Pneumonia On X Ray

Pneumonia On X Ray

When you or a loved one experience persistent coughing, high fever, and difficulty breathing, a healthcare provider will often order diagnostic imaging to get a clearer picture of what is happening inside the lungs. Among the most common diagnostic tools utilized is the chest radiograph. Understanding what a pneumonia on X-ray looks like, and why this imaging is so critical for diagnosis, can help demystify the medical process and prepare you for your clinical visit.

What Exactly is Pneumonia?

Pneumonia is an infection that inflames the air sacs (alveoli) in one or both lungs. When these tiny sacs fill with fluid or pus, it leads to symptoms like a productive cough, fever, chills, and difficulty breathing. Because pneumonia can be caused by various pathogens—including bacteria, viruses, or fungi—it is vital for doctors to confirm the diagnosis quickly to determine the appropriate treatment plan.

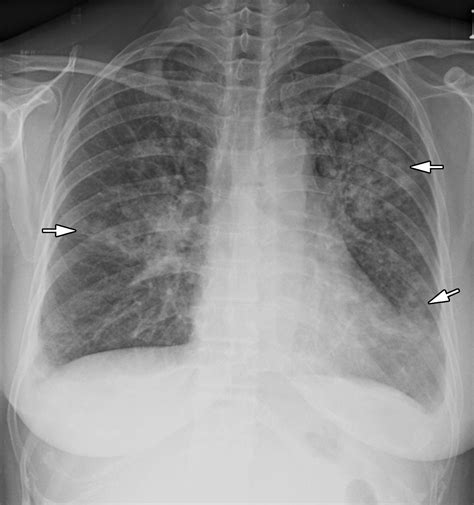
How Does Pneumonia Appear on an X-Ray?

To a radiologist, a healthy lung appears mostly black on an X-ray because it is filled with air, which does not block X-ray beams. However, when pneumonia is present, the affected area of the lung becomes filled with inflammatory fluid and cells. This change in density causes the area to appear as white or grey patches, technically known as “opacities” or “infiltrates.”

Key Radiographic Features

  • Consolidation: This refers to a solid white area where the air sacs are completely filled with fluid.
  • Air Bronchograms: Sometimes, the larger airways remain filled with air, appearing as dark branching lines amidst the white consolidation.
  • Patchy Infiltrates: Rather than one solid mass, the pneumonia may appear as scattered, cloudy spots throughout the lung tissue.

⚠️ Note: An X-ray is not always able to pinpoint the specific pathogen causing the pneumonia; it primarily confirms the presence of an infection and its location within the lung.

Factors Affecting the Clarity of an X-Ray

It is important to understand that not all cases of pneumonia are instantly visible. Several factors can influence how clearly pneumonia is depicted on an X-ray image:

Factor Impact on Image Quality
Stage of Infection In the very early stages, the inflammatory fluid might not be dense enough to show clearly.
Patient Hydration Dehydration can potentially make infiltrates appear less dense than they truly are.
Location Pneumonia located behind the heart or beneath the diaphragm can be difficult to detect.
Underlying Lung Disease Existing conditions like COPD or fibrosis can mask the appearance of new pneumonia.

Why Doctors Rely on Imaging for Diagnosis

While a physical examination—including listening to the lungs with a stethoscope for crackles or wheezing—is standard, a chest X-ray is considered the “gold standard” for confirming the diagnosis. Aside from identifying the presence of pneumonia, imaging serves several other vital functions:

  • Determining Severity: It helps doctors see how much of the lung is involved, which dictates whether a patient can be treated at home or needs hospital admission.
  • Identifying Complications: Imaging can reveal if the pneumonia has led to a pleural effusion (fluid around the lung) or an abscess.
  • Rule Out Other Conditions: Many respiratory issues, such as heart failure or lung tumors, can mimic the symptoms of pneumonia. An X-ray helps rule these out.
  • Monitoring Recovery: In some cases, follow-up X-rays are used to ensure the lungs have cleared after treatment, especially in older patients or smokers.

The Limitations of X-Ray Imaging

While highly useful, pneumonia on X-ray is not infallible. In some instances, a chest X-ray might appear normal even when the patient has clinical symptoms. This is often called a “false negative.” If your symptoms are severe or persistent, but the X-ray is clear, your physician may order a computed tomography (CT) scan. A CT scan provides much higher resolution, cross-sectional images of the lungs, making it much easier to detect subtle infections that a standard X-ray might miss.

💡 Note: Always inform your healthcare provider if there is any possibility of pregnancy, as radiation exposure must be minimized.

When Should You Seek Immediate Medical Attention?

Diagnostic imaging is a tool, but it should not be the only reason you seek care. If you are experiencing symptoms, do not wait for an X-ray to seek professional help. You should seek emergency medical care immediately if you experience:

  • Severe shortness of breath or inability to catch your breath.
  • Chest pain that worsens when you breathe or cough.
  • Bluish color in your lips or fingertips, indicating a lack of oxygen.
  • Confusion, disorientation, or extreme lethargy.
  • A persistent high fever that does not respond to medication.

Diagnosing pneumonia is a collaborative process that relies on a combination of your clinical symptoms, your physical exam, and diagnostic imaging like a chest X-ray. While seeing “white patches” on your scan might seem alarming, it is simply a map that allows your healthcare team to understand the extent of the infection and develop the most effective treatment plan for your recovery. By understanding what the imaging reveals and recognizing when symptoms require urgent intervention, you can take a proactive role in managing your respiratory health. Always follow the guidance of your physician, as they will synthesize the imaging results with your overall health profile to ensure you receive the appropriate care to heal fully.

Related Terms:

  • typical pneumonia x ray
  • viral pneumonia on x ray
  • resolving pneumonia on x ray
  • x ray pneumonia vs normal
  • pneumonia chest x ray interpretation
  • Bilateral Pneumonia X-ray