Metatarsal Bone Spur Treatment
Cleve

Metatarsal Bone Spur Treatment

1920 × 1080 px February 27, 2026 Ashley Cleve

Dealing with persistent shoulder pain can turn simple daily activities—like reaching for a glass on a high shelf or putting on a jacket—into agonizing chores. While there are many potential culprits for this discomfort, one common yet often misunderstood condition is a bone spur shoulder issue. Medically known as an osteophyte, a bone spur is a bony projection that develops along the edges of bones. When these growths occur in the shoulder, they can rub against tendons, ligaments, and nerves, leading to inflammation, restricted movement, and chronic pain.

What Exactly Is a Bone Spur in the Shoulder?

A bone spur shoulder diagnosis typically arises when the body attempts to “repair” itself due to wear and tear. Over time, as cartilage in the shoulder joint wears away due to aging, repetitive motion, or previous injuries, the body produces extra bone to increase the surface area of the joint. Unfortunately, instead of stabilizing the joint, these new bony protrusions often create friction.

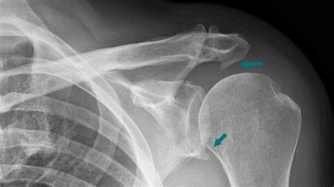
These spurs most commonly form on the acromion, the top part of the shoulder blade. When they form here, they can narrow the subacromial space—the area through which the rotator cuff tendons pass—leading to shoulder impingement syndrome. This condition is essentially a structural conflict where the bone is physically impeding the smooth mechanics of the shoulder joint.

Common Symptoms to Watch For

Recognizing the signs of a bone spur shoulder early can prevent the condition from worsening. While symptoms can vary depending on the location and size of the spur, many patients report the following:

  • Pain during overhead activity: Lifting your arm to comb your hair or reach for items becomes painful.
  • Weakness: You may notice a decrease in strength when trying to lift objects.
  • Nighttime discomfort: Sleeping on the affected shoulder can be particularly difficult and painful.
  • Audible clicking or popping: You might hear or feel a “snapping” sensation when moving your arm.
  • Restricted range of motion: A physical limitation where you simply cannot raise your arm as high as usual.

Risk Factors and Causes

Understanding why these spurs develop is key to management. While age is the primary factor—as most people over the age of 50 may have some level of bone degradation—lifestyle and anatomy also play significant roles.

Factor Impact on Shoulder Health
Aging Natural wear and tear of cartilage leads to joint instability.
Repetitive Motion Athletes or workers who perform constant overhead lifting.
Previous Injury Fractures or dislocations can trigger abnormal bone regrowth.
Genetics Some individuals are predisposed to earlier joint degeneration.

💡 Note: Genetics play a larger role than many realize; if your parents suffered from early-onset osteoarthritis, you should be more proactive about shoulder mobility and strengthening exercises.

Diagnostic Procedures

If you suspect a bone spur shoulder, seeking professional medical advice is essential. A doctor will typically perform a physical examination to test the range of motion and identify areas of tenderness. To confirm the diagnosis, they may use:

  • X-rays: These are excellent for visualizing bone growths and seeing the spacing within the joint.
  • MRI (Magnetic Resonance Imaging): Used to see soft tissues, such as the rotator cuff, to determine if the spur has caused a tear or severe inflammation.
  • Ultrasound: Sometimes used to observe the shoulder in motion to see if the tendon is catching on the bone.

Effective Treatment Pathways

The good news is that not every bone spur requires surgery. Many patients manage their symptoms effectively through conservative, non-invasive treatments. The goal is to reduce inflammation and improve the shoulder’s mechanics.

Physical Therapy

Physical therapy is the gold standard for treating a bone spur shoulder. A therapist will guide you through exercises designed to strengthen the rotator cuff muscles, which can help keep the arm bone centered in the socket and provide more space for tendons, effectively “opening up” the impinged area.

Medication and Injections

Over-the-counter anti-inflammatory medications (NSAIDs) can help manage pain and reduce swelling. In more persistent cases, a corticosteroid injection may be recommended to provide localized, high-potency relief from inflammation, allowing the patient to participate in physical therapy more comfortably.

Surgical Intervention

When conservative treatments fail after several months, doctors may suggest surgery, specifically an arthroscopic acromioplasty. In this minimally invasive procedure, the surgeon uses a small camera and specialized tools to shave down the bony projection, restoring the natural space within the shoulder joint.

⚠️ Note: Surgery should generally be viewed as a final option after at least 3 to 6 months of dedicated physical therapy and conservative management have failed to yield results.

Preventative Strategies

While we cannot stop the clock, we can certainly slow down the wear and tear that leads to bone spur shoulder issues. Maintaining a healthy lifestyle is the best defense:

  • Maintain good posture: Poor shoulder posture can exacerbate impingement. Keep your shoulders back and down.
  • Stay active: Low-impact exercises help maintain blood flow and joint health.
  • Strengthen the support system: Focus on strengthening the muscles around the scapula (shoulder blade) to provide a stable base for the joint.
  • Listen to your body: If you experience sharp, repetitive pain during exercise, modify the movement immediately rather than “powering through.”

Reflecting on Your Recovery Journey

Managing the health of your shoulders is an ongoing process that requires patience and consistency. Whether you are currently dealing with the discomfort of a bone spur or simply looking to prevent future issues, the focus should always remain on maintaining mobility and reducing unnecessary friction within the joint. By incorporating consistent physical therapy, practicing good ergonomic habits, and working closely with your healthcare provider to monitor your progress, you can successfully mitigate pain and regain control over your movement. While the path to recovery may involve setbacks, a proactive approach to shoulder care significantly increases the likelihood of returning to your daily activities with comfort and confidence. Remember that your joints are dynamic structures that respond well to mindful movement and structured support, making it entirely possible to maintain an active lifestyle regardless of age or previous injury.

Related Terms:

  • bone spur shoulder pain
  • bone spurs in shoulder surgery
  • bone spur rotator cuff
  • bone spurs on shoulder joint
  • bony protrusion on shoulder
  • bone spur symptoms shoulder

More Images