Broken Ankle Recovery Time

Broken Ankle Recovery Time

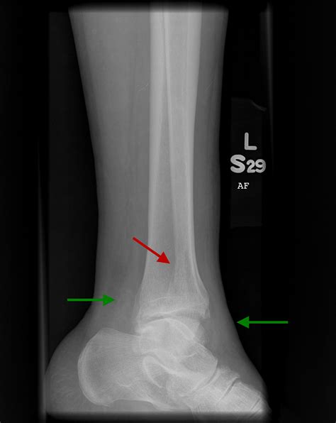
Suffering a fracture can be a daunting experience, and the most common question patients ask their orthopedic surgeons is regarding the expected broken ankle recovery time. Healing is not a one-size-fits-all process; it is a complex journey influenced by the severity of the break, your overall health, and how diligently you adhere to your rehabilitation plan. Understanding the timeline of recovery can help manage expectations and ensure that you are taking the right steps toward regaining mobility and strength.

Factors Influencing Your Recovery Timeline

Before diving into the typical schedule, it is important to recognize that the broken ankle recovery time varies significantly between individuals. What might take one person six weeks could take another three months. Several critical factors play a role in this duration:

  • Severity of the Fracture: A hairline or simple fracture will heal much faster than a complex, comminuted fracture involving multiple bones or displaced fragments that require surgical intervention.
  • Surgical Intervention: If your injury required hardware—such as plates, screws, or rods—to stabilize the bone, your recovery process will include extra time for soft tissue healing around the surgical site.
  • Overall Health and Nutrition: Factors such as smoking, diabetes, advanced age, and poor nutritional intake can significantly impede bone healing and delay the timeline.
  • Adherence to Physical Therapy: Your commitment to the prescribed exercises is perhaps the most important factor in how quickly you regain full function after the bone has knit together.

The Typical Stages of Healing

While every patient is different, the healing process generally follows a predictable biological sequence. The following table provides a general overview of what to expect during the broken ankle recovery time phases:

Phase Timeframe Primary Goal
Acute Phase Weeks 1–2 Pain management and reducing swelling.
Bone Healing Weeks 2–6 Immobilization to allow the bone to knit.
Rehabilitation Weeks 6–12 Restoring range of motion and weight-bearing.
Strengthening Months 3–6 Building muscle strength and endurance.
Full Recovery Months 6–12+ Return to high-impact activities/sports.

⚠️ Note: Always follow your doctor's specific guidance regarding weight-bearing status. Trying to walk on an ankle before it is structurally sound can lead to displacement and further injury.

The Critical Importance of Physical Therapy

Once your doctor confirms that the bone has sufficiently healed, the focus shifts from immobilization to rehabilitation. You will likely begin physical therapy to address the stiffness and muscle atrophy that occur after being in a cast or boot for several weeks. Your physical therapist will design a program to address:

  • Range of Motion: Gentle exercises to help your ankle move fluidly again without the restriction of a cast.
  • Strength Training: Using resistance bands or body weight to rebuild the calf and ankle muscles that have weakened during immobilization.
  • Proprioception and Balance: Re-training your brain and ankle joint to work together, which is crucial for preventing future falls and re-injury.

Do not be discouraged if your ankle feels stiff or weak in the initial sessions. This is a normal part of the process. Consistent effort in these exercises is the fastest way to reduce the overall broken ankle recovery time and return to your daily activities.

Managing Pain and Swelling During Recovery

Swelling is a common challenge during the entire broken ankle recovery time, often persisting long after the bone has healed. To manage this effectively, use the R.I.C.E. method:

  • Rest: Avoid putting unnecessary weight on the ankle until cleared by a professional.
  • Ice: Apply ice packs to the area for 15–20 minutes several times a day to reduce inflammation.
  • Compression: Using an elastic bandage or compression stocking can help minimize swelling.
  • Elevation: Keep your ankle elevated above the level of your heart whenever you are sitting or lying down.

💡 Note: If you experience sudden, intense pain that medication does not relieve, or if your toes turn blue, cold, or numb, seek medical attention immediately, as this could indicate nerve issues or compartment syndrome.

Returning to Daily Activities and Sports

Returning to your normal routine is a milestone that should be approached with caution. While you may feel ready to resume jogging or sports, it is essential to ensure that your ankle is truly ready for high-impact forces. Your doctor will likely perform tests to evaluate your strength and balance before giving the green light for high-impact activities. Prematurely returning to sports can lead to chronic instability or post-traumatic arthritis.

It is helpful to view your recovery as a marathon rather than a sprint. Patience is your best asset. By focusing on quality movement over quantity, listening to your body’s signals, and maintaining consistent communication with your medical team, you will significantly improve your chances of a complete and successful recovery. Remember that while the initial phase requires strict rest, the latter phase requires active participation in your own rehabilitation to regain full function and confidence in your stride.

Related Terms:

  • broken ankle recovery timeline
  • fractured ankle recovery time
  • broken ankle surgery recovery time
  • broken ankle recovery time nhs
  • broken ankle surgery recovery timeline
  • Broken Ankle Recovery