Bile Duct Stent

Bile Duct Stent

Navigating a diagnosis that involves the obstruction of the biliary system can be an overwhelming experience for patients and their families. One of the most effective medical interventions used to restore proper bile flow is the placement of a bile duct stent. This small, tube-like device plays a critical role in managing conditions that cause narrowing or blockage of the bile ducts, such as gallstones, strictures, or malignancies. Understanding what this procedure entails, how the stent functions, and what to expect during recovery is essential for anyone facing this medical journey.

What is a Bile Duct Stent?

A bile duct stent is a synthetic tube—often made of plastic or metal—designed to be inserted into the bile duct to keep it open. The bile duct is a series of thin tubes that transport bile from the liver and gallbladder into the small intestine, where it aids in digestion. When this pathway becomes blocked, bile accumulates, leading to jaundice, severe pain, infection, or liver damage. The stent acts as a scaffold, ensuring that bile can flow freely into the digestive system once again.

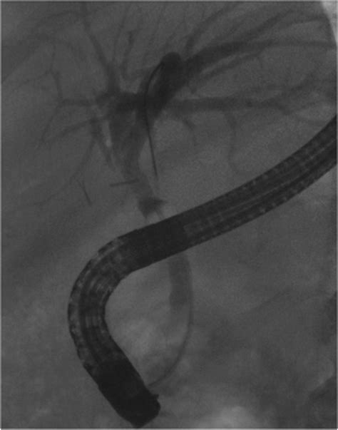
These devices are primarily inserted via a procedure known as Endoscopic Retrograde Cholangiopancreatography (ERCP). During this minimally invasive procedure, a gastroenterologist uses an endoscope—a flexible, lighted tube with a camera—to navigate through the esophagus and stomach into the small intestine, reaching the opening of the bile duct to deploy the stent.

Types of Stents and Their Indications

Medical professionals generally choose between two primary types of stents based on the patient's underlying condition and the expected duration the stent needs to be in place. Each type offers specific advantages depending on the clinical scenario.

Feature Plastic Stents Self-Expanding Metal Stents (SEMS)
Longevity Temporary (usually 3–6 months) Semi-permanent or long-term
Diameter Narrower Wider, better flow
Common Use Benign strictures or gallstones Malignant (cancerous) obstructions
Replacement Easier to remove or swap Harder to remove; often left in place

The choice between these materials is a critical decision made by your healthcare team. While metal stents provide superior patency—meaning they stay open longer—plastic stents are often preferred for benign conditions where the duct is expected to heal or the obstruction is temporary.

The Procedure: What to Expect

The placement of a bile duct stent is usually performed in a hospital setting. Because the procedure involves sedation, patients are generally comfortable and often do not remember the process afterward. The clinical team monitors vital signs closely throughout the procedure to ensure safety.

  • Preparation: Patients are typically required to fast for several hours before the procedure to ensure the stomach is empty.
  • Sedation: An IV line is started, and medications are administered to induce deep relaxation or light sleep.
  • Endoscopic Access: The physician maneuvers the endoscope through the digestive tract.
  • Imaging: Using fluoroscopy (real-time X-ray), the doctor identifies the exact location of the blockage.
  • Deployment: Once the location is identified, the stent is advanced through the endoscope and expanded within the narrowed area of the bile duct.

⚠️ Note: It is vital to inform your doctor about all medications you are currently taking, particularly blood thinners, as these may need to be paused before the procedure to minimize the risk of bleeding.

Recovery and Post-Procedural Care

Most patients recover quickly from the placement of a bile duct stent. Following the procedure, you will remain in a recovery area until the effects of the sedative wear off. Some patients may experience a mild sore throat or mild abdominal discomfort, which is usually temporary.

While the recovery is generally smooth, it is important to follow specific post-procedural guidelines to avoid complications:

  • Activity: Avoid driving or making significant decisions for at least 24 hours due to the lingering effects of sedation.
  • Diet: Your physician will advise on when you can return to a normal diet, typically starting with clear liquids and progressing based on your tolerance.
  • Monitoring: Watch for signs of complications such as severe abdominal pain, high fever, chills, or persistent vomiting. These symptoms should be reported to your doctor immediately, as they could indicate pancreatitis or infection.

Managing Long-Term Stent Health

For patients who require a permanent or semi-permanent bile duct stent, ongoing monitoring is essential. Over time, stents—especially plastic ones—can become clogged with sludge or debris. This is known as stent occlusion. Regular check-ups with your gastroenterologist help track the functionality of the device.

In some cases, stents may need to be exchanged. This involves a repeat ERCP to remove the old stent and insert a new one. Modern technology has significantly reduced the frequency of these exchanges, and many patients live healthy, active lives for years with well-functioning stents. Maintaining a healthy lifestyle, including staying hydrated and following dietary recommendations from a nutritionist, can help reduce the likelihood of sludge buildup around the stent.

Ultimately, the decision to undergo this procedure is a proactive step toward improving quality of life and preventing the serious systemic complications associated with biliary obstruction. By understanding the function of the bile duct stent, the procedural process, and the necessary aftercare, patients can feel more empowered and prepared throughout their treatment journey. Always maintain open communication with your medical team regarding any new symptoms or concerns. With proper management and regular clinical oversight, the majority of patients experience significant relief from the symptoms of biliary blockage, allowing for a much better overall prognosis and return to daily activities.

Related Terms:

  • bile duct stent ct
  • bile duct stent complications
  • bile duct stent surgery
  • bile duct stent icd 10
  • bile duct stent removal procedure
  • bile duct stent removal