Pneumonia X Ray

Pneumonia X Ray

When you or a loved one faces respiratory distress, understanding the diagnostic tools available is essential. One of the most common and effective ways physicians identify lung infections is through a Pneumonia X-ray. This non-invasive imaging technique allows healthcare providers to visualize the internal structures of the chest, making it easier to pinpoint fluid, inflammation, or consolidated areas that indicate infection. By capturing a high-resolution snapshot of your lungs, a chest X-ray acts as a vital bridge between clinical symptoms and an accurate diagnosis.

What Exactly Is a Pneumonia X-Ray?

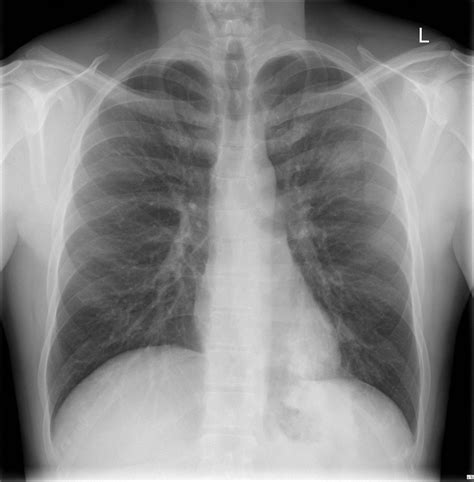
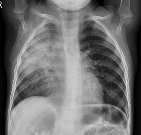
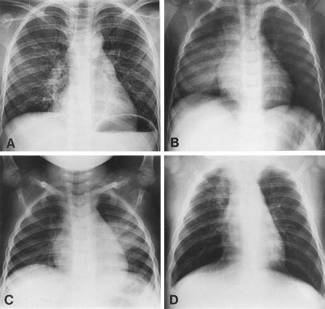
A Pneumonia X-ray is a medical imaging test that uses electromagnetic radiation to create pictures of the inside of your chest. When you have pneumonia, the air sacs (alveoli) in your lungs can become filled with fluid or pus. In an X-ray image, these filled air sacs appear as opaque, whitish patches or "opacities," which stand out against the dark, air-filled healthy lung tissue. This visual evidence is critical for doctors to distinguish pneumonia from other conditions like bronchitis or asthma.

It is important to note that while doctors often use a physical examination and medical history to suspect pneumonia, the imaging provides the objective proof needed to initiate treatment. Without this diagnostic step, it is difficult to determine the severity or the specific location of the infection within the lungs.

Why Is This Imaging Necessary?

There are several compelling reasons why medical professionals rely on this imaging procedure. Primarily, it confirms the presence of the infection and helps determine its extent. Here are the key benefits:

  • Accurate Diagnosis: It distinguishes pneumonia from other respiratory issues with similar symptoms.
  • Determining Severity: It helps the physician understand if the infection is limited to one lobe (lobar pneumonia) or spread throughout both lungs (bronchopneumonia).
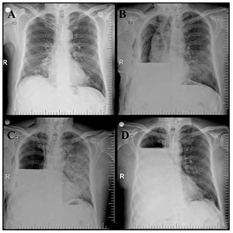
  • Monitoring Progress: Doctors may order follow-up X-rays to ensure that the medication is working and that the inflammation is clearing up.
  • Detecting Complications: It helps identify potential issues such as pleural effusion (fluid buildup around the lungs) or abscesses that may require different treatment approaches.

Understanding the Visual Signs

When a radiologist reviews a Pneumonia X-ray, they are looking for specific indicators of disease. Healthy lungs on an X-ray typically appear black because they are filled with air, which does not block the X-ray beams. Conversely, infected tissue blocks these beams, leading to white areas on the film. These findings are often referred to in clinical reports as "infiltrates" or "consolidation."

Observation Clinical Significance
Clear black lung fields Healthy, air-filled lungs
Localized white patches (Consolidation) Indicative of active pneumonia infection
Cloudy shadows Possible interstitial inflammation or fluid
Blunted costophrenic angles Potential sign of pleural effusion (complication)

⚠️ Note: Always consult with a qualified radiologist or your primary physician to interpret your specific results, as X-ray findings must be correlated with your clinical symptoms, such as fever, cough, and shortness of breath.

Preparing for Your Chest X-Ray

Getting an X-ray is a relatively simple and painless procedure. Generally, there is no special preparation required. However, there are a few standard protocols to ensure the best possible image quality:

  • Remove Metallic Objects: You will be asked to remove jewelry, necklaces, or piercings around the chest area, as these can obscure the image.
  • Clothing Considerations: You may be asked to wear a hospital gown to ensure no buttons, zippers, or patterns on your shirt interfere with the X-ray waves.
  • Communication: Inform the technician if there is any possibility that you are pregnant, as radiation exposure should be minimized in these cases.

ℹ️ Note: While the amount of radiation used in a standard chest X-ray is very low, it is always best practice to limit unnecessary exposure to medical radiation whenever possible.

Limitations and Next Steps

While a Pneumonia X-ray is the "gold standard" for initial diagnosis, it is not infallible. In some early stages of the disease, the X-ray might appear normal even if the patient is symptomatic. This is common in cases of "walking pneumonia" or very mild infections. If your clinical symptoms are severe but your X-ray is clear, your doctor may suggest further tests, such as a CT scan, blood work, or a pulse oximetry test to measure oxygen levels.

Furthermore, an X-ray can confirm the presence of pneumonia but does not always tell the doctor the specific cause—whether it is viral, bacterial, or fungal. This is why physicians often combine imaging results with physical examinations, listen to your lungs with a stethoscope, and consider your medical history before prescribing antibiotics or other treatments.

Final Thoughts

The role of a Pneumonia X-ray in modern medicine cannot be overstated. It provides a clear, objective look at the lungs, allowing doctors to make informed decisions about your health. By identifying the location and density of the infection, this diagnostic tool enables medical professionals to tailor a treatment plan that addresses your specific needs, whether that involves antibiotics, rest, or closer monitoring for complications. Should you experience persistent cough, chest pain, or difficulty breathing, seeking prompt medical attention is vital. An X-ray is often the fastest way to get the answers you need to start your recovery process effectively and safely.

Related Terms:

  • pneumonia x ray image
  • pneumonia x ray findings
  • bronchopneumonia x ray
  • bronchitis vs pneumonia x ray
  • bronchitis x ray
  • aspiration pneumonia x ray