When you visit your dentist for a comprehensive oral health assessment, they may recommend a specialized imaging procedure to get a complete picture of your dental structures. This is where a dental panoramic X-ray, often referred to as an orthopantomogram (OPG), becomes an invaluable tool. Unlike traditional bitewing X-rays that focus on a few teeth at a time, this diagnostic technique captures a wide, sweeping view of your entire mouth, including the teeth, upper and lower jaws, jaw joints (TMJ), and surrounding structures, all on a single film or digital image.
Understanding What a Dental Panoramic X-Ray Is

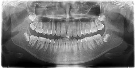
A dental panoramic X-ray is a two-dimensional imaging technique that rotates around the patient’s head to produce a comprehensive image of the oral cavity. Because it captures so much information in one scan, it provides dentists with a broader diagnostic perspective than localized images. It is commonly used in various areas of dentistry, ranging from general checkups to specialized treatments like orthodontics and oral surgery.
The technology behind this scan is fascinating. The X-ray source and the digital sensor move in a synchronized manner around the patient, who remains stationary during the process. This creates a panoramic projection that flattens the curved structure of the dental arches onto a single flat plane, allowing the dentist to examine the complex anatomical landscape of the mouth with ease.
Key Advantages of Panoramic Imaging
The popularity of this diagnostic tool stems from the significant benefits it offers to both the clinician and the patient. Its ability to capture a complete view in a relatively short time makes it highly efficient.
- Comprehensive View: It captures the entire jaw, allowing the dentist to spot issues that might not be visible in standard, focused X-rays.
- Low Radiation Exposure: Modern digital panoramic equipment uses minimal radiation, making it a safe diagnostic procedure for most patients.
- Patient Comfort: Because the imaging happens outside the mouth, it is ideal for patients who have a strong gag reflex or difficulty holding small sensor plates inside their oral cavity.
- Time Efficiency: The entire process takes only a few seconds, speeding up the diagnostic phase of the appointment.
Common Clinical Applications
Dentists rely on dental panoramic X-ray imaging for a wide array of clinical evaluations. It serves as a foundational piece of data for treatment planning, especially for procedures that require a comprehensive understanding of the jaw anatomy.
| Clinical Purpose | What the Dentist Looks For |
|---|---|
| Orthodontic Assessment | Root positions, spacing issues, and unerupted teeth. |
| Wisdom Teeth Removal | Proximity of third molars to nerves and sinus cavities. |
| Periodontal Disease | Extent of bone loss around the teeth. |
| TMJ Evaluation | Joint structure and signs of jaw dysfunction. |
What to Expect During the Procedure
Preparing for this type of X-ray is straightforward and requires minimal effort from the patient. However, knowing what to expect can help ease any potential anxiety.
- Preparation: You will be asked to remove all metallic items from your head and neck area, including jewelry, glasses, hairpins, and removable dental appliances, as these can create artifacts on the image.
- Positioning: A technician will position your head carefully inside the machine. You will usually be asked to bite down gently on a small, sterile plastic mouthpiece to ensure your teeth are correctly aligned.
- The Scan: Once in position, the machine will slowly rotate around your head for about 10 to 20 seconds. It is crucial to remain completely still during this time to avoid motion blur.
- Review: The digital image is produced almost instantly and is ready for your dentist to review on their computer monitor.
⚠️ Note: If there is any possibility that you are pregnant, please inform your dentist or the dental assistant before the procedure, as extra precautions may need to be taken regarding X-ray exposure.
Limitations of Panoramic X-Rays
While a dental panoramic X-ray is an excellent diagnostic tool, it is not always a substitute for more detailed imaging techniques. Because it is a two-dimensional image of a three-dimensional structure, there can be some distortion or magnification issues.
For high-precision tasks, such as planning for complex dental implants or detecting very fine cracks in teeth, dentists may recommend a Cone Beam Computed Tomography (CBCT) scan instead. A CBCT scan provides a high-resolution, three-dimensional view, which offers much greater detail than what can be captured by a traditional panoramic image. Your dentist will determine the best type of imaging based on your specific clinical needs.
Safety and Digital Technology
With the transition to digital radiography, the safety profile of dental imaging has improved significantly. Digital sensors are far more sensitive than traditional dental film, meaning that the machine requires far less radiation exposure to produce a high-quality image. Furthermore, digital images can be enhanced, zoomed, and color-adjusted, allowing for a much more accurate diagnosis than older, analog methods.
Maintaining Oral Health Through Imaging
Regular diagnostic imaging is a proactive measure in maintaining long-term oral health. By identifying potential problems—such as impacted wisdom teeth, bone cysts, or early signs of periodontal disease—before they become symptomatic, you and your dentist can address issues while they are still manageable. This approach not only saves you from potential discomfort but can also be more cost-effective in the long run, preventing the need for complex, emergency procedures.
The dental panoramic X-ray stands as a cornerstone of modern dentistry, bridging the gap between basic checkups and advanced surgical treatment. By understanding the purpose and process of this diagnostic tool, patients can feel more confident and informed during their dental appointments. Whether you are prepping for braces or simply undergoing a routine examination, this type of X-ray provides the essential data needed to ensure your smile remains healthy, functional, and beautiful for years to come.
Related Terms:
- dental panoramic x ray dataset
- dental panoramic x ray landmarks
- dental panoramic x ray cpt
- dental panoramic x ray code
- panoramic dental x ray procedure
- dental panoramic x ray cost