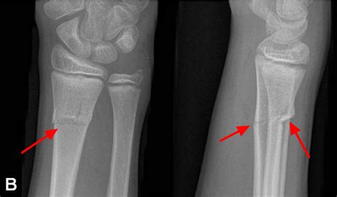
Greenstick Fracture
Cleve

Greenstick Fracture

1815 × 1622 px December 23, 2024 Ashley Cleve

Experiencing an injury can be a traumatic and painful event, and one of the most common questions people ask immediately following an accident is, "Do I have a broken bone or fracture?" While these two terms are often used interchangeably in casual conversation, it is crucial to understand that they mean exactly the same thing. Whether a doctor refers to it as a fracture or a break, it signifies that the continuity of the bone has been interrupted. Identifying the severity and type of injury early is essential for ensuring proper healing, preventing long-term complications, and managing pain effectively. This comprehensive guide will help you understand how to recognize, manage, and treat a bone injury safely.

Understanding the Nature of a Broken Bone or Fracture

In medical terminology, any loss of structural integrity in a bone, ranging from a thin crack to a complete shatter, is classified as a fracture. These injuries can occur due to various reasons, including high-impact trauma, repetitive stress, or weakened bone density caused by conditions like osteoporosis. Understanding the different types of injuries helps in recognizing the gravity of the situation.

Common types of fractures include:

  • Hairline Fracture: A very thin crack in the bone, often difficult to detect without advanced imaging.
  • Simple (Closed) Fracture: The bone is broken, but it has not pierced through the skin.
  • Compound (Open) Fracture: A severe injury where the broken bone penetrates the skin, posing a high risk of infection.
  • Comminuted Fracture: The bone is shattered into three or more pieces.
  • Greenstick Fracture: More common in children, where the bone bends and cracks but does not break completely through.

Recognizing the Symptoms of a Bone Injury

Determining whether you are dealing with a broken bone or fracture rather than a simple sprain or bruise can sometimes be challenging. However, certain hallmark symptoms often indicate that a bone has been compromised. If you experience any of the following, seek professional medical attention immediately:

  • Intense Pain: Pain that is often sharp and localized to the site of the injury, which worsens when pressure is applied or when attempting to move the limb.
  • Swelling and Bruising: Rapid swelling and discoloration (bruising) around the injured area are typical as the body responds to the trauma.
  • Deformity: An unnatural angle or a visible bulge that makes the limb look different from the uninjured side.
  • Inability to Move: An inability to bear weight on the limb or a significantly limited range of motion.
  • Numbness or Tingling: This may indicate nerve involvement and requires urgent medical evaluation.

Initial Steps to Take After an Injury

If you suspect a broken bone or fracture, your priority should be to stabilize the area and seek medical help. Taking the right steps immediately can reduce pain and facilitate easier treatment later.

Follow these immediate actions:

  1. Do not move the person: If the injury is to the back, neck, or hip, do not attempt to move the individual unless absolutely necessary to avoid further damage.
  2. Stop the bleeding: If it is an open fracture, apply direct pressure with a clean bandage or cloth to stop the bleeding. Do not attempt to push the bone back into place.
  3. Immobilize the area: Use a splint (made from rigid material like wood or cardboard) to support the limb in the position it was found.
  4. Apply cold packs: Use an ice pack wrapped in a cloth to help reduce swelling and numb the area, but do not place ice directly on the skin.
  5. Seek professional medical help: Head to the nearest urgent care center or emergency room for an X-ray or imaging to get an accurate diagnosis.

⚠️ Note: If there is an open fracture with bone visible, or if the injured person is experiencing severe shock, loss of consciousness, or heavy uncontrollable bleeding, call emergency services immediately.

Diagnostic Procedures for Fractures

When you arrive at a medical facility, the healthcare professional will perform a physical examination to assess the injury. To confirm a broken bone or fracture, they will utilize various imaging techniques. These tests are essential for determining the precise location, severity, and type of the fracture, which directly dictates the treatment plan.

Imaging Test Purpose
X-ray The primary and most common tool used to visualize the break and alignment of the bone.
CT Scan Provides highly detailed cross-sectional images, often used for complex fractures involving joints.
MRI Used to look at soft tissue damage, such as ligaments and tendons, that may have occurred alongside the bone injury.

Treatment Options for Healing

The treatment for a broken bone or fracture depends entirely on the location and complexity of the break. The ultimate goal is to realign the bone fragments—a process called reduction—and hold them in place so they can heal properly.

Common treatment approaches include:

  • Casts or Splints: For most fractures, a plaster or fiberglass cast is used to immobilize the bone, allowing it to knit back together naturally.
  • Surgical Intervention: In severe or compound fractures, metal plates, screws, or rods (internal fixation) may be required to hold the bones in the correct position while they heal.
  • Traction: Sometimes used to gently stretch the surrounding muscles and tendons to help realign the bone.
  • Physical Therapy: Once the bone has healed sufficiently, rehabilitation is crucial to restore strength, flexibility, and range of motion to the affected area.

💡 Note: Always follow your physician's specific instructions regarding weight-bearing restrictions. Attempting to use the injured limb too early can lead to "non-union" or "mal-union," where the bone fails to heal correctly.

Factors Influencing Recovery Time

Recovery time for a broken bone or fracture varies significantly based on the severity of the injury, your age, nutritional intake, and overall health. Generally, most fractures require anywhere from six weeks to several months to heal completely. Children typically heal faster than adults. To support the healing process, ensure you are getting adequate calcium, vitamin D, and protein, and avoid smoking, which can significantly impair bone regeneration.

In summary, while encountering a broken bone or fracture is a serious matter, prompt identification and proper medical treatment can ensure a smooth recovery. By recognizing the warning signs—such as intense localized pain, swelling, and deformity—you can act quickly to stabilize the injury and seek professional care. Utilizing diagnostic tools like X-rays ensures an accurate assessment, while treatments such as casting or surgical intervention provide the stability needed for the body’s natural repair mechanisms to function. Through patience, strictly following medical advice regarding immobilization, and participating in necessary physical therapy, you can successfully return to your normal activities with full function restored to the affected limb.

Related Terms:

  • what causes a broken bone
  • broken bone medical term
  • symptoms of a broken bone
  • symptoms of a fractured bone
  • broken bones description
  • broken bone meaning

More Images