Acute Monocytic Leukemia

Acute Monocytic Leukemia

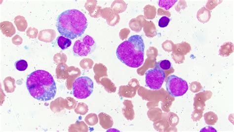
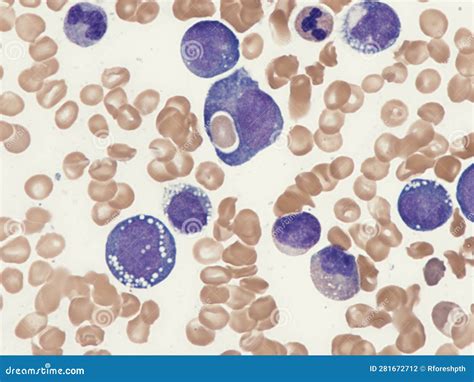
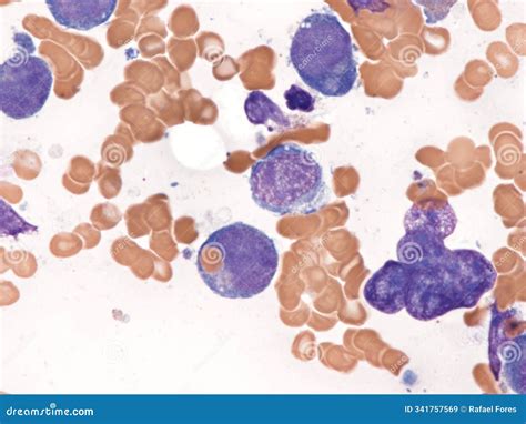
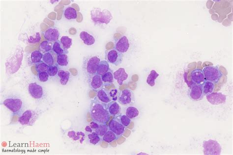
Acute Monocytic Leukemia (AML M5) is a rare and aggressive form of cancer that originates in the bone marrow. It is characterized by the overproduction of immature white blood cells known as monoblasts. Unlike other types of leukemia that may progress slowly, this condition often manifests rapidly, demanding immediate medical intervention and a comprehensive understanding of its biological mechanisms. As a subtype of Acute Myeloid Leukemia, it requires precise diagnostic protocols to differentiate it from other blood disorders, ensuring that patients receive the most effective targeted therapy available.

Understanding the Pathology of Acute Monocytic Leukemia

Medical laboratory blood analysis

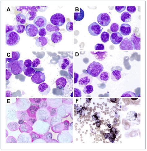
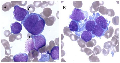
At the core of Acute Monocytic Leukemia is the uncontrolled growth of monoblasts, which are the precursor cells to monocytes. In a healthy body, monocytes are a vital component of the immune system, helping to clear out pathogens and damaged tissue. However, in the case of this malignancy, the body produces an overwhelming quantity of these immature cells that never reach full maturity. Because these cells do not function correctly and crowd out healthy red blood cells, white blood cells, and platelets, the patient experiences severe systemic symptoms.

The progression of the disease is largely influenced by genetic mutations within the hematopoietic stem cells. Researchers have identified that these mutations disrupt the normal differentiation pathways, locking the cells in a primitive state. This leads to bone marrow failure, which is the primary driver of the clinical complications associated with this diagnosis.

Key Symptoms and Early Warning Signs

Recognizing the symptoms early is crucial for improving outcomes. Because the condition affects blood production, symptoms are often generalized and can mimic other illnesses, which is why blood tests are vital for early detection. Common clinical presentations include:

  • Unexplained Fatigue: Due to a shortage of healthy red blood cells (anemia).
  • Recurrent Infections: Caused by a lack of functional white blood cells.
  • Easy Bleeding or Bruising: Resulting from low platelet counts (thrombocytopenia).
  • Bone or Joint Pain: Caused by the expansion of the bone marrow.
  • Swollen Lymph Nodes or Gums: Monocytic cells have a tendency to infiltrate soft tissues, leading to hypertrophy in the gingiva or enlarged nodes.

