Aortoiliac Occlusive Disease

Aortoiliac Occlusive Disease

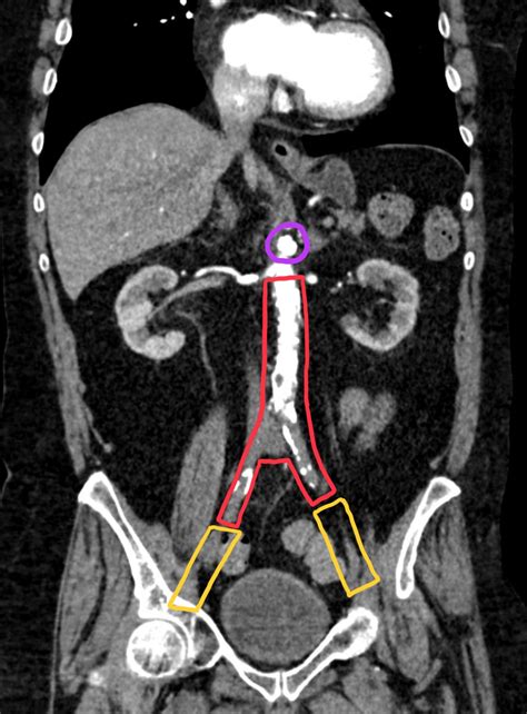
Aortoiliac Occlusive Disease (AIOD), often referred to as Leriche syndrome when it involves the complete occlusion of the distal abdominal aorta, represents a severe form of peripheral artery disease (PAD). This condition occurs when the iliac arteries—the major vessels that branch off the abdominal aorta to supply blood to the lower extremities—become narrowed or blocked due to the accumulation of plaque. Because these vessels serve as the primary "highway" for oxygen-rich blood traveling to the legs, any obstruction can lead to debilitating symptoms, ranging from intermittent claudication to critical limb ischemia. Understanding the nuances of this condition, from early warning signs to modern intervention strategies, is vital for maintaining cardiovascular health and mobility.

Understanding the Pathophysiology

At its core, Aortoiliac Occlusive Disease is a manifestation of atherosclerosis. Over time, fatty deposits, cholesterol, and other cellular waste products build up on the inner walls of the arteries. This narrowing (stenosis) or total blockage (occlusion) creates a high-resistance environment for blood flow. As the heart pumps blood to the lower body, the reduced cross-sectional area of the aorta and iliac arteries forces the body to compensate through collateral circulation, which is often insufficient to meet the metabolic demands of the muscles during physical activity.

Several risk factors significantly increase the likelihood of developing this disease, including:

  • Tobacco use: The most significant preventable risk factor, as smoking accelerates arterial damage.
  • Hypertension: High blood pressure stresses the arterial walls, promoting plaque accumulation.
  • Hyperlipidemia: Elevated levels of LDL cholesterol contribute directly to plaque formation.
  • Diabetes Mellitus: High blood sugar damages vessel linings, making them more susceptible to inflammation.
  • Advanced age and family history: Genetic predispositions and cumulative vascular wear play a major role.

Recognizing the Clinical Presentation

The symptoms of Aortoiliac Occlusive Disease often develop gradually, but they follow a predictable pattern. The most classic sign is intermittent claudication—a cramping pain in the buttocks, thighs, or calves that occurs during exercise and resolves with rest. Unlike typical leg fatigue, this pain is localized to muscle groups that are not receiving adequate perfusion.

When the disease progresses to more severe stages, patients may experience:

  • Erectile dysfunction: Often one of the early markers of blood flow restriction in the pelvic region.
  • Rest pain: Persistent burning or aching in the feet or toes that occurs even when lying down, particularly at night.
  • Trophic changes: Thin, shiny skin on the legs, loss of hair, or thickened toenails.
  • Non-healing ulcers: Wounds on the lower extremities that refuse to close due to poor circulation.

⚠️ Note: If you experience sudden, severe leg pain accompanied by coldness, numbness, or a change in color (paleness or bluish tint), seek emergency medical attention immediately, as this may indicate acute limb ischemia.

Diagnostic Procedures and Staging

To confirm the presence of Aortoiliac Occlusive Disease, physicians employ a mix of physical examinations and advanced imaging. The “gold standard” for initial assessment is the Ankle-Brachial Index (ABI), which compares blood pressure in the ankle to that in the arm. A low ABI is a strong indicator of vascular blockage.

Diagnostic Tool Purpose Details
Duplex Ultrasound Non-invasive screening Uses sound waves to visualize blood flow and identify narrowing.
CTA / MRA Anatomic mapping Provides detailed 3D images of the aorta and iliac bifurcations.
Catheter Angiography Invasive gold standard Used primarily during intervention to visualize flow while treating the blockage.

Modern Treatment Pathways

Management of Aortoiliac Occlusive Disease focuses on two fronts: risk factor modification and mechanical revascularization. Conservative management is always the first line of defense, including smoking cessation programs, structured exercise therapy, and aggressive management of blood pressure and cholesterol levels via medication.

When conservative measures are insufficient, surgical or endovascular interventions become necessary:

  • Endovascular Therapy: This includes balloon angioplasty and stenting. It is minimally invasive, typically involving a small puncture in the groin to access the vessel, and allows for a quicker recovery time.
  • Aortofemoral Bypass Surgery: For complex, long-segment occlusions, this traditional open surgery is highly effective. A synthetic graft is used to bypass the blocked segment, ensuring a long-term, durable flow of blood to the legs.
  • Hybrid Procedures: A combination of endovascular techniques and traditional surgery tailored to the patient’s specific vascular anatomy.

💡 Note: Patients undergoing revascularization should continue their prescribed antiplatelet therapy, such as aspirin or clopidogrel, to prevent recurrence of blockages within the treated segment.

Lifestyle Integration and Longevity

Successful management of this condition requires a lifelong commitment to vascular health. Even after successful stenting or bypass surgery, the underlying process of atherosclerosis can continue if not addressed. Patients are encouraged to adopt a heart-healthy diet, such as the Mediterranean diet, which is rich in anti-inflammatory fats and antioxidants. Regular physical activity, even if it is just walking, helps promote the development of natural “bypass” vessels within the body, further improving the perfusion of the lower extremities.

Regular follow-ups with a vascular specialist are crucial. These appointments allow for the surveillance of the treated area through non-invasive duplex scans, ensuring that the stents remain patent and the bypass grafts are functioning as intended. By combining medical vigilance with a proactive approach to lifestyle, patients with Aortoiliac Occlusive Disease can maintain a high quality of life and prevent the more catastrophic outcomes of advanced peripheral arterial disease.

Ultimately, the prognosis for individuals diagnosed with this condition is heavily influenced by how early the intervention begins. Whether through minimally invasive endovascular approaches or traditional open surgical reconstructions, modern medicine offers robust solutions for restoring blood flow. By staying informed about symptoms, adhering to treatment plans, and strictly managing cardiovascular risk factors, individuals can significantly slow the progression of arterial disease and preserve their long-term health and mobility.

Related Terms:

  • aortoiliac occlusive disease other names
  • aortoiliac occlusive disease symptoms
  • aortoiliac occlusive disease causes
  • aortoiliac occlusive disease radiology
  • symptoms of blocked iliac artery
  • aortoiliac occlusive disease icd