Ascending Aorta Dilatation

Ascending Aorta Dilatation

Ascending Aorta Dilatation is a medical condition characterized by the widening or bulging of the upper portion of the aorta, the largest artery in the human body. As the main vessel responsible for carrying oxygen-rich blood from the heart to the rest of the body, the aorta is under constant pressure. When the walls of this vessel weaken, the diameter of the segment nearest to the heart—the ascending aorta—begins to expand. While this condition can be asymptomatic for long periods, it is a significant health concern because it increases the risk of life-threatening complications, such as aortic dissection or rupture. Understanding the root causes, diagnostic methods, and management strategies is vital for patients and those concerned about their cardiovascular health.

Understanding the Causes and Risk Factors

The development of ascending aorta dilatation is rarely the result of a single factor. Instead, it is usually a cumulative process involving structural weakness in the aortic wall. Over time, factors such as chronic high blood pressure (hypertension) can put excessive strain on the arterial walls, leading to wear and tear. Furthermore, genetic predispositions play a major role in how the tissue of the aorta maintains its integrity.

Several common risk factors include:

  • Genetic Connective Tissue Disorders: Conditions such as Marfan syndrome, Ehlers-Danlos syndrome, and Loeys-Dietz syndrome directly affect the structural proteins in the aorta.
  • Chronic Hypertension: Uncontrolled high blood pressure places sustained stress on the aortic wall.
  • Bicuspid Aortic Valve: A congenital heart defect where the aortic valve has two leaflets instead of three, which is strongly associated with aortic dilation.
  • Smoking and Aging: The natural aging process, compounded by tobacco use, accelerates the degradation of elastic fibers within the arterial walls.
  • Inflammatory Conditions: Diseases like giant cell arteritis can cause inflammation that weakens the aorta.

Diagnostic Approaches and Monitoring

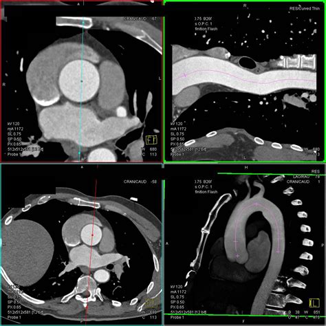
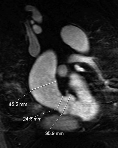
Because ascending aorta dilatation often lacks clear physical symptoms, it is frequently discovered incidentally during diagnostic imaging for other conditions. When doctors suspect aortic enlargement, they rely on advanced imaging technologies to determine the exact diameter of the vessel and monitor any progression over time.

Diagnostic Tool Purpose
Echocardiogram Provides a non-invasive view of the heart and the base of the ascending aorta.
CT Angiography (CTA) Uses contrast dye to create detailed 3D images of the aorta.
Magnetic Resonance Angiography (MRA) Offers highly accurate measurements without exposure to ionizing radiation.

⚠️ Note: Regular monitoring through routine imaging is essential for patients with mild to moderate dilation to ensure the condition does not reach a size where surgical intervention becomes necessary.

Management and Treatment Strategies

The management plan for ascending aorta dilatation depends heavily on the size of the aorta, the rate of growth, and the underlying cause. For many individuals, early-stage dilation does not require immediate surgery. Instead, the focus shifts to lifestyle modifications and medical therapy aimed at reducing stress on the heart and blood vessels.

Medical Therapy

The primary goal of medication is to lower systemic blood pressure and heart rate. Physicians often prescribe:

  • Beta-Blockers: These help reduce the force of the heartbeat, thereby decreasing the pressure against the aortic wall.
  • ARBs (Angiotensin II Receptor Blockers): These have shown potential in slowing the progression of aortic expansion, particularly in patients with Marfan syndrome.

Surgical Intervention

Surgery is typically recommended when the diameter of the aorta exceeds specific thresholds—usually 5.0 cm to 5.5 cm, depending on the patient’s underlying genetic risk factors. Surgical options involve replacing the dilated segment with a synthetic graft to reinforce the vessel wall and prevent rupture.

💡 Note: Patients diagnosed with this condition should avoid heavy weightlifting or high-intensity isometric exercises, as these activities can cause sudden, dangerous spikes in blood pressure.

Living with Aortic Dilation

Living with a diagnosis of ascending aorta dilatation requires a proactive approach to heart health. It is not necessarily a life-limiting condition, but it does necessitate a strict adherence to medical guidance. Patients are encouraged to adopt a heart-healthy diet, manage stress levels, and maintain regular follow-up appointments with a cardiologist. By keeping blood pressure within the target range and strictly following recommended lifestyle changes, many individuals successfully stabilize their aortic condition and prevent further complications. Open communication with your healthcare provider is the most effective way to navigate the long-term management of this condition, ensuring that any changes in the size of the aorta are detected and addressed early through timely clinical intervention.

Related Terms:

  • ascending aorta dilatation icd code
  • ascending aorta dilatation icd
  • ascending aorta dilatation abbreviation
  • ascending aorta dilatation guidelines
  • ascending aorta dilatation definition
  • ascending aorta dilatation treatment