Amyloid Pet Scan

Amyloid Pet Scan

The journey toward understanding cognitive health and memory loss is often complex, filled with questions about the biological underpinnings of conditions like Alzheimer’s disease. For decades, the definitive diagnosis of Alzheimer’s could only be confirmed after death through an autopsy. However, modern medical advancements have introduced powerful diagnostic tools that allow clinicians to peer into the living brain. One of the most revolutionary developments in this field is the Amyloid PET scan. This imaging technique has changed the landscape of neurology, offering a window into the presence of amyloid plaques—a hallmark of Alzheimer's pathology—while a patient is still alive.

What is an Amyloid PET Scan?

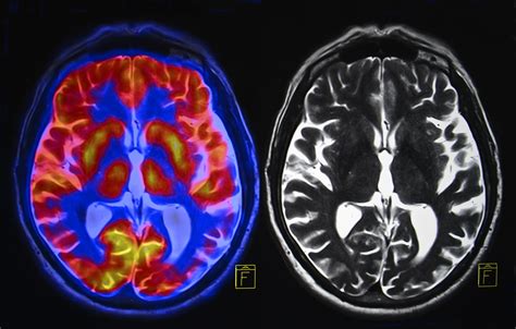
An Amyloid PET scan is a specialized type of medical imaging that uses positron emission tomography (PET) to visualize the density and distribution of beta-amyloid plaques in the brain. Beta-amyloid is a protein fragment that naturally occurs in the body, but in people with Alzheimer’s disease, these fragments clump together to form "plaques." These plaques accumulate between neurons and are believed to disrupt cell-to-cell communication, eventually leading to the cognitive decline associated with dementia.

During the procedure, a radiotracer is injected into the patient's bloodstream. This tracer is designed to bind specifically to amyloid plaques. Once the tracer circulates through the brain, the PET scanner detects the radioactive signal, creating detailed images that allow neurologists to see where these plaques have aggregated.

💡 Note: An amyloid PET scan does not diagnose Alzheimer’s disease on its own; it is used as an adjunctive tool alongside cognitive assessments and other clinical evaluations.

Understanding the Diagnostic Process

The process of undergoing an Amyloid PET scan is relatively straightforward, but it requires coordination between memory specialists and nuclear medicine departments. The goal is to provide clarity when a patient’s diagnosis remains uncertain.

  • Initial Assessment: A neurologist or memory specialist evaluates the patient’s cognitive symptoms, medical history, and blood work to rule out reversible causes of cognitive decline.
  • Referral: If the clinician suspects Alzheimer’s but needs further evidence to support a diagnosis, an order for the scan is placed.
  • Injection: A small amount of a radiopharmaceutical agent is administered intravenously.
  • Uptake Period: The patient waits for 30 to 90 minutes (depending on the tracer) while the substance binds to the plaques.
  • Scanning: The patient lies in the PET scanner for roughly 15 to 20 minutes while the brain is imaged.

Following the scan, a specialized radiologist interprets the images, comparing the uptake of the tracer to standard "normal" patterns. The results are then reported back to the referring physician, who discusses the findings with the patient and their family.

Comparison of Diagnostic Modalities

To understand why the Amyloid PET scan is so significant, it helps to compare it with other methods used to investigate cognitive impairment. Each tool serves a different purpose in the clinical puzzle.

Diagnostic Tool What it Measures Primary Use
Structural MRI Brain volume and shrinkage Detecting atrophy and vascular changes
Amyloid PET Scan Amyloid plaque density Confirming Alzheimer’s pathology
Cognitive Testing Memory, language, attention Assessing functional decline
CSF Analysis Protein levels via spinal tap Detecting Alzheimer’s biomarkers

Why Doctors Order This Scan

The decision to utilize an Amyloid PET scan is typically made when the clinical picture is "atypical." For instance, if a younger patient is experiencing rapid cognitive changes, or if symptoms overlap between different types of dementia (such as frontotemporal dementia versus Alzheimer's), this scan can provide the necessary evidence to steer the patient toward the correct treatment path.

By identifying the presence or absence of amyloid, physicians can:

  • Confirm or Rule Out: Provide a definitive explanation for symptoms, reducing the anxiety of the unknown.
  • Guide Medication: Determine if the patient is a candidate for newer, anti-amyloid monoclonal antibody treatments.
  • Refine Management: Adjust the care plan to focus on lifestyle interventions, supportive care, or clinical trials.

💡 Note: While these scans are highly effective, they are not always covered by insurance for routine memory complaints and are typically reserved for cases where the diagnosis is unclear.

Preparing for the Scan

Patients often worry about the radiation exposure associated with an Amyloid PET scan. It is important to know that the amount of radiation is relatively low, comparable to many other common medical scans like a CT scan. There is usually no special fasting required, and patients are typically encouraged to hydrate well before the appointment.

It is crucial to notify the medical team if there is a history of pregnancy, severe allergies, or difficulty lying still for extended periods. Because the scan requires the patient to remain very still for high-quality image capture, those with significant claustrophobia or chronic pain that makes lying still difficult should speak to their doctor about potential accommodations.

Interpreting the Results

The results of an Amyloid PET scan are generally reported as "positive" or "negative." A positive result indicates that a significant amount of amyloid plaque is present, which is consistent with Alzheimer’s pathology. A negative result means that amyloid levels are within the normal range for the patient’s age, which strongly suggests that the cognitive decline is likely caused by something other than Alzheimer’s disease.

It is vital to recognize that a positive scan is not a "guarantee" of future dementia. Some older adults have amyloid plaques in their brains but do not exhibit significant cognitive impairment. Therefore, the scan must always be interpreted within the context of the patient's daily functioning and physical neurological exam.

Future Directions in Neuro-Imaging

As research continues, the role of the Amyloid PET scan is evolving. We are moving toward a future where we can detect these biomarkers much earlier, perhaps even before symptoms start to manifest. This "preclinical" detection is the holy grail of Alzheimer’s research, as it offers a window of opportunity to intervene with preventative therapies long before the brain sustains irreversible damage.

Furthermore, new PET tracers are being developed to identify other proteins involved in dementia, such as "tau." While amyloid is a key indicator, tau protein buildup is more closely linked to actual nerve cell death and cognitive symptoms. Having the ability to scan for both markers simultaneously or sequentially will provide an even clearer understanding of a patient’s prognosis and treatment options.

The advent of these advanced imaging techniques has shifted the focus from symptomatic management to precision medicine. By having a clear biological target, clinicians can provide families with more accurate information regarding what to expect as a disease progresses. It allows for more meaningful discussions about advance care planning, clinical trial participation, and long-term support systems. While the process of receiving a diagnosis remains challenging, the clarity offered by an Amyloid PET scan represents a significant stride forward in our ability to navigate the complexities of brain health with precision and compassion.

Related Terms:

  • amyloid pet scan cpt
  • amyloid pet scan brain
  • amyloid pet scan alzheimer's
  • amyloid pet scan cpt code
  • tau pet scan
  • amyloid pet scan cost