces can manifest in different ways. Some spots are external, meaning they affect only the outer layer of the enamel, while others are internal, originating from within the tooth structure. Here are the most frequent culprits:

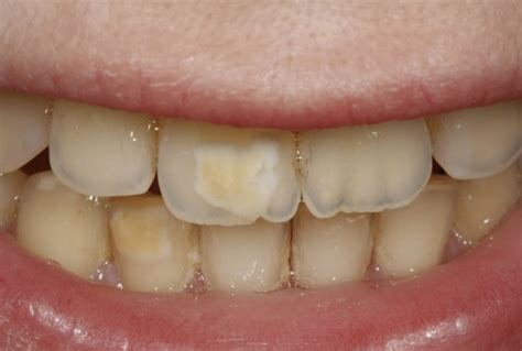
  • Dental Decay (Cavities): This is the most common cause. When bacteria in the mouth produce acid that eats away at the enamel, it creates a lesion that often appears brown or black.
  • Dietary Staining: Frequent consumption of dark-pigmented drinks like coffee, tea, red wine, and cola can leave stubborn surface stains.
  • Fluorosis: Excessive fluoride intake during childhood development can lead to mottled enamel, which may appear as brown or white spots.
  • Tartar Buildup: Plaque that isn’t removed becomes hardened tartar. Tartar is porous and absorbs stains easily, leading to localized brown spots near the gum line.
  • Tobacco Use: Smoking or chewing tobacco causes significant staining that often results in dark brown or even black spots on teeth.
  • Tooth Trauma: If a tooth has been injured, it can suffer internal bleeding or damage to the nerve, resulting in discoloration that appears from the inside out.

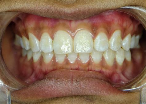
Understanding the Difference Between Stains and Decay

It can be difficult for the untrained eye to distinguish between a simple stain and a serious cavity. However, professional dentists look for specific indicators to determine the severity of the brown spot on tooth enamel. The following table provides a quick reference to help you identify potential signs:

Feature Surface Stain Cavity (Decay)
Texture Smooth to the touch Rough, soft, or pitted
Location Often on multiple teeth Usually localized to one spot
Sensitivity None Pain to cold, heat, or sugar
Ease of Removal Removed by professional cleaning Requires a dental filling

⚠️ Note: If you experience sharp pain or sensitivity when consuming hot or cold liquids, the brown spot is likely a cavity and requires immediate professional attention to prevent further damage.

When to Seek Professional Dental Care

If you notice a brown spot on tooth enamel that does not come off with regular brushing or flossing, it is time to schedule a visit to the dentist. Many people mistakenly believe that whitening strips or professional bleaching treatments can remove all types of spots. While these products are excellent for surface stains, they will not fix structural damage caused by decay. A dentist will perform a physical exam and may take X-rays to see if the brown spot has penetrated the deeper layers of the tooth, such as the dentin or pulp.

Preventive Measures for Long-Term Oral Health

Maintaining a bright, healthy smile involves more than just brushing twice a day. Preventing the formation of a brown spot on tooth surfaces requires a holistic approach to oral hygiene. Consider implementing the following habits into your daily routine:

  • Limit Staining Foods and Beverages: If you drink coffee or red wine, try using a straw to minimize contact with your front teeth and rinse your mouth with water afterward.
  • Use Fluoride Toothpaste: Fluoride helps remineralize enamel, making it more resistant to acid attacks that lead to decay.
  • Consistent Flossing: Many brown spots form between teeth where your toothbrush bristles cannot reach. Flossing daily clears out the bacteria that thrive in these tight spaces.
  • Regular Dental Checkups: Visit your dentist at least every six months for a professional cleaning. This removes hardened tartar that you cannot remove at home.
  • Quit Tobacco Products: Stopping the use of cigarettes or chewing tobacco not only helps prevent dark spotting but also significantly reduces your risk of gum disease and oral cancer.

💡 Note: Electric toothbrushes are often more effective at removing surface plaque and preventing the accumulation of substances that lead to brown spots compared to manual brushing.

Treatment Options for Brown Spots

Once your dentist has diagnosed the cause, they will recommend a treatment plan. For surface stains, a professional dental cleaning or polishing is usually sufficient to restore the natural color of the enamel. If the brown spot on tooth is confirmed to be a cavity, the treatment is more invasive. The dentist will need to remove the decayed portion of the tooth and fill the area with a composite resin, amalgam, or porcelain inlay to restore structural integrity. In cases where the discoloration is due to cosmetic issues like fluorosis, porcelain veneers or dental bonding might be suggested to cover the affected area and provide a uniform aesthetic appearance.

Ultimately, a brown spot on your tooth should not be ignored. Whether it is a harmless surface stain caused by your morning coffee or a sign of an encroaching cavity, early identification is vital for maintaining your dental health. By keeping up with daily oral hygiene, being mindful of your diet, and staying consistent with your biannual dental checkups, you can effectively prevent most forms of discoloration. Should you find a spot that doesn’t disappear with regular brushing, consult a professional to ensure that a minor issue doesn’t evolve into a complex dental procedure. Taking proactive steps today will ensure that your smile stays healthy, bright, and free of unwanted imperfections for years to come.

Related Terms:

  • brown plaque on teeth
  • brown spots on teeth pictures
  • permanent brown stains between teeth
  • brown spots on teeth reddit
  • brown dots on teeth
  • teeth turning brown near gums