Bone On Outside Of Foot

Bone On Outside Of Foot

Have you ever noticed a prominent bone on outside of foot and wondered if it is normal or a cause for concern? Many people discover a bony protrusion along the lateral edge of their foot—usually near the base of the little toe—and immediately assume the worst. While this feature is often just a natural variation in skeletal anatomy, it can sometimes indicate underlying structural issues like a bunionette or accessory bone conditions. Understanding what this bump represents is the first step toward managing discomfort and ensuring your foot health remains in optimal condition.

What Causes a Bone on Outside of Foot?

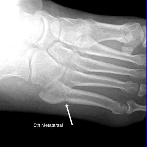
When you feel a hard, protruding bone on outside of foot, it is frequently the fifth metatarsal head. This is the large bone that connects to your pinky toe. In a healthy foot, this bone sits relatively flush with the rest of the foot’s structure. However, several factors can cause this area to become more pronounced, painful, or inflamed.

  • Genetics: Just as you inherit your eye color, your foot shape—including the prominence of certain bones—is often hereditary.
  • Footwear Choices: Wearing shoes that are too narrow in the toe box can press against the outside of the foot, aggravating the bone and causing soft tissue inflammation.
  • Walking Biomechanics: If you tend to roll your foot outward (supination) while walking, you put extra pressure on the lateral aspect of the foot.
  • Bunions (Tailor’s Bunion): A bunionette, often called a tailor’s bunion, occurs when the fifth metatarsal bone drifts outward, creating a bump that can rub against shoe material.
  • Accessory Ossicles: Some individuals are born with an extra, non-essential bone (such as the os peroneum) located near the outer midfoot, which can sometimes be mistaken for a standard foot bone.

Identifying the Symptoms of Lateral Foot Pain

A simple bony bump is often harmless, but if you begin to experience pain, swelling, or redness, it may indicate that the bone on outside of foot is being irritated by daily activities. Recognizing these signs early can help you prevent long-term complications.

Symptom Potential Cause
Redness and skin irritation Friction from tight shoes
Sharp pain during activity Inflammation of the bursa (bursitis)
A visible bony bump that gets larger Progression of a Tailor’s Bunion
Difficulty wearing standard footwear Wide forefoot structure

⚠️ Note: If you experience sudden, sharp pain that prevents you from putting weight on your foot, or if the area appears bruised and swollen after an injury, seek professional medical evaluation immediately to rule out a stress fracture.

Managing Discomfort at Home

If the bone on outside of foot is causing minor irritation, several conservative measures can help alleviate the pressure and reduce inflammation. These steps are generally effective for mild cases of bursitis or irritation caused by footwear.

  • Change Your Footwear: Opt for shoes with a wide, rounded toe box. Avoid high heels or pointed-toe dress shoes that compress the lateral foot.
  • Use Orthotic Inserts: Custom or over-the-counter arch supports can help redistribute pressure away from the outside of the foot.
  • Padding: Use silicone gel pads or moleskin patches specifically designed to cushion the bony prominence inside your shoe.
  • Cold Therapy: Applying an ice pack to the area for 15–20 minutes after a long day on your feet can reduce soft tissue swelling.
  • Anti-inflammatory Medication: Over-the-counter NSAIDs (like ibuprofen) can help manage pain and inflammation under the guidance of a healthcare provider.

When to Consult a Podiatrist

While home remedies are often sufficient for mild cases, persistent or worsening pain necessitates a visit to a specialist. A podiatrist can perform physical exams and utilize imaging, such as X-rays, to see if the bone on outside of foot is the result of a skeletal alignment issue or a soft tissue condition.

Also read: Before And After Photos Of Mohs Surgery On Face

During your consultation, the doctor might discuss advanced treatment options if conservative methods fail, such as:

  • Physical Therapy: Exercises designed to improve foot strength and flexibility.
  • Custom Orthotics: Prescription inserts tailored to the unique biomechanics of your foot.
  • Steroid Injections: To reduce severe localized inflammation.
  • Surgical Intervention: In rare cases where the bone deformity is severe and significantly impacts quality of life, a surgeon may perform a procedure to realign the metatarsal bone.

💡 Note: Always consult with a qualified medical professional before starting any new treatment plan or using corrective devices for your feet, especially if you have underlying conditions like diabetes or circulation issues.

Preventive Strategies for Long-term Foot Health

Maintaining the health of your feet is an ongoing process. To keep that bone on outside of foot from becoming a chronic source of pain, focus on consistent habits. Keep your foot muscles strong through daily stretching and toe-spreading exercises. Always measure your feet regularly, as shoe sizes can change with age, weight fluctuations, or changes in foot arch height. By prioritizing comfort over fashion when selecting daily footwear, you significantly reduce the risk of developing pressure-related deformities.

Understanding the anatomy and common issues associated with the lateral aspect of your foot empowers you to make better choices regarding your footwear and physical activity. Whether your bump is a simple natural variance or a sign of a structural shift, you now have the tools to identify symptoms and manage them effectively. Remember that your feet are the foundation of your movement; keeping them comfortable and pain-free is essential for an active lifestyle. If you ever feel that your comfort is being compromised, prioritize professional guidance to address the root cause and continue walking with confidence.

Related Terms:

  • protruding bone on foot
  • protruding bones outside of foot
  • outside bone on foot hurts
  • bone on side of foot
  • diagram of foot and ankle
  • lateral foot bone prominence