Bilateral Facet Hypertrophy

Bilateral Facet Hypertrophy

Experiencing persistent back pain can be an incredibly frustrating and debilitating journey. Among the various potential causes, Bilateral Facet Hypertrophy is a frequent diagnosis, particularly in aging populations. When you receive this diagnosis, it often sounds intimidating, yet it is a common condition resulting from the body's natural response to wear and tear. Understanding what this condition is, how it affects your spinal mobility, and the various treatment avenues available is the first essential step toward managing your symptoms and reclaiming your quality of life.

Understanding Bilateral Facet Hypertrophy

To grasp what Bilateral Facet Hypertrophy means, it is helpful to break down the anatomy of your spine. Your spine is made up of individual bones called vertebrae. Connecting these vertebrae are small, paired joints known as facet joints. These joints act as hinges, allowing your spine to bend, twist, and flex while providing stability.

The term "bilateral" indicates that the condition is occurring on both sides of the spine. "Hypertrophy" refers to an enlargement or thickening of tissue. Therefore, Bilateral Facet Hypertrophy occurs when these facet joints become enlarged due to chronic stress, aging, or osteoarthritis. As the joints enlarge, they can crowd the spinal canal or the spaces where nerves exit the spine, leading to inflammation, pain, and sometimes neurological symptoms.

Common Causes and Risk Factors

The primary driver behind this condition is typically the natural aging process. As we get older, the cartilage that cushions the facet joints begins to wear down. To compensate for this loss of cushioning and to maintain stability, the body may produce extra bone—a process often referred to as bone spurs or osteophytes. This causes the joint to thicken and become hypertrophic.

Several factors can accelerate this process, including:

  • Advancing Age: The most significant risk factor, as spinal wear and tear accumulates over time.
  • Repetitive Stress: Occupations or sports that require heavy lifting, frequent bending, or twisting can put excessive strain on facet joints.
  • Obesity: Excess weight increases the mechanical load placed on the spinal joints, accelerating degeneration.
  • Poor Posture: Chronic misalignment of the spine places uneven pressure on specific facet joints.
  • Genetics: Some individuals are genetically predisposed to develop arthritis or degenerative spinal changes earlier in life.

Recognizing the Symptoms

Symptoms of Bilateral Facet Hypertrophy vary widely depending on the severity of the joint enlargement and whether nearby nerves are being compressed. It is not uncommon for individuals to have this condition and experience no symptoms at all, but when they do arise, they often include:

  • Localized back or neck pain, usually centered over the spine.
  • Stiffness, particularly in the morning or after periods of inactivity.
  • Pain that intensifies when leaning backward (extension) or twisting.
  • Pain that is relieved by leaning forward (flexion).
  • Radiating pain, tingling, or numbness if the enlarged joints cause spinal stenosis (narrowing of the spinal canal) and compress nerve roots.

Diagnostic Procedures

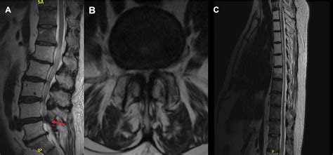
If you suspect you have this condition, a physician will typically perform a physical examination to test your range of motion and identify areas of tenderness. To confirm a diagnosis of Bilateral Facet Hypertrophy, imaging studies are essential.

Imaging Modality Purpose in Diagnosis
X-Ray Provides a basic view of bony structures to detect arthritis, bone spurs, and alignment issues.
MRI Offers detailed views of soft tissues, helping to see if the hypertrophic joints are compressing nerves or the spinal cord.
CT Scan Excellent for visualizing detailed bone anatomy and the exact extent of facet joint enlargement.

Management and Treatment Options

The good news is that Bilateral Facet Hypertrophy is rarely a condition that requires emergency intervention. Most patients achieve significant relief through conservative, non-surgical treatment methods designed to reduce inflammation, improve flexibility, and strengthen the supportive structures of the spine.

Conservative Approaches

Conservative care is almost always the first line of defense. This may include:

  • Physical Therapy: This is the cornerstone of treatment. A therapist can design a program focused on core strengthening to stabilize the spine and stretching to improve flexibility.
  • Pain Management: Over-the-counter anti-inflammatory medications (NSAIDs) can help reduce pain and inflammation.
  • Lifestyle Modifications: Maintaining a healthy weight reduces the mechanical burden on your facet joints. Ergonomic adjustments at work can also significantly alleviate daily strain.
  • Epidural Steroid Injections: If pain is severe, a doctor may suggest an injection directly into or near the facet joint to provide targeted relief from inflammation.

💡 Note: Always consult with a healthcare professional before starting any new exercise regimen to ensure that the movements are safe for your specific spinal condition.

Advanced Interventions

When conservative treatments fail to provide adequate relief after several months, more advanced options may be considered, such as:

  • Radiofrequency Ablation (RFA): A minimally invasive procedure that uses heat to temporarily disable the nerve endings that transmit pain signals from the facet joints to the brain.
  • Surgical Intervention: Surgery is typically reserved as a last resort, usually only considered if the Bilateral Facet Hypertrophy is causing severe nerve compression or instability that does not respond to other treatments. Procedures might include decompression or, in cases of significant instability, spinal fusion.

Living with the Condition

Managing this condition is largely about long-term maintenance. Learning to move in ways that minimize stress on your spine is vital. This includes practicing proper lifting techniques, such as lifting with your legs rather than your back, and incorporating low-impact exercises like swimming, walking, or cycling to maintain fitness without jolting the spine. Consistency with home exercise programs is key to preventing flare-ups and maintaining mobility over the long term.

While a diagnosis of Bilateral Facet Hypertrophy signifies that your spine is undergoing structural changes associated with age, it is important to remember that it does not mean your active life is over. Through a combination of patient education, diligent physical therapy, lifestyle adjustments, and appropriate medical management, many individuals continue to lead full, active, and relatively pain-free lives. By staying proactive about your spinal health and working closely with your healthcare team, you can effectively manage the symptoms, minimize the impact on your daily routine, and maintain a high quality of life for years to come.

Related Terms:

  • mild bilateral facet hypertrophic change
  • severe bilateral facet joint hypertrophy
  • multilevel facet hypertrophy bilaterally
  • facet hypertrophy l5 s1 symptoms
  • severe lower lumbar facet hypertrophy
  • severe bilateral facet hypertrophy