Before And After Dental Implants

Before And After Dental Implants

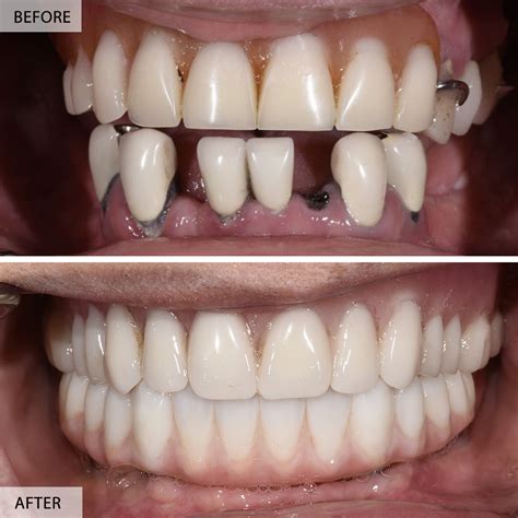
Losing a tooth is more than just an aesthetic concern; it impacts your ability to eat, speak comfortably, and maintain long-term oral health. For many, the journey toward restoring their smile begins with researching Before And After Dental Implants results. Understanding the transformative nature of this restorative procedure can provide clarity and confidence if you are considering dental surgery. Dental implants are widely considered the gold standard in tooth replacement because they mimic the structure of natural teeth, offering stability, durability, and a remarkably natural appearance that bridges the gap between losing a tooth and regaining a fully functional smile.

Understanding the Dental Implant Process

The journey toward achieving significant Before And After Dental Implants improvements is a systematic, multi-phase process designed to integrate seamlessly with your jawbone. Unlike dentures or bridges, which merely sit on top of the gums, implants function as artificial tooth roots. This process ensures that the replacement tooth is anchored securely, preventing the bone loss that often follows tooth extraction.

  • Initial Consultation: Your dentist will perform a comprehensive exam, including X-rays and 3D imaging, to determine if you are a candidate for the procedure.
  • Implant Placement: During a minor surgical procedure, the titanium post is placed into the jawbone. This phase requires a healing period—known as osseointegration—where the bone fuses with the implant.
  • Abutment Attachment: Once the implant has integrated, a small connector, called an abutment, is placed on the post.
  • Crown Restoration: Finally, a custom-made crown is attached to the abutment, perfectly color-matched to your natural teeth.

💡 Note: While the entire process may take several months, the long-term benefits of bone preservation and functional restoration make it a highly worthwhile investment for most patients.

Why Patients Choose Dental Implants

When reviewing Before And After Dental Implants galleries, it is easy to focus solely on the aesthetic outcome. However, the functional advantages are often what patients appreciate most in the years following their surgery. Because the implant is anchored into the jaw, it prevents the neighboring teeth from shifting and supports the underlying facial structure, which can prevent the "sunken" look associated with long-term tooth loss.

Feature Dental Implants Traditional Dentures
Stability High (Fixed) Lower (Removable)
Bone Health Preserves Bone Causes Bone Loss
Comfort Natural Feel May Cause Irritation
Longevity Long-term/Permanent Requires Frequent Replacement

What to Expect in the Before And After Dental Implants Journey

The visual difference observed in Before And After Dental Implants transformations is often startling. In the "before" phase, patients frequently deal with gaps that cause self-consciousness or difficulty chewing specific foods. After the procedure, the replacement tooth fills the space with precision.

However, the recovery period is a crucial aspect of this transition. Initially, there will be some mild swelling and discomfort, which is easily managed with prescribed medication. As the surgical site heals, the transformation moves from functional recovery to the final aesthetic reveal. Once the custom crown is fitted, the difference is often indistinguishable from natural teeth, allowing patients to smile, laugh, and eat without hesitation.

Essential Care Tips for Your New Smile

Maintaining your results is straightforward, but it requires commitment to good oral hygiene. Even though implants cannot get cavities, the surrounding gum tissue remains vulnerable to periodontal disease. To ensure your Before And After Dental Implants results remain pristine, follow these guidelines:

  • Brush twice daily: Use a soft-bristled toothbrush to clean around the gum line and the crown.
  • Floss regularly: Interdental brushes or specialized floss are essential to remove plaque between the implant and natural teeth.
  • Schedule regular checkups: Visit your dentist for professional cleanings to monitor the health of your implants and ensure everything is functioning correctly.
  • Avoid harsh habits: Do not use your teeth as tools to open packages or bite down on hard objects like ice, which can damage the crown.

💡 Note: Smoking can significantly hinder the healing process and increase the risk of implant failure. It is highly recommended to quit or avoid smoking before and after the procedure to ensure optimal integration.

Managing Expectations and Potential Risks

While the success rate for dental implants is incredibly high, it is important to be realistic about the process. Factors such as overall health, bone density, and lifestyle habits play a major role in the outcome. Patients with uncontrolled diabetes or those who smoke may have a higher risk of complications. Your dental professional will conduct a thorough medical history review to mitigate these risks. By selecting an experienced surgeon and following post-operative care instructions, you significantly increase the likelihood of a successful, life-changing outcome.

The investment in your oral health through dental implants offers a unique combination of aesthetic beauty and physiological necessity. By replacing missing teeth, you are not merely restoring a smile; you are restoring the integrity of your entire dental arch. The transition from the “before” state of tooth loss to the “after” reality of a permanent, secure implant often marks a significant improvement in a patient’s overall quality of life, boosting both self-esteem and nutritional intake. As you weigh the options for tooth replacement, remember that the goal is a restoration that feels, acts, and looks as close to your natural teeth as modern dentistry allows.

Related Terms:

  • full mouth implants pictures
  • pictures of dental implant healing
  • picture of a dental implant
  • picture of dental implant post
  • implant before and after pictures
  • pictures of tooth implant procedure