Diagnostic Procedures for Clinical Accuracy

Diagnosing Acute Monocytic Leukemia involves a multi-step process. Hematologists rely on a combination of physical examination, laboratory testing, and genetic analysis. The diagnostic journey typically follows these steps:

  1. Complete Blood Count (CBC): To identify abnormal cell counts in the peripheral blood.
  2. Bone Marrow Aspiration and Biopsy: A sample of bone marrow is extracted to examine the percentage of blasts present.
  3. Flow Cytometry: A sophisticated technique used to identify specific proteins on the surface of cells to confirm the monocytic lineage.
  4. Cytogenetic Testing: Analyzing chromosomes for specific abnormalities that may guide treatment decisions.

⚠️ Note: Always consult with a specialized hematologist-oncologist if initial blood work shows abnormal blast cells, as early intervention significantly alters the prognosis of the disease.

Comparative Overview of Leukemia Subtypes

Understanding where this condition fits within the broader category of leukemia helps clarify why treatment strategies vary significantly. The table below outlines basic distinctions between common leukemia types.

Leukemia Type Primary Cell Lineage Typical Onset
Acute Monocytic Leukemia (M5) Monocytic (Myeloid) Rapid/Acute
Acute Lymphoblastic Leukemia (ALL) Lymphoid Rapid/Acute
Chronic Myeloid Leukemia (CML) Myeloid Slow/Chronic

Treatment Modalities and Emerging Therapies

The standard treatment for Acute Monocytic Leukemia is intensive induction chemotherapy. The primary goal is to achieve remission by eliminating the leukemia cells from the bone marrow. Following induction, consolidation therapy is administered to prevent recurrence. In many cases, a stem cell transplant (or bone marrow transplant) is considered, particularly for younger, fit patients or those at a high risk of relapse.

Recent advancements in medicine have introduced "precision medicine." By identifying specific genetic mutations (such as FLT3 or NPM1), physicians can now offer targeted inhibitors that work alongside traditional chemotherapy to improve survival rates. Targeted therapy represents a major shift in how we manage malignant blood conditions, focusing on the molecular "driver" of the disease rather than relying solely on non-specific cytotoxic drugs.

Living with the Diagnosis: Support and Management

A diagnosis of a blood cancer impacts not only physical health but also mental well-being. Managing the emotional toll is just as important as the medical treatment. Patients are encouraged to build a strong support system, including family, mental health professionals, and patient support groups. Maintaining nutritional health, managing side effects of treatment, and staying active within the limits of medical advice are essential components of the holistic approach to fighting Acute Monocytic Leukemia.

ℹ️ Note: Immunocompromised patients undergoing treatment must prioritize hygiene and avoid exposure to contagious illnesses to reduce the risk of secondary infections.

Future Outlook in Research

The field of hematology is evolving rapidly. Genomic profiling is becoming a routine part of patient care, allowing for highly personalized treatment plans. As we learn more about the microenvironment of the bone marrow and how it supports leukemic cells, new drugs are being developed to disrupt these niches. Ongoing clinical trials remain the cornerstone of progress, offering hope for more effective and less toxic treatments in the future.

Managing this condition requires a dedicated team of medical professionals, including oncologists, pathologists, and nursing staff specialized in oncology care. By maintaining consistent follow-ups and adhering strictly to the prescribed therapeutic schedule, patients and their care teams can work toward the best possible health outcomes. While the journey through treatment is challenging, the combination of advanced diagnostics, personalized therapeutic agents, and supportive care continues to improve the survival rates and overall quality of life for those affected by this complex and demanding disease.

Related Terms:

  • acute monocytic leukemia pathology outlines
  • acute monocytic leukemia icd 10
  • acute monocytic leukemia prognosis
  • acute monocytic leukemia treatment
  • acute monocytic leukemia vs aml
  • acute monocytic leukemia symptoms