Broken Metatarsal Bone

Broken Metatarsal Bone

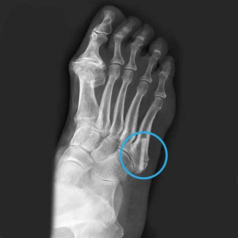
Experiencing a broken metatarsal bone can be an incredibly painful and disruptive event in your daily life. The metatarsals are the five long bones in the midfoot that connect your ankle area to your toes, acting as the foundation for your weight-bearing activities. When one of these bones fractures, the impact on your mobility is immediate. Whether the injury resulted from a sudden trauma, such as dropping a heavy object, or a repetitive stress injury common in athletes, understanding the nature of your break is the first step toward a successful recovery.

Understanding the Anatomy of Metatarsal Fractures

Foot anatomy showing metatarsal bones

The metatarsals are categorized by their location, usually numbered one through five, starting from the big toe side. Because these bones are essential for balance and gait, a fracture in any of them can significantly alter how you walk. While some fractures are stable and heal with minimal intervention, others may be displaced, meaning the bone fragments have shifted out of their normal alignment, potentially requiring specialized care.

Common causes of a broken metatarsal bone include:

  • Direct Impact: Sports injuries, car accidents, or dropping heavy items on the foot.
  • Stress Fractures: Small hairline cracks caused by repetitive force, often seen in runners or dancers who increase intensity too quickly.
  • Twisting Injuries: Sudden pivots that place excessive torque on the midfoot bones.

Recognizing the Symptoms

It is not always obvious that you have a broken metatarsal bone, especially if the injury is a stress fracture. However, acute fractures present with very specific warning signs that you should not ignore. If you notice any of the following, it is imperative to seek professional medical advice as soon as possible:

  • Immediate, sharp pain at the site of the injury.
  • Significant swelling and bruising across the top of the foot.
  • Tenderness when you press down directly on the bone.
  • Difficulty bearing weight or walking without a noticeable limp.
  • Deformity or visible misalignment in the foot.

Initial Treatment and Care

Once you suspect a fracture, the immediate goal is to prevent further damage. The R.I.C.E. method is the gold standard for initial management. Rest your foot completely, Ice the area for 15–20 minutes at a time to reduce inflammation, Compress the area with an elastic bandage, and Elevate your foot above the level of your heart. These steps will help manage the pain while you arrange for a professional examination, which will typically include an X-ray or MRI to confirm the diagnosis.

Type of Fracture Likely Recovery Time Typical Treatment
Stress Fracture 6–8 Weeks Rest, offloading, gradual activity
Stable Acute Break 8–12 Weeks Walking boot, crutches
Displaced/Complex Break 3–6 Months Surgery (ORIF), cast, physical therapy

⚠️ Note: Always consult with a podiatrist or orthopedic surgeon to determine the exact severity of your fracture. Attempting to walk on a broken bone without professional clearance can lead to permanent foot deformities or chronic pain.

Recovery and Rehabilitation Strategies

The journey toward healing a broken metatarsal bone is a test of patience. Depending on the fracture location, your doctor may suggest a stiff-soled shoe, a walking boot (cam boot), or in more severe cases, a non-weight-bearing cast. During this time, it is vital to keep your foot elevated to prevent blood pooling and edema, which can slow down the healing process.

Once the bone begins to knit back together, physical therapy becomes a critical component of your recovery. A therapist will guide you through exercises designed to:

  • Restore range of motion in the toes and ankle.
  • Rebuild muscle strength in the lower leg and foot.
  • Improve balance and proprioception to prevent future injuries.

Managing Pain and Long-Term Health

Pain management is often a priority in the first few weeks. Over-the-counter anti-inflammatory medication is commonly suggested, but always follow your doctor’s dosage instructions. Nutrition also plays an overlooked role in recovery. Ensuring you have adequate intake of Calcium, Vitamin D, and Protein can significantly speed up the rate of bone mineralization. Staying hydrated and avoiding nicotine—which is known to restrict blood flow and impede bone healing—are also essential habits for a quicker return to your daily activities.

💡 Note: Listen to your body during the rehabilitation phase. If a particular exercise causes sharp, localized pain, stop immediately and speak with your physical therapist to adjust the intensity.

Preventing Future Fractures

After recovering from a broken metatarsal bone, many people become fearful of re-injury. You can significantly lower your risk of future issues by focusing on footwear quality. Invest in shoes with proper arch support and cushioning, especially if you engage in high-impact sports. If you are an athlete, remember the “10 percent rule”—never increase your exercise duration or intensity by more than 10 percent per week. This gradual approach allows your bones to adapt to the stress without succumbing to fatigue or fractures.

As you navigate the recovery process, remember that healing is rarely linear. There will be days where progress feels fast and others where the discomfort seems to persist. By following medical guidance, prioritizing rest, and engaging in structured physical therapy, you provide your body with the best environment for bone regeneration. While a broken metatarsal bone is a significant setback, most individuals make a full recovery and return to their normal lifestyle once the bone has properly healed and the surrounding musculature has been sufficiently strengthened through consistent effort and professional care.

Related Terms:

  • broken metatarsal bone treatment
  • broken 1st metatarsal bone
  • 4th metatarsal fracture
  • broken metatarsal bone healing time
  • broken metatarsal bone symptoms
  • healing time for broken metatarsal