3Rd Molar Teeth

3Rd Molar Teeth

The journey toward adulthood often brings with it a rite of passage that many dread: the eruption or removal of 3rd molar teeth. Commonly referred to as wisdom teeth, these final sets of molars typically emerge during late adolescence or early adulthood, between the ages of 17 and 25. While some individuals have enough room in their dental arch to accommodate them comfortably, many others face complications due to a lack of space. Understanding how these teeth develop, why they often cause trouble, and what to expect during a consultation is essential for maintaining long-term oral health.

Understanding the Development of 3rd Molar Teeth

Historically, 3rd molar teeth served an important evolutionary purpose. Our ancestors required these extra teeth to grind down coarse, raw foods like roots, nuts, and tough meat. As human diets have shifted toward softer, processed foods and our jaw sizes have gradually decreased through evolution, the necessity for these teeth has vanished. Today, most human jaws simply do not have the extra space required to house a third set of molars effectively.

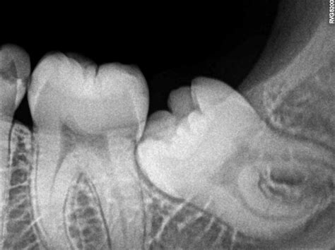
When these teeth begin to develop, they form at the very back of the dental arch. Because they are the last to erupt, they often encounter a space crunch. If there is insufficient room, the teeth become impacted. An impacted tooth is one that is unable to break through the gum line or emerge fully because it is blocked by adjacent teeth, soft tissue, or bone. This is a primary reason why dental professionals often recommend monitoring their growth via routine X-rays long before they cause symptomatic pain.

Common Symptoms of Impacted Wisdom Teeth

Not everyone experiences pain when their 3rd molar teeth are erupting, but when they do, the symptoms can range from mild discomfort to severe distress. Recognizing the early warning signs can help you seek treatment before the issue escalates into a more significant infection or damage to neighboring teeth.

  • Persistent jaw pain or stiffness in the area behind the second molars.
  • Swelling or tenderness in the gums, often accompanied by redness.
  • Bad breath or a persistent unpleasant taste in the mouth, which may result from bacteria trapped around a partially erupted tooth.
  • Difficulty opening the mouth fully due to inflammation or muscle spasms.
  • Headaches or sinus pressure, which sometimes occur as referred pain from the dental area.

⚠️ Note: If you notice pus or severe swelling in your mouth, contact your dentist immediately, as these may be signs of an acute infection requiring urgent antibiotic treatment.

The Diagnostic Process

Dentists use advanced imaging to monitor the position and health of your 3rd molar teeth. During a routine exam, a panoramic X-ray is typically taken. This image provides a complete view of the upper and lower jaws, allowing the dentist to observe the angle of the teeth, their proximity to nerves, and whether they are likely to interfere with the alignment of your existing healthy teeth.

Impaction Type Description Recommended Action
Soft Tissue Impaction The tooth is under the gum but hasn't reached the bone. Monitoring or minor surgical exposure.
Partial Bony Impaction Part of the tooth is erupted; part is inside the jawbone. Extraction to prevent infection.
Complete Bony Impaction The tooth is entirely encased in the jawbone. Surgical extraction by a specialist.

What to Expect During and After Extraction

The extraction of 3rd molar teeth is one of the most common surgical procedures performed in dentistry. Whether done by a general dentist or an oral surgeon, the process is designed to be as comfortable as possible through the use of anesthesia. Depending on the complexity, you may receive local anesthesia, sedation, or general anesthesia.

Once the tooth is removed, the recovery phase begins. Following your surgeon’s post-operative instructions is the most important factor in preventing complications such as dry socket. Key recovery tips include:

  • Manage swelling: Apply cold packs to the outside of your cheek for the first 24 hours.
  • Hydration and nutrition: Stick to soft foods like yogurt, mashed potatoes, or lukewarm soup for the first few days. Avoid straws, as the suction can dislodge the blood clot.
  • Oral hygiene: Maintain gentle cleaning. While you should keep your mouth clean, avoid vigorous rinsing or brushing directly over the extraction site for the first 48 hours.
  • Rest: Avoid strenuous physical activity for at least three to four days to allow the body to focus on healing.

💡 Note: A small amount of oozing is normal following surgery. However, if you experience heavy, bright red bleeding that does not stop with pressure, seek professional advice immediately.

Long-Term Benefits of Early Removal

Many patients wonder why they should remove "wisdom" teeth if they don't currently hurt. Dental professionals often suggest prophylactic removal because, as we age, the roots of our teeth become more fully developed and deeply anchored in the jawbone. Removing these teeth in the late teens or early twenties often leads to a faster, less complex procedure with a smoother recovery period.

Furthermore, removing problematic 3rd molar teeth protects your other teeth. When these molars grow at an awkward angle, they can push against your second molars, causing overcrowding, misalignment, or even decay due to the difficulty of cleaning the tight spaces between them. By addressing these teeth early, you preserve the integrity of your overall dental health, potentially saving yourself from more invasive orthodontic or restorative treatments later in life.

The management of 3rd molar teeth is a standard aspect of lifelong oral maintenance. By maintaining regular dental checkups, you ensure that any potential issues are identified before they lead to acute pain or structural damage. Whether you are currently experiencing symptoms or simply curious about the status of your wisdom teeth, open communication with your dentist is the best path forward. Through modern diagnostic techniques and refined surgical practices, the process has become highly predictable and efficient. Prioritizing your dental health today ensures a healthier, more comfortable smile for years to come, minimizing the risks of future complications and helping you maintain optimal oral function as you navigate the different stages of your life.

Related Terms:

  • 3rd molar teeth diagram
  • are 3rd molars wisdom teeth
  • 3rd molar teeth numbers
  • third molar tooth
  • 3rd molar teeth pain
  • 3rd molar teeth meaning