Anterior Iliac Spine

Anterior Iliac Spine

The human pelvis is a complex structural marvel that serves as the bridge between your upper body and your lower extremities. Among its various bony landmarks, the Anterior Iliac Spine plays a pivotal role in musculoskeletal function, stability, and movement. Often overlooked by the general public, this anatomical feature is a frequent subject of clinical discussion among physical therapists, orthopedists, and fitness professionals. Understanding its location, function, and potential for injury is essential for anyone interested in anatomy, athletic performance, or chronic pain management.

Anatomy of the Anterior Iliac Spine

The ilium is the largest and uppermost section of the hip bone. When we look at the rim of the ilium—known as the iliac crest—there are two distinct bony projections at the front. The uppermost projection is known as the Anterior Superior Iliac Spine (ASIS), while the one situated slightly lower is the Anterior Inferior Iliac Spine (AIIS). Together, these two landmarks represent the Anterior Iliac Spine complex.

The ASIS serves as a primary attachment point for several muscles, including the sartorius muscle and the tensor fasciae latae (TFL), as well as the inguinal ligament. Meanwhile, the AIIS acts as the origin for the rectus femoris muscle, one of the four quadriceps muscles. Because these bony protrusions are essentially “anchor points” for major muscle groups, they are subject to significant mechanical stress during physical activity.

Landmark Primary Muscle Attachment Key Function
ASIS Sartorius, Tensor Fasciae Latae Hip flexion and pelvic stability
AIIS Rectus Femoris Knee extension and hip flexion

Clinical Significance and Palpation

For medical professionals, the Anterior Iliac Spine is an essential reference point for physical examinations. By palpating the ASIS, a practitioner can determine if a patient has a pelvic tilt—either anterior or posterior—which can be a leading cause of lower back pain. Because the ASIS is easily palpable even through most clothing, it serves as a reliable marker to align the body for diagnostic imaging or to assess leg length discrepancies.

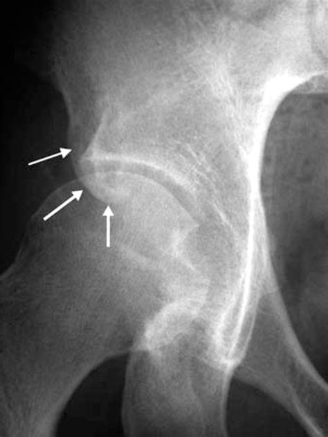
Furthermore, in sports medicine, the AIIS is often investigated when athletes report deep hip or groin pain. Because the rectus femoris attaches directly to this bone, repetitive kicking or sprinting movements can occasionally lead to an avulsion fracture, where a small piece of bone is pulled away by the muscle tendon.

⚠️ Note: If you experience sharp, localized pain directly over the pelvic front, avoid high-impact activities and consult a physical therapist to rule out an avulsion injury or hip impingement.

Because the muscles attached to the Anterior Iliac Spine are responsible for high-force movements like running, jumping, and kicking, they are prone to specific injuries. Athletes, particularly adolescents whose bones are still developing, are at a higher risk for avulsion fractures. When the muscle contracts forcefully, the tendon can pull harder than the bone can withstand, leading to a fracture.

  • Avulsion Fractures: More common in young athletes due to the vulnerability of growth plates.
  • Tendinopathy: Chronic inflammation of the tendons attached to the ASIS or AIIS caused by overuse.
  • Pelvic Tilt Syndromes: An imbalance in the muscles pulling on the ASIS can lead to compensatory pain in the lumbar spine.
  • Muscle Strains: Improper warm-ups can lead to tearing in the sartorius or rectus femoris at the site of attachment.

The Role of Muscle Balance and Posture

Maintaining the health of the tissues surrounding the Anterior Iliac Spine requires a balanced approach to strength training. If the hip flexors, which attach to the ASIS, become chronically tight, they can pull the pelvis forward into an anterior pelvic tilt. This posture often leads to a chain reaction: the glutes become inhibited, and the lower back arches excessively to compensate, eventually causing chronic pain.

To mitigate these issues, it is important to incorporate a routine that includes both strengthening and flexibility training:

  • Strengthening: Focus on core stability exercises like planks and glute bridges to counter the forward pull of tight hip flexors.
  • Flexibility: Regularly stretch the hip flexors and quadriceps to reduce tension on the attachment sites at the AIIS and ASIS.
  • Postural Awareness: Be mindful of your pelvic positioning during long periods of sitting or standing.

💡 Note: Always warm up your hip flexors before engaging in explosive sports like soccer or sprinting to ensure the tendons are pliable and ready for high-tension contraction.

Diagnostic Procedures and When to See a Specialist

If you suspect an issue involving the Anterior Iliac Spine, diagnostic steps usually begin with a physical assessment. A therapist will check for tenderness on the bone itself and measure your range of motion. If they suspect a fracture or significant soft tissue damage, they may request further imaging:

  1. X-ray: Excellent for identifying avulsion fractures or bone-related abnormalities.
  2. MRI: Preferred when there is suspicion of soft tissue damage, such as tendon tears or severe inflammation.
  3. Ultrasound: Often used to view the movement of the rectus femoris tendon in real-time during muscle activation.

Early intervention is critical. Ignoring discomfort in this region can lead to chronic scar tissue formation, which significantly limits mobility and athletic longevity. Working with a professional to correct muscle imbalances early can often prevent the need for more invasive treatments later on.

Integration into Daily Movement

It is helpful to view the Anterior Iliac Spine as the steering wheel of your pelvis. By keeping the muscles attached to this area healthy and flexible, you ensure that your pelvis remains in a neutral position. This, in turn, allows the spine to maintain its natural curve and the lower limbs to move with maximum efficiency. Whether you are an athlete looking to improve your speed or an office worker trying to prevent lower back strain, paying attention to this area of the pelvis is a vital component of total body health.

In summary, the Anterior Iliac Spine is far more than just a bony bump on the hip. As a crucial anchor for the muscles that govern movement and posture, it dictates much of how we walk, run, and sit. By understanding its role in biomechanics and remaining vigilant about symptoms of strain or injury, you can maintain better pelvic alignment and overall physical function. Incorporating regular stretching, strengthening, and postural checks will keep this area of your body resilient, ensuring that your foundation remains stable for years to come.

Related Terms:

  • anterior inferior iliac spine anatomy
  • anterior inferior iliac spine
  • anterior iliac spine muscle
  • anterior iliac spine avulsion fracture
  • anterior iliac spine avulsion
  • anterior iliac spine location