Adenomyosis Cancer Symptoms

Adenomyosis Cancer Symptoms

Understanding the distinction between benign gynecological conditions and potential malignancies is a primary concern for many women experiencing pelvic pain. Among the most frequently confused topics is the link between adenomyosis—a condition where the inner lining of the uterus breaks through the muscular wall of the uterus—and uterine cancer. Patients often search for Adenomyosis Cancer Symptoms, fearing that the intense pain and irregular bleeding associated with the condition might signal something more sinister. While adenomyosis is benign, it is essential to understand the symptoms, the potential risks, and when medical intervention is necessary to rule out malignancy.

Understanding Adenomyosis and Its Common Symptoms

Adenomyosis occurs when endometrial tissue grows into the muscular wall (myometrium) of the uterus. This trapped tissue continues to act as it would normally—thickening, breaking down, and bleeding during each menstrual cycle—which causes the muscular wall to thicken, often leading to an enlarged uterus. Because these symptoms can be debilitating, they are often mistaken for markers of more serious diseases.

Common symptoms of adenomyosis include:

  • Heavy or prolonged menstrual bleeding (menorrhagia).
  • Severe menstrual cramps (dysmenorrhea) that may worsen over time.
  • Chronic pelvic pain throughout the month.
  • Painful intercourse (dyspareunia).
  • An enlarged, tender uterus that can be felt during a physical exam.

These symptoms are significantly disruptive to daily life. However, it is crucial to note that these are hallmark signs of a benign, albeit painful, condition, not necessarily evidence of cancer.

A common question arises: does having adenomyosis increase the risk of developing uterine cancer? Current medical research indicates that adenomyosis is a benign condition. It does not typically transform into cancer, and it is not a direct precursor to endometrial or uterine cancer. The primary concern is that the symptoms of adenomyosis, specifically abnormal bleeding, overlap significantly with the symptoms of uterine malignancy.

While the condition itself is not cancerous, there is a risk of diagnostic overshadowing—where a doctor assumes the symptoms are "just" adenomyosis and fails to screen for other conditions. Because of this, any new, sudden, or persistent change in your cycle should always be evaluated by a healthcare professional.

Symptom Associated with Adenomyosis Associated with Uterine Cancer
Abnormal Uterine Bleeding Yes Yes
Pelvic Pain Yes Occasionally (Advanced stages)
Enlarged Uterus Yes Possible
Post-Menopausal Bleeding Rare High Concern

⚠️ Note: Post-menopausal bleeding is never considered normal. Regardless of whether you have a history of adenomyosis, any bleeding after menopause requires immediate medical investigation to rule out endometrial cancer.

Differentiating Adenomyosis Cancer Symptoms

Distinguishing between the two requires diagnostic imaging and sometimes tissue sampling. Because Adenomyosis Cancer Symptoms can appear similar, doctors use a multi-step approach to reach an accurate diagnosis. If your symptoms are atypical or do not respond to standard treatments for adenomyosis, your provider will likely investigate further.

Warning signs that may prompt a doctor to look beyond adenomyosis include:

  • Bleeding between periods (intermenstrual bleeding).
  • Bleeding occurring after menopause.
  • Unexpected weight loss or fatigue.
  • Pelvic masses that grow rapidly.
  • Pain that does not improve with hormonal therapy or standard pain management.

Diagnostic Procedures for Clarity

To confirm whether your symptoms are due to adenomyosis or something more serious, doctors typically rely on a combination of diagnostic tools. These tools are effective in visual differentiation:

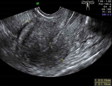
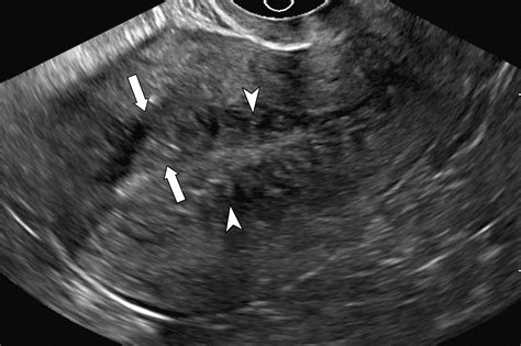
  • Transvaginal Ultrasound: The first line of defense. It can often reveal the characteristic "globular" enlargement of the uterus and the "venetian blind" shadowing pattern associated with adenomyosis.
  • Magnetic Resonance Imaging (MRI): A more definitive tool that provides clear images of the uterine junctional zone, allowing radiologists to distinguish adenomyosis from leiomyomas (fibroids) or potential malignant growths.
  • Endometrial Biopsy: If bleeding is heavy or abnormal, a biopsy involves taking a small sample of the uterine lining to check for cancerous or pre-cancerous cells. This is crucial for women over the age of 45 or those with risk factors.

Managing the Impact on Quality of Life

Even though adenomyosis is benign, the management of its symptoms is vital. Chronic pain and heavy bleeding can significantly impact your mental and physical health. Treatment options range from hormonal therapies, such as oral contraceptives or progestin-releasing IUDs, to surgical interventions like uterine artery embolization or, in severe cases, a hysterectomy.

It is important to maintain open communication with your gynecologist. If you are researching Adenomyosis Cancer Symptoms, it is likely because you are in pain or worried about your health. Do not hesitate to ask your doctor for a formal pathology report if you undergo any surgical procedures to remove uterine tissue, as this is the only way to be 100% certain of the tissue composition.

💡 Note: Always keep a detailed "symptom diary" tracking the intensity of your pain and the frequency of bleeding. This data is incredibly helpful for your physician when deciding whether further diagnostic testing is needed.

Final Perspectives on Health Advocacy

Navigating gynecological health requires a balance between staying informed and avoiding unnecessary medical anxiety. While the symptoms of adenomyosis are undoubtedly intense and can mimic other pelvic health issues, the condition itself remains benign. The overlap in symptoms between adenomyosis and uterine cancer is a critical reason why consistent medical monitoring and regular check-ups are essential. By working closely with a healthcare provider and utilizing diagnostic imaging like ultrasounds or MRIs, you can ensure that you are receiving the correct treatment for your specific situation. Prioritizing your health by addressing any new or worsening symptoms early—especially bleeding after menopause or persistent pelvic pressure—is the best way to maintain peace of mind and ensure effective management of your reproductive health.

Related Terms:

  • can adenomyosis turn into cancer
  • does adenomyosis cause heavy bleeding
  • is adenomyosis bad
  • can adenomyosis cause missed periods
  • adenomyosis and postmenopausal bleeding
  • adenomyosis without bleeding