3 Unit Bridge Dental

3 Unit Bridge Dental

Missing teeth can significantly impact your self-confidence, your ability to chew food properly, and even the structural integrity of your remaining teeth. When you lose a tooth, the surrounding teeth may begin to shift, leading to bite misalignment and potential jaw pain. One of the most effective and time-tested solutions for restoring your smile is the 3 unit bridge dental procedure. This restorative treatment acts as a permanent fixture, bridging the gap left by a missing tooth by anchoring a replacement tooth to the natural teeth on either side of the empty space.

Understanding the 3 Unit Bridge Dental Concept

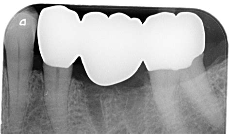
A 3 unit bridge dental appliance is a custom-made restoration designed to replace a single missing tooth. The "unit" count refers to the total number of crowns involved in the structure:

  • Two Abutment Crowns: These are the crowns that fit over the healthy, natural teeth on either side of the gap. These teeth serve as the anchors or supports for the bridge.
  • One Pontic: This is the prosthetic tooth that sits in the middle, effectively filling the space left by the missing natural tooth.

By creating this cohesive unit, your dentist can restore both the functionality and the aesthetic appearance of your dental arch. Unlike removable dentures, which can feel bulky or move around, a bridge is permanently cemented in place, providing a stable and comfortable experience similar to your natural teeth.

Who is a Candidate for a Dental Bridge?

Not every patient is an ideal candidate for this procedure. Your dentist will conduct a thorough examination to determine if your supporting teeth are strong enough to handle the pressure of the bridge. Ideal candidates typically meet the following criteria:

  • They have one or more missing teeth.
  • They have healthy, strong teeth on either side of the gap to serve as abutments.
  • They maintain good oral hygiene to prevent decay in the supporting teeth.
  • They have healthy gums free from advanced periodontal disease.

Comparison of Tooth Replacement Options

When you are weighing your options, it is helpful to see how a 3 unit bridge stacks up against other common treatments like dental implants or removable partials.

Feature 3 Unit Bridge Dental Dental Implant Removable Partial
Permanence Fixed (Cemented) Fixed (Surgical) Removable
Treatment Time 2–3 Weeks 3–9 Months 1–2 Weeks
Invasive Nature Requires crowning adjacent teeth Requires bone surgery Non-invasive
Support Relies on neighboring teeth Standalone (in bone) Relies on gums/teeth

⚠️ Note: Always consult with your dental professional regarding your bone density and oral health history, as implants may be preferred if the adjacent teeth are perfectly healthy and should not be shaved down for crowns.

The Procedure: What to Expect

Getting a 3 unit bridge dental restoration usually requires two separate visits to the dental office. During the first appointment, your dentist will prepare the anchor teeth by removing a small amount of enamel. This creates room for the crowns to fit snugly. After the preparation, they will take highly accurate impressions of your teeth to ensure the final bridge fits perfectly.

A temporary bridge will be placed over the area to protect your teeth while the lab fabricates your permanent bridge. During the second visit, your dentist will remove the temporary bridge, check the fit, bite, and color of the new bridge, and then permanently cement it into place. This results in a seamless look that integrates naturally with your surrounding dentition.

Benefits of Choosing a Bridge

Choosing a bridge offers several clinical and personal advantages. First, it prevents the neighboring teeth from tilting or drifting into the empty space, which can cause significant bite issues later on. Second, it restores your ability to chew and speak with clarity. Because the material used in these bridges—often porcelain-fused-to-metal or all-ceramic—can be color-matched to your existing teeth, the cosmetic results are often indistinguishable from your natural smile.

Maintaining Your New Restoration

While the prosthetic teeth cannot decay, the natural teeth underneath the crowns are still susceptible to cavities and gum disease. Long-term success with your 3 unit bridge dental work depends entirely on your home care routine. Consider these essential tips for longevity:

  • Flossing: Use specialized tools like floss threaders or super-floss to clean beneath the pontic.
  • Interdental Brushes: These small brushes are highly effective at reaching the gaps between the bridge and your gums.
  • Routine Exams: Professional cleanings ensure that your dentist can monitor the margins of the crowns for any signs of decay.
  • Dietary Choices: While bridges are strong, avoid chewing on extremely hard objects like ice or hard candies to prevent porcelain fracture.

💡 Note: If you notice any sensitivity, bleeding around the gum line, or a feeling of looseness in your bridge, contact your dental office immediately to prevent further damage or infection.

Final Thoughts on Restorative Care

Investing in your dental health is one of the best decisions you can make for your overall well-being. A 3 unit bridge serves as a durable, aesthetically pleasing, and functional solution that restores confidence and improves your daily life. By understanding the procedure, carefully selecting your dentist, and maintaining rigorous oral hygiene, you can ensure that your restoration remains a stable part of your smile for many years to come. Whether you are looking to fix a single gap or prevent future alignment issues, speaking with a professional about this classic restorative option is the first step toward a healthier, more complete smile.

Related Terms:

  • dental bridge cost with insurance
  • 3 unit bridge dental anterior
  • cost of cantilever dental bridge
  • 3 tooth implant bridge cost
  • best dental bridges near me
  • cost of a permanent bridge