Brain Mri With Contrast

Brain Mri With Contrast

When a physician recommends a brain MRI with contrast, it is often because they need a more detailed look at the structures within your head than a standard MRI can provide. While a regular magnetic resonance imaging (MRI) scan uses powerful magnets and radio waves to create images of the brain's anatomy, the addition of a contrast agent—a special dye—significantly enhances the visibility of certain tissues and abnormalities. This diagnostic procedure is a cornerstone of modern neurology and neurosurgery, helping clinicians diagnose conditions ranging from tumors and infections to inflammatory processes and vascular issues with pinpoint accuracy.

Understanding the Role of Contrast Media

The contrast agent most commonly used in a brain MRI with contrast is a substance called gadolinium. Unlike the iodine-based contrast used in CT scans, gadolinium is generally well-tolerated and poses a lower risk of allergic reactions. When injected intravenously, this contrast material travels through the bloodstream and accumulates in areas of the brain where the blood-brain barrier—a protective network of blood vessels—is damaged or where there is increased blood flow.

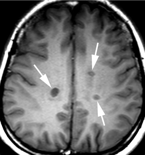
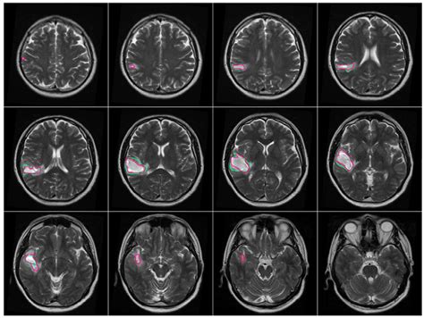
By highlighting these specific areas, the contrast agent allows radiologists to distinguish healthy tissue from diseased tissue. It acts like a spotlight, making lesions, tumors, or areas of inflammation "light up" on the resulting images. Without this enhancement, subtle abnormalities might remain hidden, leading to potentially delayed or incorrect diagnoses.

When Is a Brain MRI With Contrast Necessary?

Not every MRI requires contrast. Physicians weigh the necessity based on your symptoms, medical history, and the suspected underlying condition. A brain MRI with contrast is frequently ordered to investigate:

  • Brain tumors: To determine the size, location, and boundaries of a tumor, as well as how it responds to treatment.
  • Infections: Such as abscesses or meningitis, where inflammation and blood-brain barrier disruption are common.
  • Multiple Sclerosis (MS): To detect active plaques or lesions caused by the disease.
  • Vascular abnormalities: Including aneurysms or arteriovenous malformations, to better visualize blood flow.
  • Unexplained neurological symptoms: Such as persistent headaches, sudden vision changes, seizures, or cognitive decline that remain undiagnosed by other means.

💡 Note: Always inform your radiologist if you have any history of kidney problems, as your kidneys are responsible for filtering gadolinium out of your body. Special considerations are necessary for patients with reduced renal function.

Preparation and Procedure Details

Preparing for a brain MRI with contrast is straightforward, but it requires adherence to specific safety protocols. Because the machine is a large, powerful magnet, you must remove all metal objects, including jewelry, watches, hearing aids, and hairpins. It is also crucial to alert the medical team about any implants, such as pacemakers, metallic clips, or cochlear implants, as these can be hazardous in the MRI environment.

The procedure typically follows these steps:

  1. You will be asked to change into a hospital gown.
  2. A nurse or technician will insert an intravenous (IV) line into your arm.
  3. You will lie on a motorized table that slides into the scanner, which looks like a long, narrow tube.
  4. The technologist will take initial "non-contrast" images.
  5. The contrast agent will be injected through the IV, followed by a second set of images to capture how the contrast interacts with the brain tissue.
  6. The entire process usually takes between 30 to 60 minutes.
Aspect Standard MRI MRI With Contrast
Primary Use Anatomical imaging Detailed pathology/lesions
Contrast Agent None Gadolinium-based
Procedure Time Shorter Slightly longer
Cost Lower Higher (due to dye and time)

Safety and Side Effects

While gadolinium is considered safe, like any medical procedure, it carries some risks. Minor side effects such as nausea, headaches, or a cold sensation at the injection site may occur immediately after the contrast is administered. These reactions are typically transient and resolve quickly. Serious allergic reactions are rare but possible, which is why medical staff monitor you throughout the procedure. Staying hydrated before and after the scan helps your body flush the contrast agent out through your kidneys more efficiently.

Interpreting Your Results

After your brain MRI with contrast is completed, the images are sent to a radiologist—a doctor specialized in interpreting medical scans. They examine the images, comparing the non-contrast and contrast-enhanced sets to identify any anomalies. This analysis is compiled into a formal report, which is then sent to your referring physician. Your doctor will then discuss these results with you, explaining what was found and determining the next steps in your care plan. It is common to feel anxious while waiting for results; however, remember that these scans are intended to provide clarity and guide the most effective treatment path for your unique situation.

💡 Note: While you may be anxious to know the results immediately, the radiologist requires time to thoroughly analyze the complex imaging data to ensure an accurate report for your referring physician.

Ultimately, choosing to undergo this diagnostic test is a proactive step toward understanding your neurological health. By utilizing the advanced imaging capabilities of a brain MRI with contrast, medical professionals can effectively visualize complex internal processes that are otherwise invisible. Whether your doctor is checking for inflammation, assessing tumor growth, or investigating the cause of neurological symptoms, this technology provides the essential data needed to make informed decisions about your health. By following the preparation instructions provided by your clinic and communicating openly with your medical team about your health history, you can ensure the process is safe, efficient, and highly informative, paving the way for the most appropriate clinical intervention.

Related Terms:

  • mri brain with contrast npo
  • mri brain with contrast cpt
  • mri brain with contrast radiopaedia
  • mri brain with contrast indications
  • mri brain with contrast images
  • mri brain with contrast price