Boot Shaped Heart

Boot Shaped Heart

Finding unique ways to express complex emotions often leads us to unconventional metaphors. Among these, the Boot Shaped Heart stands out as a distinct and evocative symbol, blending the rugged durability of a leather boot with the emotional vulnerability represented by the heart. Whether you have encountered this term in literature, art, or perhaps as a piece of folklore, its meaning is deeply rooted in the concept of resilience, travel, and the grounding of one’s feelings. Exploring the layers of this symbol offers a fascinating glimpse into how we project our internal states onto the physical world.

The Origins and Meaning Behind the Symbol

Rustic boots symbolizing a journey

The imagery of a Boot Shaped Heart is rarely found in traditional dictionaries; rather, it is a construct of modern storytelling and personal metaphor. It often represents a heart that has “walked a thousand miles,” suggesting a person who has endured hardships, traveled extensively, or lived a life defined by persistent motion. The “boot” aspect signifies protection, a thick-skinned exterior built to withstand the jagged edges of life, while the “heart” remains the core, sensitive and capable of deep emotion despite the sturdy covering.

When someone describes their heart as boot-shaped, they are usually emphasizing a combination of these traits:

  • Endurance: The ability to keep moving forward despite emotional exhaustion.
  • Grounding: A need to stay connected to reality, represented by the sole of the boot.
  • Vulnerability: A recognition that despite the exterior toughness, the heart is still soft and capable of being wounded.
  • Adventure: A restless spirit that refuses to settle in one emotional state for too long.

Comparing Emotional Metaphors

To understand the depth of this metaphor, it is helpful to contrast it with other common emotional symbols. While a "broken heart" signifies trauma and a "frozen heart" represents detachment, the Boot Shaped Heart implies a journey that is still in progress.

Metaphor Primary Meaning Action Implied
Broken Heart Grief and loss Healing
Boot Shaped Heart Resilience and travel Moving forward
Golden Heart Kindness and purity Giving
Heavy Heart Sadness and burden Carrying

💡 Note: While metaphors are powerful tools for communication, remember that they are subjective. The interpretation of a Boot Shaped Heart can change depending on the cultural context and the personal history of the individual using the term.

Cultivating Resilience Through the Metaphor

Adopting the perspective of having a Boot Shaped Heart can actually serve as a psychological tool for building resilience. When we view our challenges as “miles walked” in our boots, we stop seeing ourselves as victims of our circumstances and begin to see ourselves as travelers on a path. This shift in mindset is crucial for those who feel overwhelmed by their emotions.

Here are several ways to channel this mindset in daily life:

  • Acknowledge the Wear and Tear: Just like boots, our hearts collect scratches and stains. Instead of hiding these, view them as evidence of a life lived authentically.
  • Focus on the Sole: A boot’s sole provides stability. Focus on your grounding practices, such as meditation, physical exercise, or spending time in nature, to keep your heart steady.
  • Know When to Lace Up: Resilience is not about always moving. It is about knowing when to strap in and face a difficult situation head-on.
  • Allow for Maintenance: Boots require cleaning and conditioning to last longer. Similarly, your emotional heart requires self-care, rest, and reflection to remain functional over time.

Creative Expressions of the Boot Shaped Heart

Artistic representation of a heart shape

Artists and writers often gravitate toward this symbol because it is visually grounded. Whether it appears in sketches where a leather boot transitions into the silhouette of a heart or in song lyrics describing a long-distance traveler, the Boot Shaped Heart resonates with anyone who has felt the urge to run yet has remained anchored by their feelings. It is an aesthetic of the road-worn traveler—the person who carries their home in their chest, regardless of where they are currently standing.

This duality—being both a traveler and a feeling being—is what makes the symbol so compelling. It speaks to the human condition of constantly evolving. We change with the terrain we walk on, and our hearts, in turn, adopt the shape of our journeys. If your life has been defined by transitions, relocations, or radical personal shifts, you might find that your own emotional anatomy mirrors this rugged, yet beating, form.

💡 Note: When engaging with creative projects or journaling about your own Boot Shaped Heart, focus on the sensory details. Describe the texture of the "leather" or the "path" you are walking to make the metaphor more tangible for your readers.

Maintaining Emotional Footing in Modern Life

In our fast-paced, digital-first world, maintaining an emotional core that is both resilient and sensitive can be difficult. The Boot Shaped Heart suggests a balance between protection and openness. By being “boot-shaped,” we are protected from the harshness of the world, but we must ensure that the “heart” part is not entirely encased in armor. If we protect ourselves too much, we lose the ability to connect deeply with others.

The goal is to maintain a flexible structure. A good boot is flexible enough to walk comfortably, and a healthy heart must be flexible enough to handle the joys and pains of relationships. If you feel like your metaphorical boots have become too stiff, it may be time to engage in activities that soften your perspective, such as practicing empathy, engaging in creative hobbies, or simply allowing yourself to be vulnerable in safe environments.

Ultimately, the beauty of the Boot Shaped Heart lies in the intersection of grit and grace. It is a reminder that we are built to survive the long haul, even when the terrain is rocky. By embracing this identity, we can move forward with confidence, knowing that our hearts are not just vessels for emotion, but sturdy instruments that carry us through every mile of our existence. Whether you are currently trekking through a period of transition or simply looking to understand your own emotional resilience, remember that the wear and tear are merely signs of a life well-traveled. Keep your laces tied, stay grounded, and keep moving forward with the rhythm of your own uniquely shaped heart.

Related Terms:

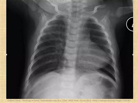
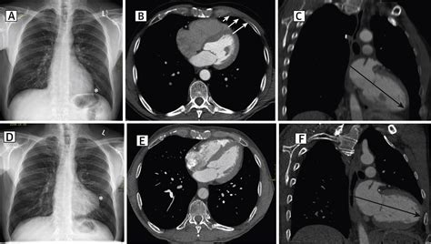
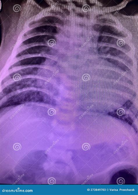
  • xray boot shaped heart
  • tetralogy of fallot
  • boot shaped heart radiology
  • boot shaped heart adult
  • boot shaped heart causes
  • tetralogy of fallot radiopaedia