Pott's Puffy Tumour

Pott's Puffy Tumour

In the vast landscape of rare medical conditions, few names are as distinctive or historically significant as Pott's Puffy Tumour. Despite its somewhat whimsical sounding name, this condition is a serious medical emergency that requires prompt recognition and aggressive intervention. First described by the British surgeon Percivall Pott in the 18th century, the condition is defined by a subperiosteal abscess of the frontal bone, typically resulting from an underlying infection. While it has become increasingly rare in the era of modern antibiotics, the risk of severe intracranial complications makes it a topic of vital importance for healthcare providers and those seeking to understand complex medical pathology.

Understanding the Pathophysiology of Pott's Puffy Tumour

At its core, Pott's Puffy Tumour is not a true neoplasm or tumor in the oncological sense, but rather a clinical presentation of an osteomyelitis of the frontal bone. It is almost always secondary to untreated or inadequately treated frontal sinusitis or direct trauma to the forehead. The infection spreads from the frontal sinus into the marrow space of the frontal bone, creating a localized collection of pus—an abscess—beneath the periosteum. This causes the classic "puffy" appearance on the patient's forehead.

The progression of the condition can be rapid. Because the bone is porous, the infection can easily penetrate the inner table of the skull, leading to an intracranial abscess or meningitis. Understanding this mechanism is crucial because the superficial swelling is often just the "tip of the iceberg" regarding the extent of the infection inside the cranium.

Clinical Presentation and Common Symptoms

Recognizing the signs early can be the difference between a successful recovery and life-threatening complications. The presentation is usually unmistakable once the classic signs have developed. Clinicians should remain vigilant when a patient exhibits symptoms of persistent sinusitis that suddenly worsen.

  • Localized forehead swelling: A tender, fluctuant, and erythematous mass on the forehead.
  • Frontal headache: Often intense and localized, worsening over time.
  • Systemic symptoms: Fever, chills, and malaise indicating a spreading infection.
  • Neurological deficits: Altered mental status, seizures, or focal deficits, which signal intracranial involvement.
  • Sinusitis history: A history of recent sinus infection or trauma is present in the vast majority of cases.

⚠️ Note: If a patient presents with a boggy forehead mass following a recent sinus infection, immediate neurosurgical and ENT evaluation is required to rule out intracranial abscess formation.

Diagnostic Approaches

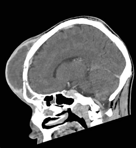
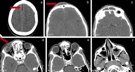
Diagnosis of Pott's Puffy Tumour relies heavily on advanced medical imaging. Physical examination is insufficient to determine the depth of the bone involvement or the presence of intracranial complications. Radiologists and surgeons work in tandem to evaluate the extent of the disease.

Diagnostic Tool Purpose
Computed Tomography (CT) To visualize bone erosion, sinus opacification, and subperiosteal abscess.
Magnetic Resonance Imaging (MRI) To detect intracranial complications, such as epidural abscess or venous sinus thrombosis.
Microbiological Culture To identify the specific pathogen (often Staphylococcus aureus or streptococci) for antibiotic targeting.

Treatment Modalities

The management of Pott's Puffy Tumour is multifaceted, requiring a combination of surgical intervention and prolonged antimicrobial therapy. Relying on antibiotics alone is almost never sufficient because the abscess is walled off, preventing systemic medication from reaching the site effectively.

Surgical drainage is the cornerstone of treatment. This usually involves an endoscopic sinus surgery to drain the infected frontal sinuses, combined with an open surgical approach to debride the necrotic bone and evacuate the abscess. In cases where intracranial spread is confirmed, a craniotomy may be necessary to evacuate an epidural or subdural abscess. Following surgery, the patient is typically placed on a course of intravenous antibiotics for several weeks to ensure the infection is completely eradicated.

Risk Factors and Preventative Insights

While the condition is rare, certain populations remain at higher risk. Individuals with chronic frontal sinusitis, those who have suffered penetrating injuries to the frontal bone, and patients with compromised immune systems are more susceptible. Prevention primarily centers on the aggressive management of acute sinusitis. If a patient is diagnosed with sinus inflammation that does not respond to standard treatment, persistent follow-up is necessary to prevent the transition from a simple infection to a life-threatening bone infection like Pott's Puffy Tumour.

Furthermore, avoiding trauma to the head and maintaining good dental health can also reduce the risk of secondary infections that might lead to osteomyelitis of the skull. Awareness is the primary defense; knowing that a frontal sinus infection can evolve into a skull-eroding condition is vital for early intervention.

The Evolution of Medical Understanding

Percivall Pott’s initial observations in the 1700s provided the foundation for our modern understanding, but the management has undergone a radical transformation. In the pre-antibiotic era, this condition was frequently fatal, as there were no effective ways to combat the systemic sepsis that often followed. Today, while we have powerful tools at our disposal, the Pott's Puffy Tumour serves as a humbling reminder of the fragility of the human cranial structure. It highlights how an infection in an air-filled sinus, if left to fester, can breach the protective barriers of the skull and jeopardize the brain itself.

Recent literature suggests that while the incidence remains low, it has not disappeared. In some cases, diagnostic delays occur because the condition is so rarely encountered by modern physicians that they fail to consider it as a differential diagnosis for forehead swelling. Keeping this historical entity in the minds of healthcare professionals is essential to maintaining the high standard of care required to treat it successfully.

In summary, while Pott’s Puffy Tumour is an infrequent diagnosis in modern medical practice, it remains a critical condition that demands immediate attention. Characterized by the development of an abscess beneath the periosteum of the frontal bone, usually following a history of sinusitis, it underscores the importance of treating secondary infections with urgency. Through a combination of precise imaging, surgical drainage, and targeted antibiotic therapy, medical teams are equipped to manage the infection effectively and prevent the dangerous intracranial complications associated with it. By maintaining awareness of this classic medical entity and recognizing its telltale clinical signs early, clinicians can ensure improved patient outcomes and prevent the significant morbidity associated with untreated cranial osteomyelitis.

Related Terms:

  • pott's puffy tumor symptoms
  • pott's puffy tumor treatment
  • pott's puffy tumor ct
  • pott's puffy tumor radiology
  • pott's puffy tumor surgery
  • pott's puffy tumor causes