Aortic Root Dilatation

Aortic Root Dilatation

The cardiovascular system is a complex network of vessels, with the aorta standing as the largest and most critical artery in the human body. Serving as the primary conduit for oxygenated blood to travel from the heart to the rest of the body, its structural integrity is paramount. However, certain conditions can compromise this stability, with Aortic Root Dilatation being a significant clinical concern. This condition refers to the abnormal widening or bulging of the proximal part of the aorta, the section immediately exiting the heart. When left unmonitored or untreated, it can lead to severe health complications, necessitating a clear understanding of its causes, symptoms, and management strategies.

Understanding Aortic Root Dilatation

Medical illustration of the heart and aorta

Aortic Root Dilatation occurs when the aortic root—the portion of the aorta that attaches to the heart—stretches beyond its normal diameter. This expansion is often insidious, meaning it develops slowly over time without immediate physical indicators. The aorta relies on a sturdy wall structure consisting of elastic fibers and collagen; when these elements weaken, the vessel becomes susceptible to pressure, leading to dilation.

While some degree of aortic widening can be expected with advanced age, pathological dilation is often linked to genetic disorders, chronic hypertension, or inflammatory processes. Understanding why this happens is the first step toward effective management and the prevention of catastrophic events like aortic dissection or rupture.

Common Etiologies and Risk Factors

There is no single cause for this condition; rather, it is often the result of a multifactorial interplay between genetics and environmental stressors. Identifying the underlying cause is crucial for determining the trajectory of the disease.

  • Genetic Connective Tissue Disorders: Conditions such as Marfan syndrome, Loeys-Dietz syndrome, and Ehlers-Danlos syndrome are notorious for weakening the aortic wall, making patients significantly more prone to rapid dilatation.
  • Chronic Hypertension: Sustained high blood pressure places constant, excessive strain on the aortic walls, leading to gradual thinning and expansion over many years.
  • Bicuspid Aortic Valve (BAV): Many individuals born with a two-leaflet valve (instead of the standard three) are at a higher statistical risk of developing aortic root issues throughout their lifetime.
  • Inflammatory Conditions: Diseases such as giant cell arteritis or Takayasu arteritis can cause structural damage to the vessel layers.
  • Lifestyle Factors: Smoking and a sedentary lifestyle contribute to overall vascular stiffness, which may exacerbate existing structural weaknesses.

Symptomatology and Diagnostic Procedures

In many instances, Aortic Root Dilatation is asymptomatic, often discovered incidentally during routine chest X-rays or echocardiograms performed for unrelated reasons. When symptoms do occur, they are typically associated with advanced stages of the condition:

  • Persistent chest or back pain (often described as sharp or tearing).
  • Shortness of breath or difficulty breathing.
  • Hoarseness caused by pressure on the recurrent laryngeal nerve.
  • Heart palpitations or an irregular heartbeat resulting from valve dysfunction.

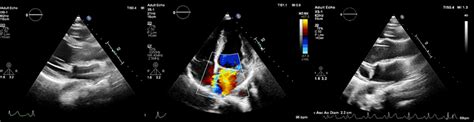
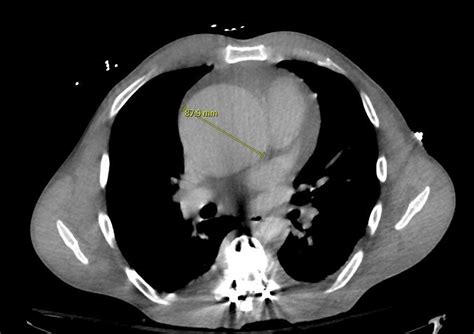
To diagnose the extent of the dilation, clinicians utilize non-invasive imaging techniques. An echocardiogram is the primary tool used to measure the diameter of the aortic root. If further detail is required, a cardiac CT scan or MRI provides a comprehensive three-dimensional view of the aorta, allowing surgeons to plan potential interventions.

Diagnostic Tool Purpose Frequency
Echocardiogram Measure aortic root diameter Annual or biannual
CT Angiography High-resolution mapping As needed/Pre-surgical
Cardiac MRI Assess blood flow and tissue Alternative to CT

💡 Note: Regular monitoring is essential. The frequency of imaging depends entirely on the rate of expansion and the patient's individual risk factors, such as family history of dissection.

Management and Therapeutic Strategies

Managing Aortic Root Dilatation is a balancing act between medical observation and surgical intervention. The primary goal is to prevent the expansion from reaching a critical threshold where the risk of rupture or dissection outweighs the risks of surgery.

Medical Management: For patients with mild to moderate dilation, the focus is on blood pressure control. Physicians frequently prescribe beta-blockers or angiotensin receptor blockers (ARBs) to reduce the force of heart contractions and lower systemic blood pressure, thereby minimizing stress on the aortic wall.

Surgical Intervention: Surgery is typically indicated when the aortic root reaches a specific size—usually 5.0 to 5.5 centimeters, though this varies based on the patient’s body surface area and genetic profile. Surgical options include:

  • Aortic Root Replacement: Replacing the dilated portion of the aorta with a synthetic graft, often accompanied by replacing the aortic valve (a composite valve-graft).
  • Valve-Sparing Root Replacement: A more complex procedure that allows the patient to keep their native valve while reinforcing the aortic root, which is ideal for younger patients who wish to avoid long-term anticoagulation.

Lifestyle Adjustments for Patients

Living with this diagnosis requires a commitment to a heart-healthy lifestyle. While surgery may eventually be necessary, the rate of progression can often be mitigated by reducing systemic cardiovascular strain.

  • Avoid Heavy Lifting: Strenuous isometric exercises, such as heavy weightlifting, cause sudden spikes in blood pressure that can be dangerous for a dilated aorta.
  • Smoking Cessation: Tobacco use damages the endothelial lining of blood vessels and increases stiffness, making it the most significant modifiable risk factor.
  • Dietary Choices: A low-sodium, heart-healthy diet rich in fruits, vegetables, and lean proteins helps manage blood pressure levels effectively.
  • Stress Management: Chronic stress contributes to sustained blood pressure elevation, making meditation or regular light exercise valuable tools for cardiac health.

💡 Note: Always consult with a cardiologist before beginning any new exercise regimen to ensure that the intensity level is safe for your specific aortic diameter and overall health condition.

Effectively managing Aortic Root Dilatation is primarily about vigilance and proactive care. Because this condition frequently progresses in silence, the importance of routine diagnostic imaging cannot be overstated. By maintaining tight control over blood pressure, engaging in appropriate physical activity, and remaining in close communication with a specialist, many individuals can live healthy lives while preventing the progression of their condition. Ultimately, early detection and a personalized treatment plan act as the most effective defense, ensuring that any necessary interventions occur well before complications arise, thereby protecting the longevity and functionality of the cardiovascular system.

Related Terms:

  • aortic root dilatation size
  • aortic root dilatation radiology
  • aortic root aneurysm size criteria
  • aortic root dilatation icd
  • aortic root dilatation symptoms
  • aortic root dilation symptoms